#关节外科
资讯 205
课程 260
套餐 1
直播
详解:侧卧位DAA入路全髋关节置换术!
详解:侧卧位DAA入路全髋关节置换术!
术后康复:膝关节屈曲90°活动受限的原因?
术后康复:膝关节屈曲90°活动受限的原因?
髂胫束紧张程度评估:Noble 试验和Ober试验!
髂胫束紧张程度评估:Noble 试验和Ober试验!
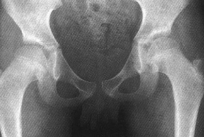
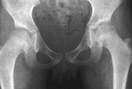
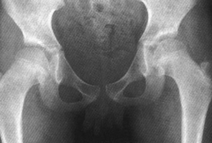
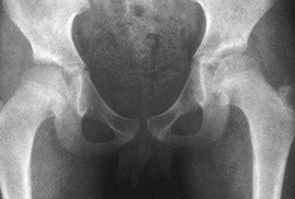
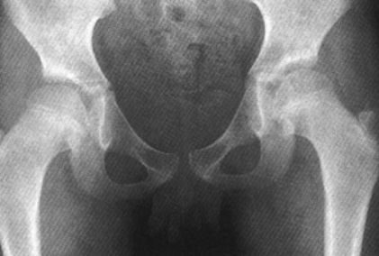
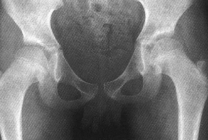
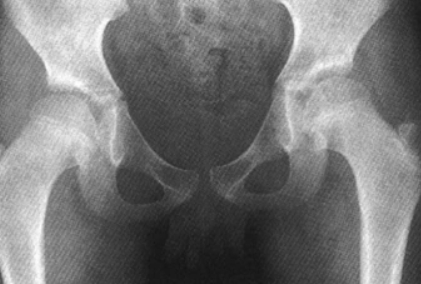
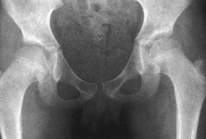
大腿与髋的影像鉴别!
大腿与髋的影像鉴别!
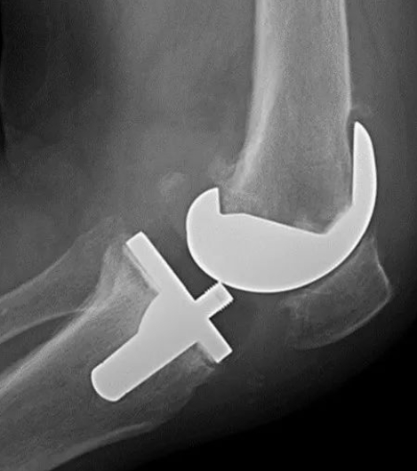
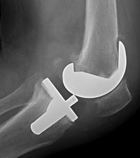
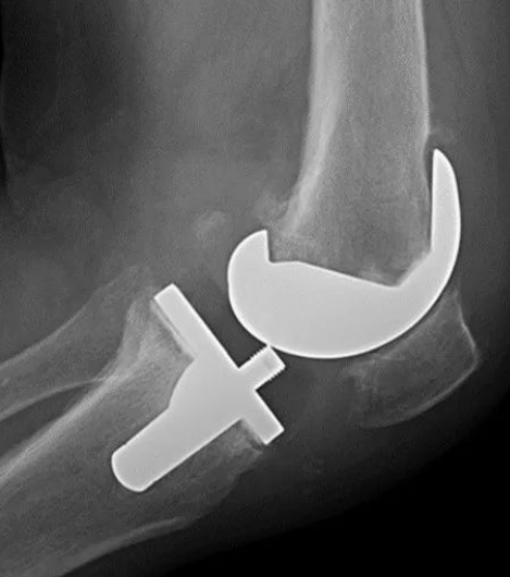
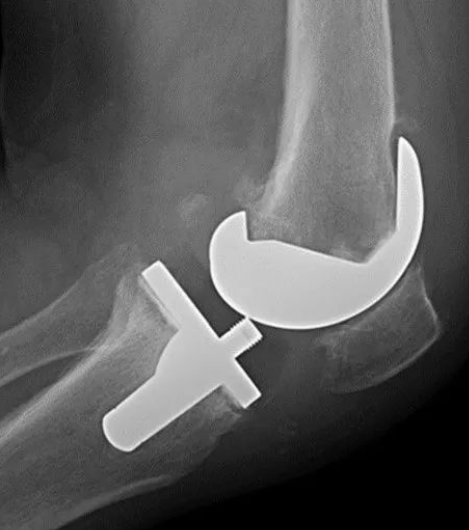
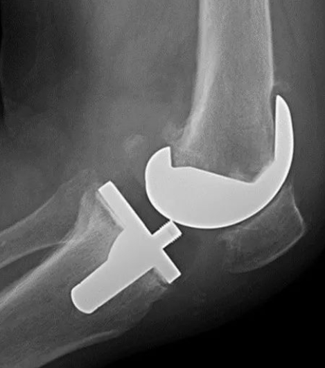
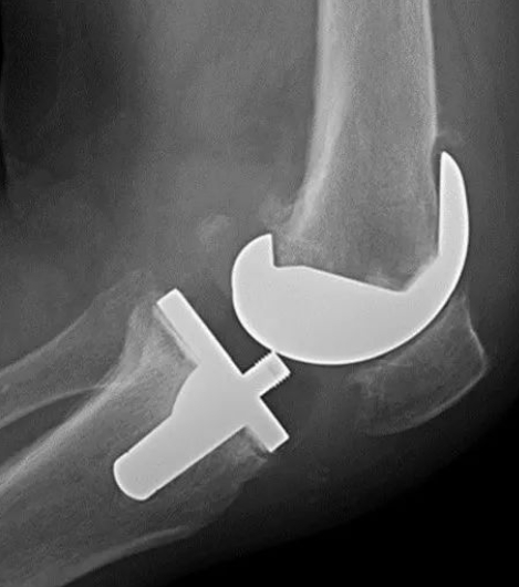
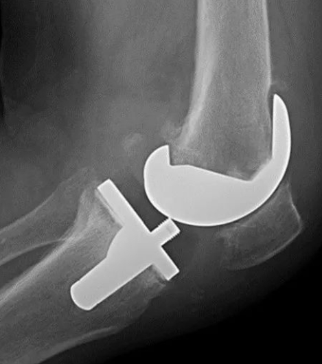
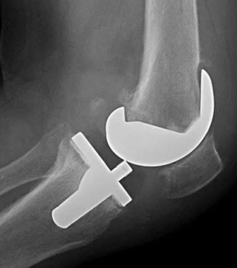
膝关节置换术后早期与晚期失败案例!
膝关节置换术后早期与晚期失败案例!
你见过“双层”的髌骨吗?
你见过“双层”的髌骨吗?
米琨:如何规范进行Oxford牛津单髁置换手术!
米琨:如何规范进行Oxford牛津单髁置换手术!
老年骨关节炎慢病管理指南,18条推荐意见!
老年骨关节炎慢病管理指南,18条推荐意见!
影响关节活动度的元凶之一
影响关节活动度的元凶之一
1招叫你鉴别全髋与半髋,如此简单!
1招叫你鉴别全髋与半髋,如此简单!



