首页/骨科小技巧/大腿与髋的影像鉴别!/
大腿与髋的影像鉴别!
2024-01-31 10:40:25878浏览
大腿与髋的影像鉴别!

股骨是人体骨骼中最大、最长的骨。常规投照为前后位及侧位。侧位一般观察股骨中下段和膝关节,如欲观察股骨颈侧位则与髋关节侧位投照方法相同。髋关节包括髋臼、股骨上端和关节囊。

【影像学表现】

1.股骨头圆韧带窝在髋关节正位片上表现为股骨顶部小半圆形骨质缺损,在旋转屈曲位时表现为股骨头中心部有小空洞(图1)。

图1 正常股骨头圆韧带窝A.韧带窝明显,极似骨缺损;B.转动体位后骨质正常

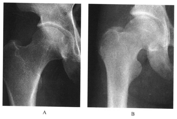
2.股骨大小粗隆的骨化核可为多个,形态可不规则(图2)。

图2 股骨大粗隆骨化核边缘不规则

3.股骨颈环状透亮区,周边可见极薄硬化缘,为一常见现象,一般认为滑膜疝入皮质形成的皮质小坑,无临床意义(图3)。

图3 股骨颈环状透亮区,为滑膜疝入皮质形成的皮质下小坑,无临床意义

4.在股骨粗隆间可见条状及斑点状骨小梁,不要误认为骨梗死(图4)。

图4 股骨粗隆间斑点状骨小梁,不要误认为骨梗死

5.小儿的髋关节诸骨,因软骨较厚,关节腔显得较宽,各骨间距离亦较远,所以有时很难肯定是否为髋关节脱臼,尤其在投照时,若两下肢的位置不对称,一侧稍外旋,股骨显得较短,可能误认为脱臼,申通线可不规整(图5)。

图5 小儿右髋关节,略外旋位,申通线可不规整,不要误认为半脱位

6.2~4岁小儿的髋臼边缘高低不平,欠规则,10岁以后逐渐趋向整齐(图6)。

图6 小儿髋臼上缘及边缘骨骺不规则,不要误认为髋臼缺血坏死

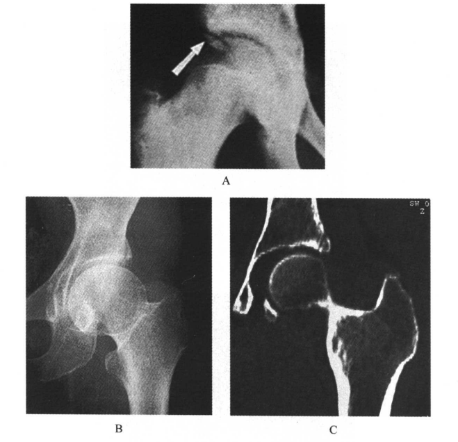
7.在正位片上,14~18岁时髋臼外上缘可能出现多余的化骨核,呈三角形或卵圆形,有时可分裂成3~4个小块,称髋臼缘骨(图7)。

图7 髋臼缘骨A.X线平片,右上髋臼缘骨;B.X线平片,左上髋臼缘不规整,有一裂隙,疑为骨折;C.与B同一病例的CT-MPR,左上髋臼缘骨(注意游离骨块周边有皮质骨白线围绕)

8.成人期髂翼亦可出现对称性未愈合骨骺(图8)。

图8 成人髂骨翼未愈合骨骺

9.双骼骨的骼前下棘可肥大增生,向外下突起,不要误认为骼骨角(图9)。

图9 双侧髂前下棘肥大

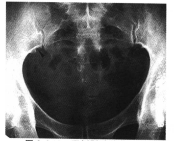
10.骶髂关节旁沟即解剖学上的耳前沟,位于小骨盆腔后缘,骶髂关节下方髂骨侧,表现为半圆或浅弧形切迹,为骶髂韧带附着处,也是女性骨盆特征之一,此切迹有时也可出现于骶髂关节的骶骨侧(图10)。

图10 双侧骶髂关节旁沟

11.坐骨、耻骨软骨联合处不规则愈合,为正常变异,一般为双侧对称,有时仅为一侧,不要误认为骨缺血坏死(图11)。

图11 坐、耻骨联合处不规则愈合,不要误认为坐、耻骨联合处缺血坏死

友情链接: