首页/儿童口腔/乳牙替牙期如何维持间隙?间隙维持器了解一下!/
乳牙替牙期如何维持间隙?间隙维持器了解一下!
2022-11-11 11:07:095084浏览
维持间隙是在乳牙和替牙牙列中进行的治疗,以便在牙弓长度发生闭合之前保留可用间隙。使用间隙维持器或及时修复近端龋坏的乳牙,能避免牙弓长度丢失和后期复杂的正畸治疗。

01.适应症与禁忌症

(一)适应症

1、当可用间隙足够用于后继恒牙,并且在后继恒牙萌出之前有超过6个月的时间,建议进行间隙维护。

2、当后继恒牙缺失但患者咬合良好时,必须维持间隙以防止咬合紊乱,并允许将来种植牙或固定义齿修复。

3、牙先天缺失导致牙弓狭窄和牙弓长度异常并且存在反覆验时,必须维持间隙以保持牙弓长度以获得更好的牙弓弓形协调;如上颌侧切牙先天缺失和上颌骨缺损。

4、如果间隙已经减少了一些,不足以让后继恒牙萌出,但是整体牙弓评估表明足够的牙弓长度,则不需要间隙恢复;间隙维持就足够了。

(二)禁忌证

1、后继恒牙的空间不足时;

2、当间隙充足时,间隙分析表明整体牙弓长度整体不足,需要综合正畸治疗和拔牙;

3、当缺乏后继恒牙时,牙弓中的牙弓间隙分析表明需要关闭空间;

4、当乳牙列弓型宽大时;。当间隙丢失未预测时;

5、当后继恒牙预计在6个月内能够萌出时;

6、当对颌磨牙处于一个理想和稳定状态时。

02.间隙维持失败

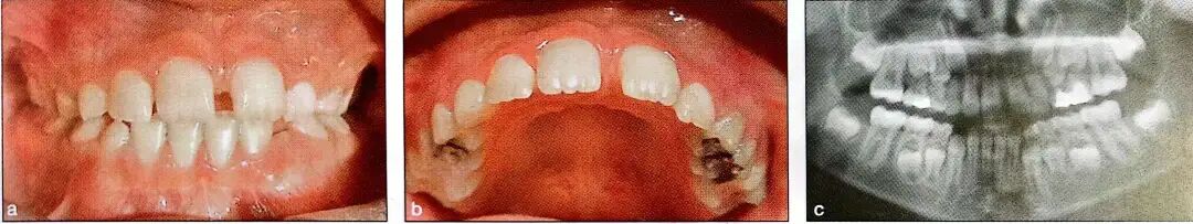
乳牙早失可能会对牙列产生许多不同的问题,两种情况可以最好地解释这个原则。

两个患者的牙列状态和咬合几乎相似,每个患者都失去了其中一颗上颌乳切牙。

a-e右上乳切牙早失,导致中线偏移,间隙损失

左上乳侧切牙和乳尖牙旱失,导致中切牙间间体增 

两名患儿均出现中线偏移到缺牙侧;然而,在第二名患儿上中切间出现明显间隙,因为她也过早失去了左上乳尖牙。

03.良好的间隙维持器特点

1、维持由于乳牙早失所导致的所有可用问隙;

2、防止对颌牙伸长;

3、不要刺激或损伤口腔软组织,提供咀嚼功能;

3、改善前牙美观;

4、协助儿童语音系统发育;

5、控制舌头异常习惯;

6、不抑制或妨碍正常生长变化;

7、有承受生理性力的强度;

8、不能向对颌牙施加过大的压力;

9、利于口腔卫生维护。

04.间隙维持器的类型

可以成功地用于间隙维护的治疗技术和矫治器。具体情况具体分析。间隙维持器可分为以下几类:

1、根据结构

固定式,如带环丝圈式或舌弓;

活动式,如 Hawley 保持器;

半固定式,如 Ellis 舌弓。

2、根据设计

它们可以是单侧的,例如带环,或双侧式,例如较低的保持弓(LHA)、横腭杆(TPA)或Nance 弓。

3、根据功能

功能性:例如带环和栅、冠、杆;

非功能性:例如带环、舌弓或横腭杆。

(一)非功能性单侧固定间隙维持器

1、带环丝圈式间隙维持器

是常用的单边非功能固定间隙维持器。在上颌或下颌后段的任何位置单侧丢失乳磨牙后可以使用带环。

通常应用单侧单颗牙缺失的情况,但也可以用于两颗乳牙缺失时使用;在这种情况下 ,在前牙的咬合面上产生歇止间隙。

缺点:它不能防止对颌牙过度萌出,并在不能弥补因牙齿缺失的功能缺失。

2、远中导板式间隙维持器

单侧固定式间隙维持器,其在第二乳磨牙早失后施加以引导后继恒牙萌出发。这种类型的间隙维持的铸造和应用需要在安装和粘接之前对放射照片进行仔细评估。必须仔细评估装置的长度和位置以及与未萌出的第一前磨牙的关系。

(二)非功能性双侧间隙维持器

所有这些间隙维持器都有双侧设置,并在牙弓左右两侧保持间隙发挥作用。这种类型的间隙维持器最常见的形式是LHA、Nance 托和TPA。

1、低位固定弓(LHA)

LHA 是最常见的双侧间隙维持器。

它由在0.032或0.036英寸不锈钢丝的腭或舌弓连接的第一恒磨牙(有时是乳磨牙)上的两个带或冠。

在特殊情况下,0.040英寸不锈钢丝焊接到摩擦带,接触下颌切牙(下颌切牙的舌侧隆突)。

包含两个U形曲,近中连接左右侧的带环,允许轻微的调整。曲的调节和激活使得可以实现一些磨牙的扩弓,扭转或挺竖直。在第一前磨牙拔除后,该LHA 可以用作下颌尖牙内收的良好支抗。

另外一个重要的功能就是防止磨牙萌出,这在治疗垂直向问题上有许多应用。当双侧后牙丢失时,当两颗以上单侧后牙缺失或前牙缺失的情况下,也可以使用LHA。

低位弓用刺在每侧远中连接尖牙和侧切牙,以防止该侧乳尖牙和侧切牙的远端漂移

注意:长时间使用LHA后,不锈钢丝具有逐渐扩大的倾向并引起磨牙反验。为了防止颊倾,在用水门汀粘接之前对弓丝进行热处理是非常重要的。

2、Ellis 舌弓

Ellis 舌弓是一个半移动弓。舌弓没有焊接到带环。相反,舌弓具有插人到磨牙带环上的预辉侧管。这种保持器的优点是能够轻松地移除牙弓,不需拆除带环进行任何激活和重新调整。

3、主动型维持弓

将两根轻金属丝弹簧连接到舌弓可用于微小竖直牙齿,切牙排齐,以及适度切牙拥挤的矫正。

4、横腭杆(TPA)

TPA是在上颌中使用的双侧保持弓,它可以是固定或者半固定的。

它由上颌磨牙的两个带环和由0.036英寸不锈钢丝制成的腭杆,焊接到磨牙带环。它也可以是可摘式的,如下颌Ellis弓与水平管焊接到磨牙带环。

固定和可摘式弓可以使用或者不使用欧米茄曲。欧米茄圈曲允许进行各种调整,例如磨牙扩展、磨牙扭转和磨牙旋转。

有两种TPA:正常和反向TPA,反向TPA在磨牙带环之前有额外的U形曲,使得矫治器可以更灵活地进行调节。

多数乳牙早失后,TPA可用于上颌作为整个牙弓的间隙维持。TPA没有丙烯酸树脂基托,这减小了TPA对组织的刺激,更易清洁,尤其适用于年轻患者。

通过调整TPA,还可进行扩弓。TPA的欧米伽曲可以旋转恒磨牙,从而获得间隙。在TPA的钢丝上加上额外的螺簧,使得TPA更灵活易调节,从而使磨牙更易移动。反向TPA中这些优势表现更显著有效。

TPA的另一个重要适应证是在儿童失去下颌恒磨牙后,防止对颌牙伸长。

通过一些调整,TPA还具有压低磨牙的能力。

5、Nance弓

应用于上颌弓的双侧保持弓,它由两个磨牙带环构成,腭棒的0.036~0.040英寸不锈钢丝焊接到磨牙带环上。

金属杆前部位于上腭的最深处。金属杆应与丙烯酸树脂材料与组织面分离,并在金属弓中产生V形曲用于丙烯酸树脂充填。

有两种 Nance弓:

常规形式的Nance弓和反向 Nance弓。反向 Nance 弓着每侧钢丝与带环焊接处之前设计了额外的U形曲。除了可以控制磨牙,反向Nance 弓还可以作为一种主动扩弓装置,并旋转磨牙。

a.Nance弓;b.反式Nance弓;额外的曲能扩宽磨牙,扭转磨牙

Nance弓在上颌弓中是一个良好的间隙维持器,以防止多颗乳牙损失时防止磨牙前移。

丙烯酸树脂基托提供了一个额外的阻挡区,它在拔牙病例中起到了加强支抗的作用。

(三)功能性固定间隙维持器

有许多类型的装置可以维持间隙并防止对颌牙伸长,包括固定的或可摘的,单侧或双侧功能矫治器。

1、带环和𬌗支托式

后牙区单侧功能维持者具有带环丝圈式间隙维持器相同的适应证,以及一些另外的适应证。

带有两个带环,一个𬌗支托的间隙维持器是单侧固定性间隙维持器,类似于带环丝圈式间隙维持器。

设计用于在乳牙早失后维持间隙;它也可以防止对颌牙伸长,并且利于患者口腔卫生维护。如果邻牙倾斜,则不能使用这种维持器,邻牙竖直后则可以使用。

a.带环和支托间隙维持器;b.带环和托间隙维持器功能

2、带环和桥体式

具有耠垫或牙齿的功能性间隙维持器,有与环和支托间隙维持器功能,但更美观,提供更好的咀嚼功能,并有利于口腔卫生维护。

3、冠和连接杆式

这两种维持器也是单侧功能性间隙维持器。他们与冠和支托或者冠和桥体的作用相似,但因为冠的存在使作用更加强大。冠和支托或冠和桥体间隙维持器最适用于严重龋齿和冠高度不足。

4、前牙临时局部固定义齿式

前牙牙齿损失主要是由于创伤而造成的,其次是龋齿。虽然患龋率表现为下降,但是奶瓶龋和猖獗龋的儿童在牙弓前段和后段出现了牙齿早失。

前牙早失导致牙齿移动和间隙丧失的问题,引发咬合问题,并可能导致言语和咀嚼功能紊乱以及对幼小患儿产生心理问题。

(四)可摘式间隙保持器

可摘式间隙保持器可以分为简单间隙保持器单侧或双侧间隙保持器,用于前牙段或后牙段的间隙保持器,功能性和非功能性间隙保持器。

优点

1、制作简单。

2、取戴方便,有利于患者保持口腔卫生。

3、适用于双侧多颗牙缺失的患者(前牙区(和)或后牙区)。

4、适用于基牙缺失的患者。

5、可设计为同时满足多种功能需要的矫治器,比如,作为保持器和固位装置用于纠正不良习惯,作为牙验垫或扩弓器达到不同的治疗目标。

缺点

1、要求患者配合度高。

2、易损坏。

3、当多颗牙缺失时,固位较为困难。

4、儿童易遗失矫治器。

5、若未进行适当的清洁,龋坏、牙周组织刺激及增生将不可逆。

Hawley矫治器

适用于上下颌牙弓多颗乳牙丧失的间隙保持。Hawley矫治器可以满足混合牙列期多种矫治功能,可同时作为简单的间隙保持器和维持美观及防止后牙区对颌牙伸长的功能性装置。

a.下颌Hawley矫治器;b.上颌Hawley矫治器

下图展示了带有三颗丙烯酸树脂制作的乳切牙的 Hawley矫治器作为一个临时局部可摘义齿。

常规的Hawley式唇弓提供了良好的固位。这类矫治器可以被用来维持间隙和替代意外造成的上下颌乳切牙早失。

a和b制作有三颗乳切牙义齿的Hawley矫治器作为功能性间隙保持器

内容摘自:《儿童口腔早期矫治》人民卫生出版社!

友情链接: