#口腔外科
资讯 104
课程 2
套餐
直播
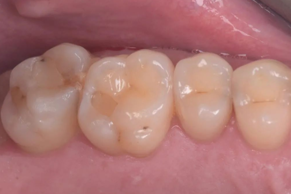
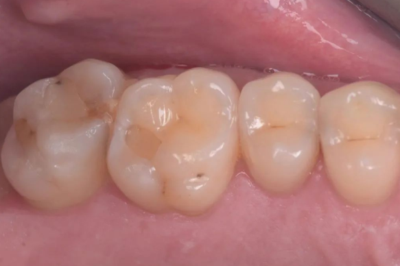
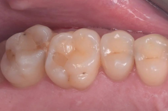
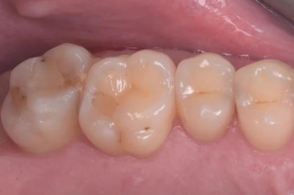
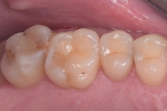
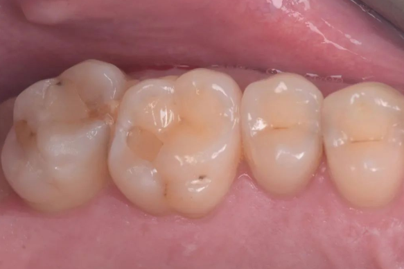
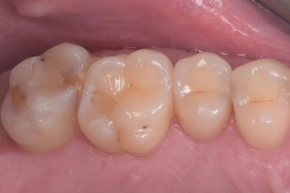
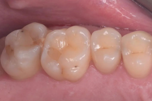
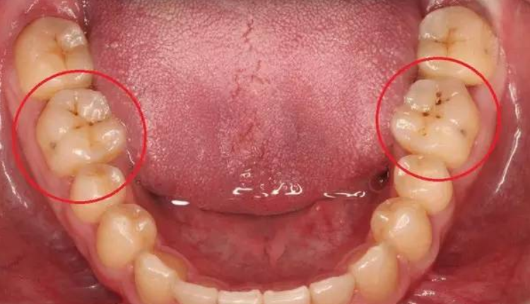
看似很小的龋坏,打开后却别有洞天!
看似很小的龋坏,打开后却别有洞天!
洗牙到底洗掉了什么?
洗牙到底洗掉了什么?
拔牙后怎么护理?记住口腔医生整理的这6点就够了 !
拔牙后怎么护理?记住口腔医生整理的这6点就够了 !
全口义齿的几种修理方法!
全口义齿的几种修理方法!
光固化垫底材料的最佳使用时机,你知道吗?
光固化垫底材料的最佳使用时机,你知道吗?
牙根吸收如何处理?只需十步!
牙根吸收如何处理?只需十步!
牙医忠告:拍片别抬头!别打哈欠!
牙医忠告:拍片别抬头!别打哈欠!
全口义齿直接法重衬步骤!
全口义齿直接法重衬步骤!
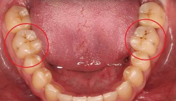
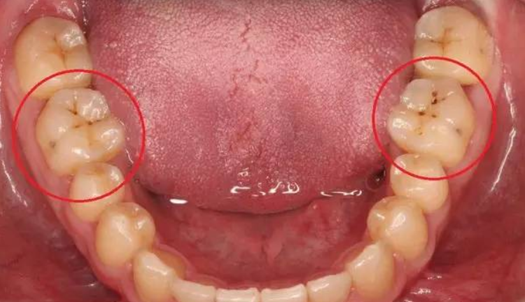
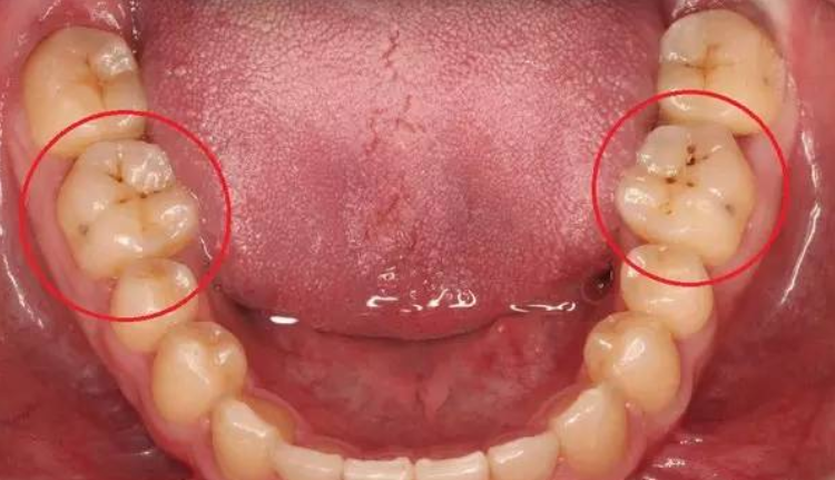
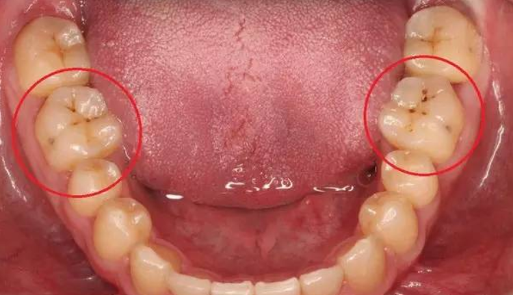
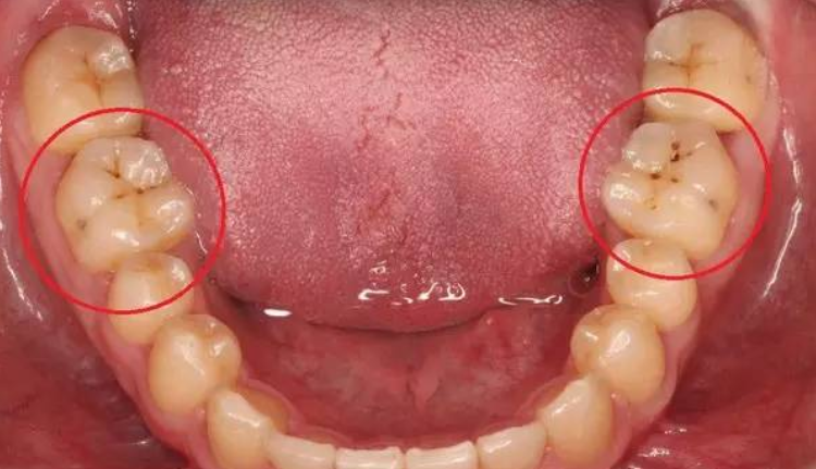
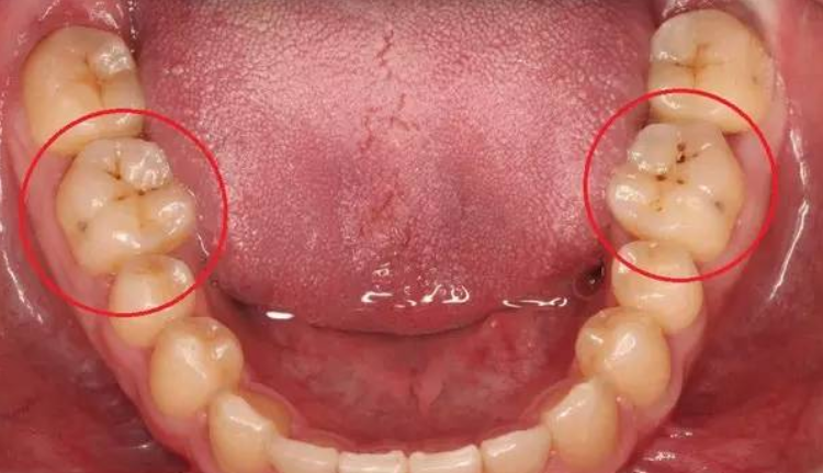
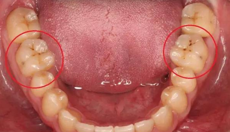
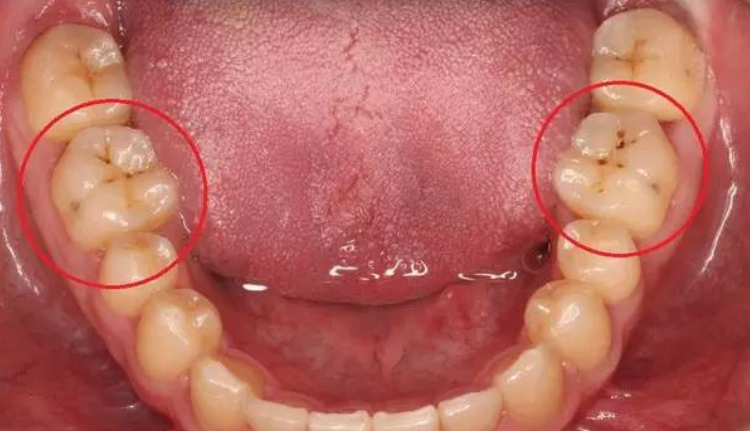
牙齿突然出现小黑点说明什么问题?不要不当回事!
牙齿突然出现小黑点说明什么问题?不要不当回事!
无牙颌患者确定正中关系位的方法!
无牙颌患者确定正中关系位的方法!









