首页/口腔小技巧/光固化垫底材料的最佳使用时机,你知道吗?/
光固化垫底材料的最佳使用时机,你知道吗?
2023-08-30 15:31:541759浏览
光固化垫底材料的最佳使用时机,你知道吗?

Ionosit Baseliner是一种光固化材料,可以消除复合树脂修复体的应力,减少术后敏感性、微裂纹和继发龋。此外,其活性化学成分可以防止边缘缝隙的形成,保证修复体的可靠持久。Ionosit Baseliner结合玻璃离子和复合树脂材料的优良性能,其可控的膨胀可阻止复合树脂内结构应力和微裂纹的产生,消除窝洞内应力。该材料与牙本质反应防止细菌进入,封闭牙本质小管,保护牙髓不受细菌侵入,是一种可靠的预防牙髓损害和术后敏感的方法。在牙本质和复合树脂之间使用1mm厚的一层垫底材料可以释放氟离子和锌离子,在牙齿表面和修复体的粘接处形成牙齿的保护屏障。其化学成分形成与牙本质的连接,封闭复合树脂材料聚合收缩可能产生的缝隙,避免牙本质界面上的应力集中。总的来说,Ionosit Baseliner独特的性能组合使其成为复合树脂修复体理想的单组分垫底材料,解决修复体的应力集中和缝隙问题。

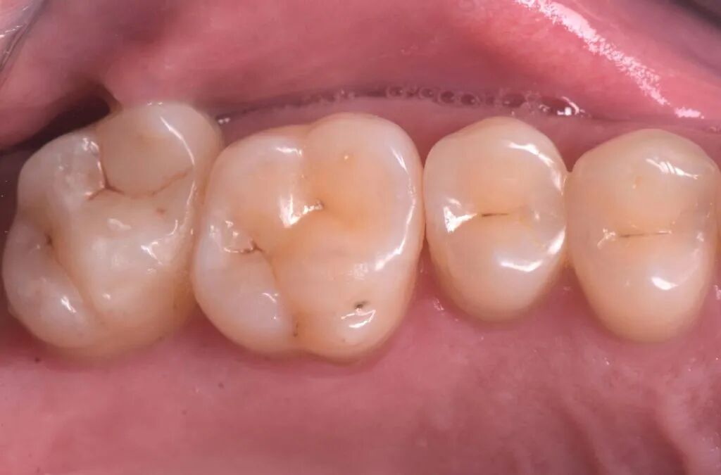
图1. 一位患者主诉左上后牙食物嵌塞咬合不适。左上象限(从第一前磨牙至第二磨牙)龋病情况如图。

图2. 在与患者讨论完治疗方法和风险后,清除龋损,恢复牙齿形态和功能是主要目标。

图3. 局部麻醉,橡皮障隔离,清理牙齿。

图4. 清除龋损后,29μm氧化铝喷砂清理洞壁、洞缘。

图5. 龋洞清理完成。准备酸蚀和黏结。

图6. 37%磷酸酸蚀釉质30秒,冲洗30~60秒。

图7. 流水冲洗。

图8. 在涂布黏结剂前,釉质应吹干后呈现霜白色。

图9. 放置成形片和成形片夹。

图10. 涂布粘结剂于窝洞内30秒,干燥5秒,光固化20秒。

图11. 光固化垫底材料置于27窝洞最深处。

图12. 光固化20秒。

图13. 垫底后准备充填修复。

图14. 复合树脂修复窝洞,窝沟染色。

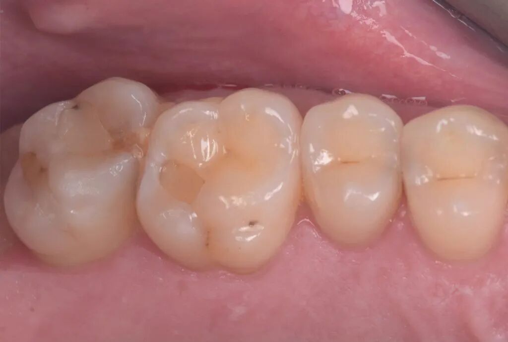
图15. 充填修复后,抛光,拆除橡皮障(此时牙齿仍处于脱水状态偏白),咬合纸检查咬合。

图16. 抛除咬合高点及印记。

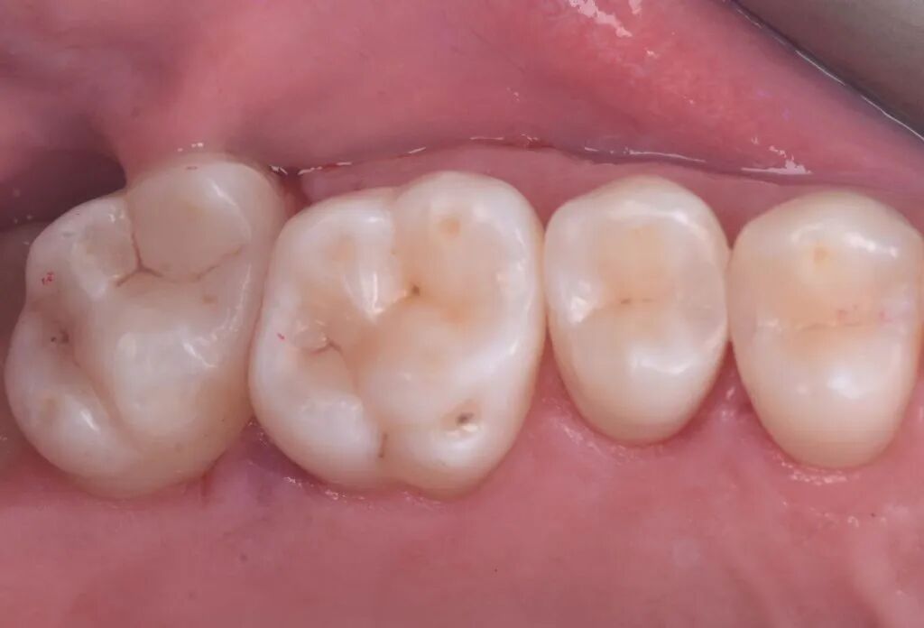
图17. 一个月回访。

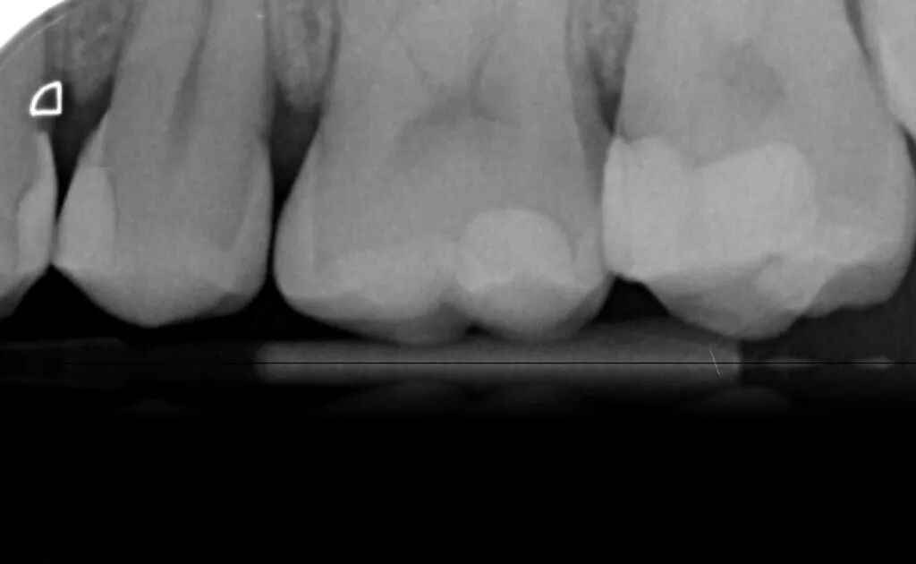
图18. 术后X线片。

总结Ionosit Baseliner可以被用作复合树脂修复的垫底材料,其被设计为一种树脂填料可以补偿聚合收缩,减少边缘缝隙和术后敏感。抵消复合树脂充填的聚合收缩是其最突出的优点,另外也能预防边缘缝隙的形成。当有缝隙存在于充填物和牙齿之间时,细菌的进入会导致继发龋的发生。Ionosit Baseliner与牙本质反应,封闭牙本质小管,防止缝隙的形成,保护牙髓免受外源性刺激。其还具有阻射性,可在X线片上观察到,并释放氟化物,起到防蛀作用。此外,其中锌成分具有抗菌性能,有助于预防继发龋。总的来说,Ionosit Baseliner是一种可靠耐用的材料,有助于无应力和持久的复合树脂修复。

原文网址:https://www.styleitaliano.org/using-a-baseliner-when-and-why/

友情链接: