搜索
学习中心
登录
#
肘关节骨折
资讯
3
课程
13
套餐
2
直播
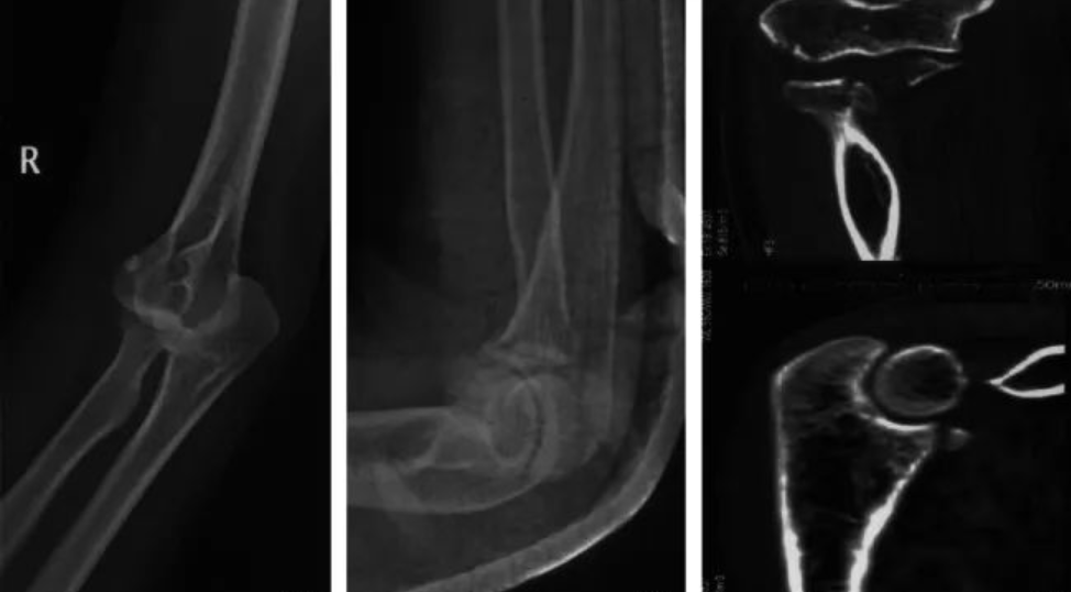
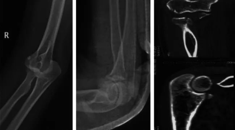
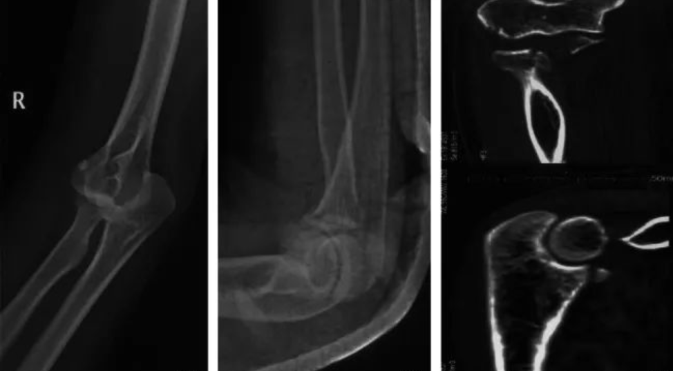
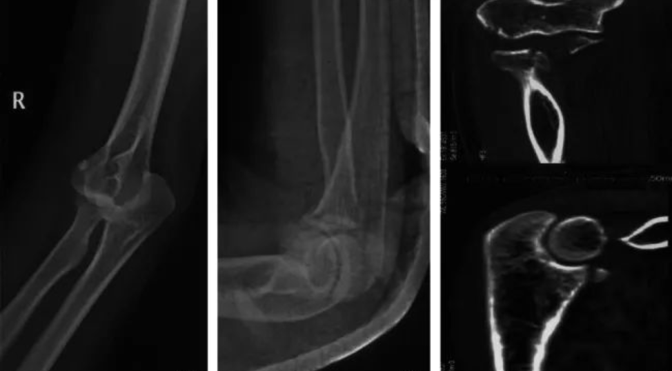
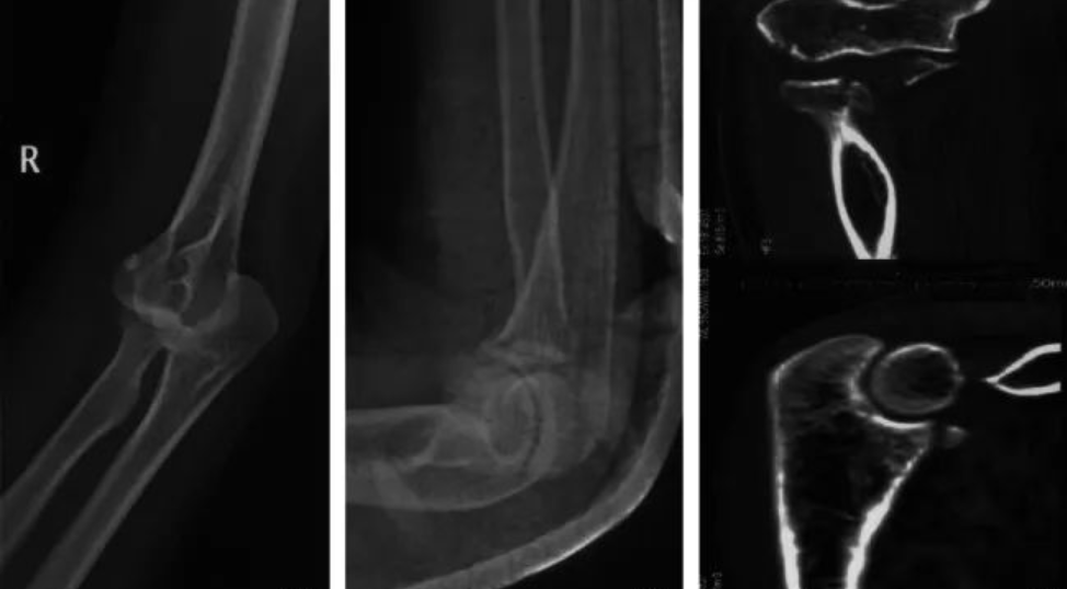
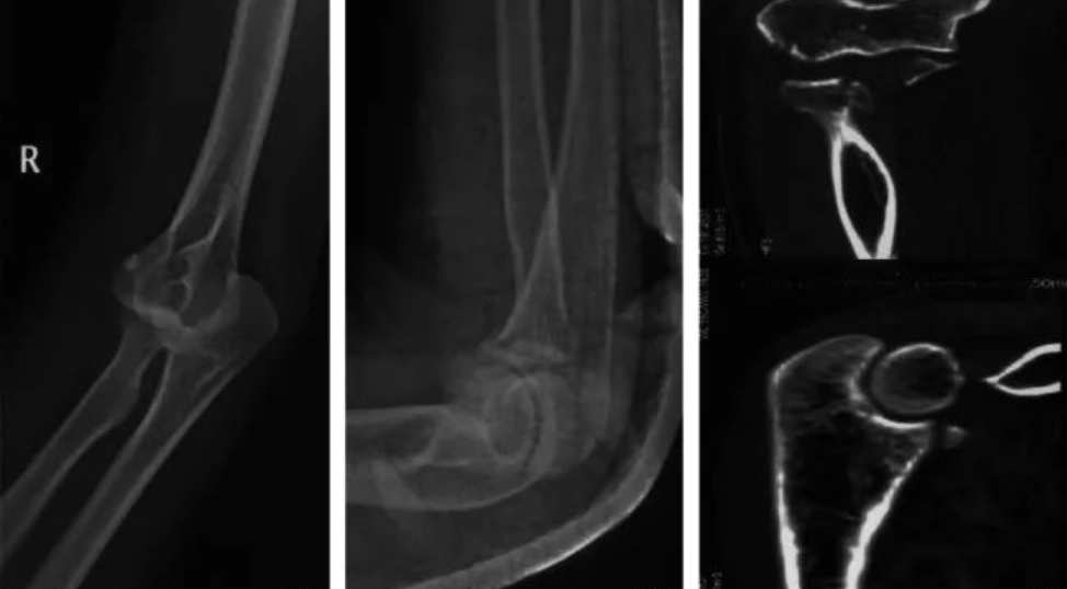
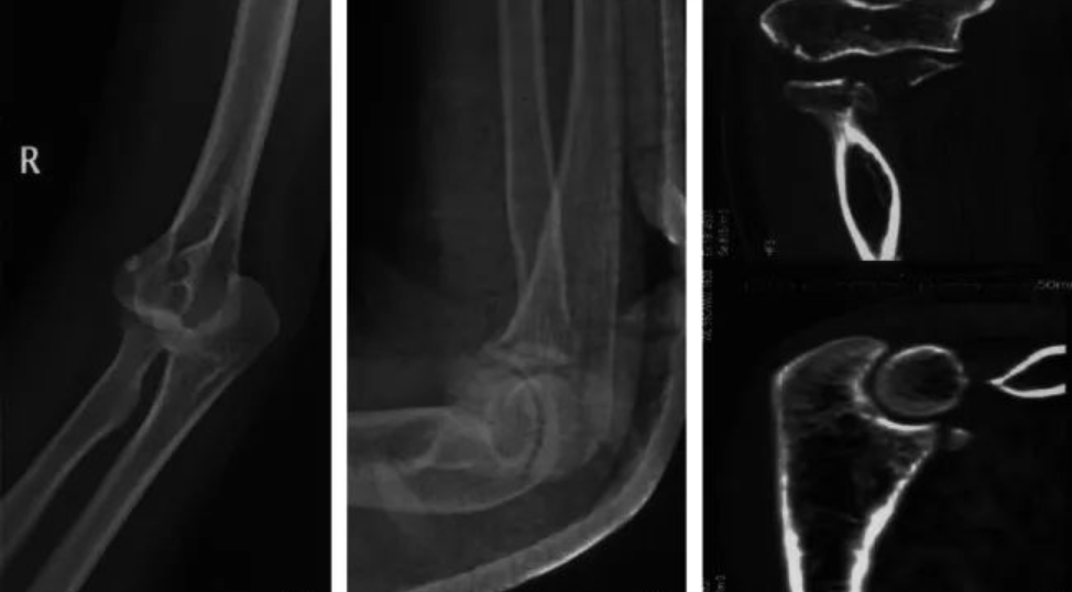
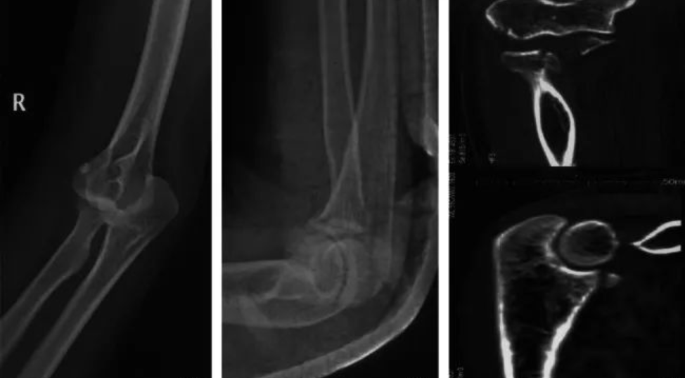
“肘关节恐怖三联征”——诊疗思路更清晰的秘籍!
“肘关节恐怖三联征”——诊疗思路更清晰的秘籍!
『网球肘』七大诊疗要点,一篇说尽!
『网球肘』七大诊疗要点,一篇说尽!
急性肘关节脱位的6种手法复位方法!
急性肘关节脱位的6种手法复位方法!
友情链接: