首页/口腔种植/高清图解:无牙颌解剖标志,一篇理顺!/
高清图解:无牙颌解剖标志,一篇理顺!
2022-08-05 10:19:382.2万浏览
临床上,根据无牙颌每个解剖部位的不同特点,全口义齿制作时都要做相应的特殊处理,这与全口义齿的固位、稳定、美观、功能等都息息相关。

上颌

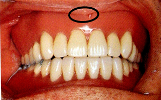
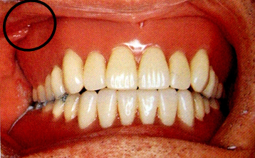
1.上唇系带(maxillary labial frenum)

上颌正中唇侧粘膜从牙龈交界处到上唇粘膜之间的粘膜皱襞,是口轮匝肌在上颌骨的附着处。

取印模时患者作唇的自主运动,并做肌功能修整,基托在此区应形成相应的切迹。

2.上颊系带(maxillary buccal frenum)

位于上颌第一前磨牙附近,呈扇形,能固定口角,协助颊肌将食物移向后方。

基托在此区应形成相应的切迹。

3.颧突(zygomatic process)

是颧骨下缘的延长,行向上颌第一磨牙的骨性隆起。

它把加在磨牙上的咀嚼压力分散到眶外侧缘和颧弓。

应在此处延长基托来分担咬合压力,扩大义齿的支持范围。排列人工牙时,应把第一磨牙排列在该处。

4.上颌结节(maxillary tuberosity )

上颌结节是上颌牙槽嵴两侧远端的圆形骨突。在上颌结节外侧、颊肌上颌起始后缘的后方没有肌附着,基托边缘能够向上方延长,发挥封闭作用产生固位力。

制作义齿时,基托必须完全覆盖此区。

5.翼上颌切迹(pterygomaxillary notch)

上颌结节和蝶骨翼突愈合而成,表面有粘膜覆盖,形成软组织凹陷,是上颌全口义齿两侧后缘的界限。

基托边缘应向上延长,发挥封闭作用产生固位力。

6.切牙乳头(incisive papilla)

位于中切牙腭侧的正中线上的软组织突起,是上颌重要的、稳定的标志。

切牙乳突是上颌全口义齿排牙的重要标志。

下方为切牙孔,有鼻腭神经和血管通过,故基托组织面须适当缓冲。

7.腭皱(palatal rugae)

上颌正中线前端硬腭上,左右侧各有3~4条前后横行排列的波浪形凸起粘膜。有辅助发音的作用。 

制作义齿时在基托磨光面以蜡仿造腭皱形态

8.腭小凹(palatal fovea)

口内粘液腺导管的开口,位于上腭中缝后部的两侧。

上颌全口义齿的后缘应在腭小凹后2mm处 ,颤动线位于腭小凹的稍前部。

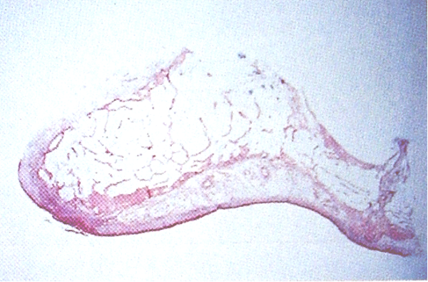
9.上颌腺体

上颌后方2/3的硬腭和软腭粘膜下一对三角形腺体。

该腺体没有移动性,具有弹性,所以取印膜时应充分加压;在正中缝和牙龈处,粘膜下缺少腺体组织,弹性小,基托在此处应缓冲。

矢状面组织切片图

10.颤动线(vibrating line)

位于软腭与硬腭的交界部位。发“啊”音时软腭升高,发音结束后又复归原位,故又称“啊”线。

堵住鼻孔用鼻子出气会使软腭向下降,能明确观察到颤动线。

该线通常作为决定义齿基托后缘的标志,分前、后颤动线,两者之间为后堤区,宽约2~12mm 。 

下颌


1.下唇系带(mandibular labial frenum)

下颌正中唇侧粘膜从牙龈交界处到下唇粘膜之间的粘膜皱襞,是口轮匝肌在下颌骨的附着处。

它随唇肌的运动而活动,活动度小于上颌,基托在此区应形成相应的切迹。

2.下颊系带(mandibular buccal frenum)

刃状结缔组织,起于下颌前磨牙牙龈交界线下,呈扇形,其活动度大,抗力强。

基托在此区应形成相应的切迹。

3.颊侧翼缘区(buccal flange area)

又称颊棚区,位于下颌后弓区,在下颌颊系带至咬肌下段前缘之间。

牙槽嵴吸收严重时,此区较为平坦,骨小梁排列与牙合力方向几乎呈直角。 

基托可较大范围伸展,稳定义齿

4.舌系带(lingual frenum)

连接口底与舌腹的粘膜皱襞,位于口底中线部,活动度较大。 

取印模时应嘱患者将舌向后上方,取功能状态印模。

基托此处作切迹利于固位。 

5.下颌隆突(torus mandibularis)

位于下颌两侧前磨牙根部的舌侧,向舌侧隆起,表面覆盖的粘膜较薄。

与之相应的组织面应适当缓冲,过分突出时,其下方形成显著的倒凹,需手术铲除。

下颌全口义齿后缘应盖过磨牙后垫1/2或全部起封闭作用。 

6.磨牙后垫(retromolar pad) 

位于下颌最后磨牙牙槽嵴远端的粘膜软垫,覆盖在磨牙后三角上,由疏松的结缔组织构成,含黏液腺。

磨牙后垫的形态和位置比较稳定,作为排人工牙时的解剖标志;垂直向:下颌第一磨牙的颌平面与磨牙后垫的1/2处等高;

前后向:下颌第二磨牙应位于磨牙后垫前缘;

颊舌向:磨牙后垫颊面、舌面向前与下颌尖牙的近中面形成一个三角形。

7.舌下腺(sublingual glands)

位于舌系带两侧,在下颌骨舌面的舌下腺凹内。可随下颌舌骨肌的运动上升或下降。

与此区相应的义齿舌侧基托边缘不应过长,否则舌运动时易将下颌全口义齿推起。

8.下颌舌骨嵴(mylohyoid ridges)

位于下颌骨后部的舌面,从第三磨牙斜向前磨牙区,由宽变窄。

是下颌舌骨肌在下颌骨的附着处,肌纤维向前向下止于舌骨,起降下颌和拉舌骨向前的作用。即使最大程度收缩时,也允许义齿边缘延长超过下颌舌骨嵴。

表面覆盖粘膜较薄,下方有不同程度的倒凹,基托组织面应缓冲。

9.舌侧翼缘区(lingual flange area) 

是与下颌全口义齿舌侧基托接触部位的解剖标志,从前向后包括舌系带、舌下腺、下颌舌骨肌、舌腭肌、翼内肌、咽上缩肌。

舌侧翼缘区后部是下颌全口义齿固位的重要部位,此区基托应有足够的伸展。

无牙颌的分区:

①主承托区:垂直于颌力受力方向的区域。包括牙槽嵴顶、腭部穹隆区、颊棚区等,该区不易出现骨吸收,能承担咀嚼压力。

②副承托区:与牙合力受力方向成角度的区域。包括上下颌牙槽嵴顶的唇、颊和舌腭侧(不包括硬区),与颊舌的界限在粘膜和口腔前庭黏膜反折线,支持能力较差,不能承受较大压力,只协助主承托区承受咀嚼压力。

③边缘封闭区:义齿边缘接触的软组织部分,如黏膜皱襞、系带附着部、上颌后堤区和下颌磨牙后垫。

此区有大量疏松结缔组织,与义齿边缘紧密贴合,防止空气进入基托与组织之间,产生良好的边缘封闭作用,从而形成负压和吸附力保证义齿固位。

④缓冲区:无牙颌上的颧突、上颌结节的颊侧、切牙乳突、下颌隆突、颌舌骨嵴,牙槽嵴上的骨尖、骨棱等部位。这些部位粘膜较薄,基托相应部位应磨除少许做缓冲处理。 

⑤后堤区: 腭小凹后方,轻压颤动线以获得良好的封闭。

友情链接: