看似很小的龋坏,打开后却别有洞天!
看似很小的龋坏,打开后却别有洞天!
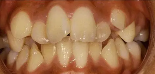
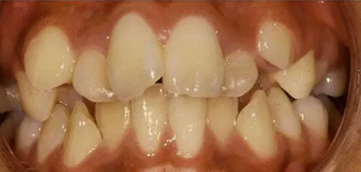
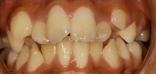
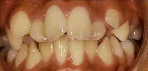
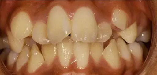
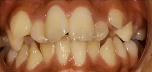
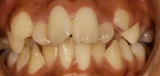
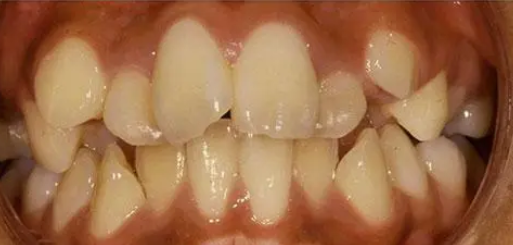
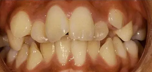
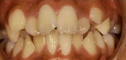
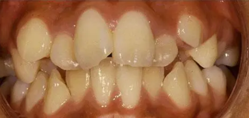
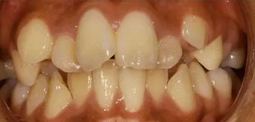
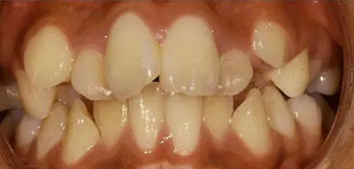
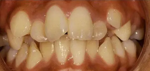
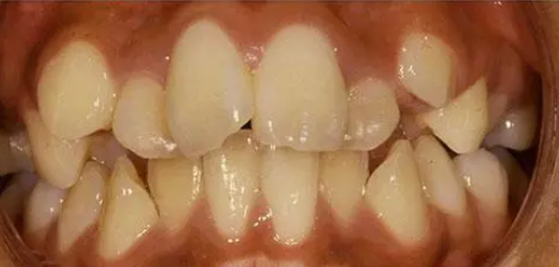
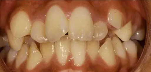
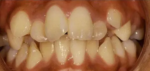
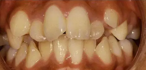
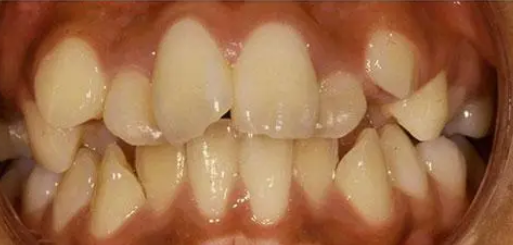
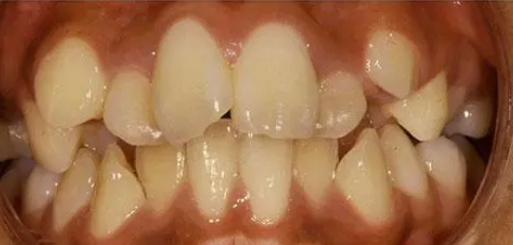
骨量与牙量不调的正畸矫正!
骨量与牙量不调的正畸矫正!
根管治疗中主牙胶尖处理技巧汇总!
根管治疗中主牙胶尖处理技巧汇总!
正畸怎么贴托槽?
正畸怎么贴托槽?
树脂充填后敏感的原因,这几点不可忽略!
树脂充填后敏感的原因,这几点不可忽略!
洗牙到底洗掉了什么?
洗牙到底洗掉了什么?
全口牙开髓如此到位,全靠这份详细位置图解 !
全口牙开髓如此到位,全靠这份详细位置图解 !
龋齿会伤及恒牙生长吗?
龋齿会伤及恒牙生长吗?
拔牙后怎么护理?记住口腔医生整理的这6点就够了 !
拔牙后怎么护理?记住口腔医生整理的这6点就够了 !
全口义齿的几种修理方法!
全口义齿的几种修理方法!









