首页/骨科精读/“肘关节恐怖三联征”——诊疗思路更清晰的秘籍!/
“肘关节恐怖三联征”——诊疗思路更清晰的秘籍!
2023-08-18 10:27:282149浏览
“肘关节恐怖三联征”——诊疗思路更清晰的秘籍!

1.肘关节有哪些稳定结构?

骨和软组织结构都提供肘部稳定性。韧带和骨骼提供静态稳定性,跨肘关节的肌肉提供动态稳定性。肘关节稳装置分为主要稳定装置和辅助稳定装置。

肘关节主要稳定装置是肱尺关节、内侧副韧带(MCL)和外侧副韧带(LCL)。次要稳定装置包括桡骨头、关节囊、屈肌总腱和伸肌总腱

图1 正常肘关节解剖。

1、A - C示肘关节和相关肌肉韧带结构的解剖结构,正面观。桡骨小头关节由桡骨头和小头之间的关节形成,而尺肱关节由滑车和尺骨之间的关节形成。冠突由前内侧小面(AMF)、前外侧小面(ALF)和高耸结节(ST)组成。尺侧副韧带 (UCL) 和总屈肌腱起源于内上髁,而外侧副韧带 (LCL) 和总伸肌腱起源于外上髁。2、B内侧观。内侧/尺侧副韧带复合体由前束(aUCL)、后束(pUCL)和横束(TB)组成。3、C外侧观。外侧副韧带由前部的桡侧副韧带(RCL)、后部的尺侧外侧副韧带(LUCL)和环状韧带(AL)组成。副侧尺侧副韧带 (Acc LUCL) 在 AL 和 LUCL 之间延伸。4、D – F MR 图像显示肘关节和相关稳定结构的正常解剖结构。5、D冠状 T1 加权 MR 关节造影图像。AMF 冠状突前内侧小平面,ALF 冠状突前外侧小平面,冠状突 ST 高耸结节,实箭头尺侧副韧带前束,轮廓箭头桡侧副韧带,*共同屈伸肌起点。6、E冠状 T1 加权 MR 关节造影图像在D中的位置后面。可以看到外侧尺侧副韧带(轮廓箭头)在桡骨颈后弯曲。实线箭头尺侧副韧带后束。7、F轴向 T1 加权图像显示尺侧副韧带的前束(轮廓箭头)和后束(实线箭头)。后束形成包含尺神经的肘管底。

肱尺关节是屈伸平面主要的骨性稳定结构。特别是屈曲超过30°时,冠状突可对抗后方半脱位或完全脱位

内侧副韧带前束对抗肘关节外翻应力最重要的稳定装置,而桡骨头是次要的稳定装置。

切断内侧副韧带可以导致肘关节完全的外翻和内旋不稳定。经骨孔修复内侧副韧带可以重建肘关节稳定性,以允许早期的主动和被动活动。在内侧副韧带愈合前要避免外翻应力。

外侧副韧带(LCL)可以提供肘关节内翻和后外侧旋转的稳定性,可以通过经骨孔缝合或缝合锚进行有效修复。外侧副韧带愈合前要避免内翻应力,如肩外展时的应力。

2.恐怖三联征损伤是如何发生的?

肘关节三联征在临床上常见于车祸和坠落伤,通常为伸直的肘关节受到轴向的高能量压缩剪切暴力造成的。暴力作用于伸直的肘部,通过杠杆作用使尺骨与滑车相分离(图2)。

图2 恐怖三联征伤害通常是由伸直的手摔倒造成的。当轴向载荷施加到上肢时,肘部承受外翻载荷,肱骨远端相对于固定的前臂向内旋转,导致前臂相对于肱骨旋后。

在桡骨头、冠状突发生骨折(图3)的同时常伴有自外侧尺骨副韧带(LUCL)至前后关节囊,甚至内侧副韧带前束的撕裂,有时还伴有鹰嘴骨折或尺骨近段骨折、前臂骨间膜撕裂、桡骨远端骨折和下尺桡关节分离等。

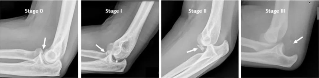
图3 多个肘侧位 X 光片显示肘关节脱位中描述的不同阶段。0期:正常对齐。注意冠状突骨折(箭头)。I 期:后外侧旋转不稳 (PLRI),伴有轻度不协调和尺侧滑车关节间隙扩大 > 4 mm(下降征)。另外,注意桡骨头相对于小头的后移。箭头:冠状突骨折。II 期:尺肱关节脱位伴冠状突骨折(箭头)。III 期:尺肱关节完全脱位伴小骨折块(箭头)

3.肘关节恐怖三联征有哪些分类?

根据冠突和桡骨头骨折分类:

冠突骨折

Regan-Morrey 分类(图4)对冠状突骨折进行经典分类,该分类基于肘关节侧位 X 光片上与骨折相关的冠状突的高度。I 型骨折累及冠突尖端,II 型骨折累及 < 50% 的冠突高度,III 型骨折累及 > 50% 的冠突高度。

图4 Regan-Morrey 分类

冠突骨折最常使用O'Driscoll 分类系统进行分层。该系统根据解剖位置(图5)、骨折大小和损伤机制将冠状突骨折分为三种类型 (图6)。根据骨折碎片大小分为两种亚型:I亚型骨折≤2mm和II亚型骨折(图7a )>2mm,很少涉及>30%的冠突高度(冠突高度可以在侧位X片或2D或3D重建CT图像上测量,从滑车切迹的槽到冠突尖端)。

图5 使用 O'Driscoll 分类系统对冠状突骨折进行分类的相关解剖结构。橙色部分代表前内侧小平面。

图6 冠突骨折O'D riscoll分类:Ⅰ型,冠突尖端横向骨折,骨折线局限于冠突尖端;II型,前内侧小关节骨折,其中骨折线穿过冠状突尖端和前内侧小关节;III型,大骨折,骨折线延伸到冠状突的主体和基底部分的 ≥ 50% 的冠突高度。

图7 O'Driscoll 冠状突骨折分类(不同患者)。

a 28 岁男性肘关节侧位 X 光片显示肘关节后脱位,冠状突尖前移(II 型)剪切性骨折碎片(白色箭头)和继发于撞击后的桡骨头(黑色箭头)骨折小头。b、c 33 岁男性肘部的前后位 X 光片和轴向 CT 图像显示粉碎性前内侧 III 型冠状突骨折,涉及前内侧小关节(黑色短箭头)和高结节(黑色长箭头)。冠突尖端(白色箭头)。d 38 岁男性的矢状面重建 CT 图像显示粉碎性基底 II 型冠突骨折伴鹰嘴突受累(箭头)

前内侧骨折(图7b、c)为斜向骨折,累及冠突前内侧小关节,分为 3 种亚型:亚型 I 不累及冠状突尖部,从尖部的内侧延伸至高耸结节的前方。亚型 II 为第一种亚型并累及冠状突尖部。亚型 III 包括冠状突的前内侧缘和高耸结节,有或没有冠状突尖端受累。前内侧小关节骨折通常是内翻后内侧旋转骨折半脱位。

基底冠突骨折有更直接的后部损伤机制,涉及冠突,至少有 50% 的冠突高度骨折。这些骨折分为两种亚型:亚型 I 涉及冠突基部,而亚型 II 延伸至鹰嘴突(图7d)。O'Driscoll 分类可用于预测相关损伤和肘部不稳定,以及规划手术方法和治疗

在恐怖三联征损伤中最常见的冠状突骨折类型冠状突尖端不太常见前内侧骨折。尽管小的(≤ 2 mm)冠突尖端骨折可能单独发生,但> 2 mm 的尖端骨折经常是恐怖三联征的一部分(图7a)。冠突尖端骨折是由剪切应力引起的,而不是由于撕脱伤(肘关节前部关节囊在冠突尖端远端平均插入 6.4 mm)。

桡骨头骨折

在成人中,桡骨头骨折是最常见的肘部损伤类型,约占肘部骨折的 30% 。桡骨头骨折通常使用 Mason-Johnston 分类进行分类。

I 型骨折(图8)是无移位或轻微移位(<2 mm)骨折。

II型骨折是移位(> 2 mm)骨折。III型骨折粉碎和移位。IV型骨折(图7a )是桡骨头骨折脱位(所有恐怖三联征中的桡骨头骨折都被认为是IV型骨折)。虽然这是用于桡骨头骨折最常见的分类系统,但 Mason-Johnston 分类的观察者间和观察者内可靠性较低。

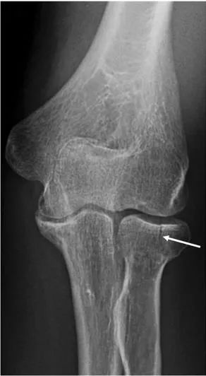
图8 桡骨头骨折。41岁女性肘关节正位片显示轻度移位桡骨头骨折(Mason-Johnston分类中的I型骨折)

4.恐怖三联征读片有哪些值得关注的要点?

  • 复位前X片骨折移位方向
    应特别注意肱桡线:在任何x线片上,沿桡骨骨干长轴画的线应与小头相交。任何偏差都暗示着桡骨头半脱位或脱位

  • 复位后X片上的关节连贯性
    常规非应力复位后肘关节侧位片上出现下降征(尺肱骨距离≥4 mm):复位后立即的x线片上可能出现下降征,在随访x线片上通常消失。随访x线片上持续下降的迹象可能是肘关节不稳的迹象

  • 关节渗出物
    可见前脂肪垫升高和/或可见后脂肪垫:在创伤后,隐匿性骨折很可能伴有肘关节积液和影像学上无法检测到的骨折。

    当肘关节骨折或脱位合并关节囊破裂时,可能不存在关节积液

  • 骨折的特征和分类
    桡骨头骨折可能不明显,仅在侧斜位或桡骨头视图上可见

  • 关节内骨碎片的数量和位置

5.恐怖三联征如何选择治疗方式?

该疾病的保守治疗条件是:①肱尺、肱桡关节获得了同心圆性中心复位;②桡骨头骨折块较小(<25%),或骨折无移位不影响前臂旋转;③肘关节获得了充分的稳定性,能够在伤后2~3周内开始活动

大多数恐怖三联征损伤需要手术治疗,包括固定或更换桡骨头、冠状突骨折固定、外侧副韧带修复,必要时修复内侧副韧带(图 9)。已证明1周内的治疗优于延迟或亚急性手术(平均延迟 7 周),因为术后可实现更好的活动范围。

图9 恐怖三联征损伤的术后影像分析。16岁男性肘关节正位片显示桡骨头关节成形术(患者桡骨头粉碎骨折伴明显软骨下骨丢失,无法修复)、冠状突螺钉和肱骨外侧缝合锚钉在外侧副韧带复合修复部位。术后发现软组织气肿。

治疗目标①重建肘关节同心圆性中心复位及可靠的稳定性;②允许早期进行功能活动;③争取获得良好的功能疗效;④减少并发症的发生。目前的手术模式在大多数情况下都能产生令人满意的临床结果 。

6.恐怖三联征如何手术治疗?

肘关节恐怖三联征的手术原则如下(图10):①对冠状突骨折碎片进行固定;②对桡骨头骨折进行复位固定或采取人工桡骨头置换;③修复外侧副韧带复合体;④采取上述措施后,若肘关节仍存在不稳定者则需要对内侧副韧带(MCL)进行修复和(或)使用铰链式外固定架

图10 肘关节恐怖三联征治疗算法。

如果要更换桡骨头,可以通过单个侧向切口进行修复,因为可以通过切除的桡骨头留下的缺损进入冠状突。如果要固定桡骨头或外科医生在决定是否进行内侧和冠状突修复时测试外侧重建后的稳定性,则使用双切口技术。常用技术如图所示。根据碎片的大小和暴露情况,可以使用缝合线、锚钉或螺钉修复冠状突(图11)。

图11 右肘恐怖三联征,尺骨冠状突用环形钢板固定,桡骨头用埋头带槽钉固定,外侧韧带复合体用螺纹铆钉修复。肘关节术前X线检查(A、B)CT检查(C)。术后第二天肘关节X线检查(D,E)。

桡骨头置换或 ORIF 后,应使用缝合锚钉或经骨缝合线将 LCL 修复至外侧髁。如果冠状突、桡肱关节和LCL修复后肘部不稳定,则可以修复MCL。一些外科医生主张在此阶段预防性减压尺神经。在持续不稳定患者中使用铰链式外固定器可以改善预后,通常保持4周,肘部伸展限制为30度。如果使用静态外固定器,则应将其限制在3周以内,避免关节变得更加僵硬。

图12 肘关节功能和术后 X 线检查。(A,B) 铰链式外固定器患者术后 X 光片。(C-F) 2 个月后患者的活动范围。

7.恐怖三联征的预后如何?

恐怖三联征损伤的手术治疗具有很高的并发症发生率,平均再手术率为22%。并发症包括再脱位或由于外侧副韧带再破裂引起的不稳定、关节病、桡骨头ORIF 不愈合、尺神经病变 、桡神经失用和异位骨化。恐怖三联征损伤手术后关节病的发生率为11.2%,而在一项单独的非手术治疗研究中为36%。

参考文献

[1]Kani, K.K., Chew, F.S. Terrible triad injuries of the elbow. Emerg Radiol 26, 341–347 (2019).

[2]Xiao K, Zhang J, Li T, Dong YL, Weng XS. Anatomy, definition, and treatment of the "terrible triad of the elbow" and contemplation of the rationality of this designation. Orthop Surg. 2015 Feb;7(1):13-8. 

[3]Al-Ani, Z., Tham, JL., Ooi, M.W.X. et al. The radiological findings in complex elbow fracture-dislocation injuries. Skeletal Radiol (2021). 

[4]关节周围骨折/姜保国等主编.—北京:人民卫生出版社,2012

[5]Rhyou IH, Lee JH, Cho CH, Park SG, Lee JH, Kim KC. Patterns of injury mechanism observed in terrible triad. J Shoulder Elbow Surg. 2021;30(9):e583-e593.

[6]Pizzoli A, Bondi M, Schirru L, Bortolazzi R. The use of articulated external fixation for complex elbow trauma treatment. Musculoskelet Surg. 2021 Apr;105(1):75-87. 

[7]Zha YJ, Xiao D, Hua KH, Sun WT, Gong MQ, Li T, Chen C, Jiang XY. Lateral minimal approach to the terrible triad of the elbow: a treatment protocol in Beijing Jishuitan Hospital. Ann Transl Med. 2021 Aug;9(15):1232. 

[8]He X, Fen Q, Yang J, Lei Y, Heng L, Zhang K. Risk Factors of Elbow Stiffness After Open Reduction and Internal Fixation of the Terrible Triad of the Elbow Joint. Orthop Surg. 2021 Apr;13(2):530-536. 

[9]书名:骨科疾病的分类与分型标准(第2版)作者:胡永成,马信龙,马英出版社:人民卫生出版社出版时间:2014-02

友情链接: