#儿童口腔
资讯 20
课程 7
套餐 1
直播 
乳牙换恒牙,前后注意啥?
乳牙换恒牙,前后注意啥?
乳牙预成冠:孩子乳牙的保护伞!
乳牙预成冠:孩子乳牙的保护伞!
儿童牙龈反复长脓包怎么办?
儿童牙龈反复长脓包怎么办?
窝沟封闭详细过程
窝沟封闭详细过程
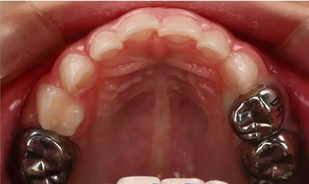
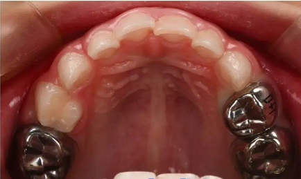
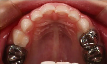
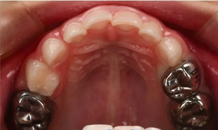
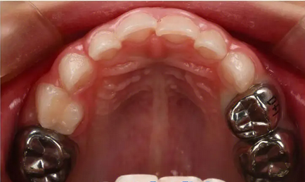
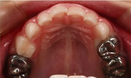
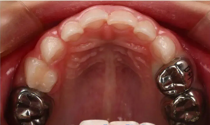
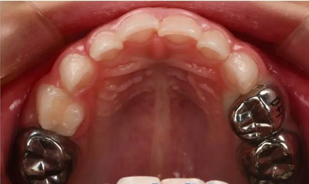
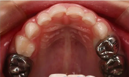
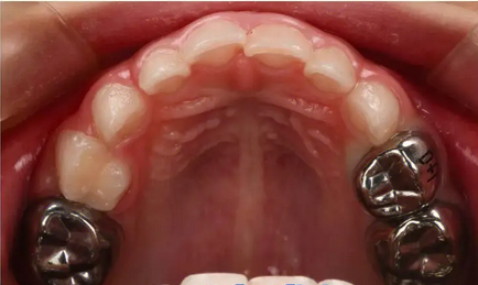
各种间隙保持器赏析!
各种间隙保持器赏析!
一例混合牙列前牙反颌+咬合创伤的早期矫治!
本篇介绍一例混合牙列前牙反颌+咬合创伤的早期矫治!
早期阻断性矫治,八个问题解读!
早期阻断,是指对乳、替牙列因先天或后天因素导致、正在发生或已初步表现出的牙、牙列、咬合关系及骨发育异常等,采用简单方法进行治疗以阻断畸形发展的过程,使之自行调整建立正常的牙合面关系。
窝沟封闭详细过程!
窝沟封闭详细过程!
乳牙替牙期如何维持间隙?间隙维持器了解一下!
维持间隙是在乳牙和替牙牙列中进行的治疗,以便在牙弓长度发生闭合之前保留可用间隙。使用间隙维持器或及时修复近端龋坏的乳牙,能避免牙弓长度丢失和后期复杂的正畸治疗。
儿童口腔检查的方法!
儿童口腔检查的方法









