#牙周病学
资讯 32
课程 8
套餐 2
直播
哪有什么老掉牙,都是牙周炎惹的祸!
哪有什么老掉牙,都是牙周炎惹的祸!
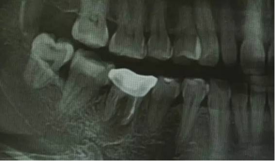
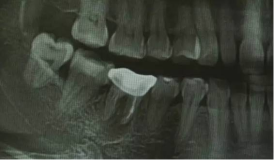
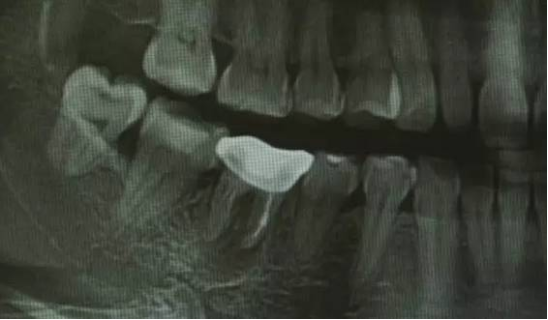
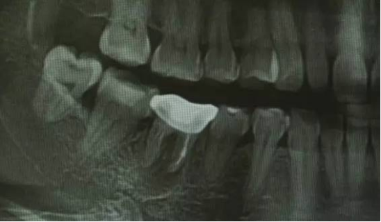
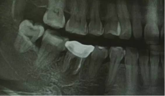
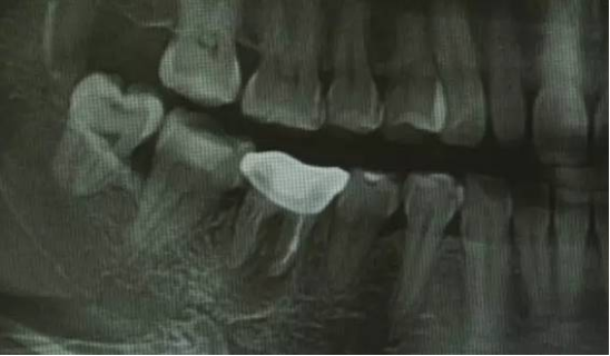
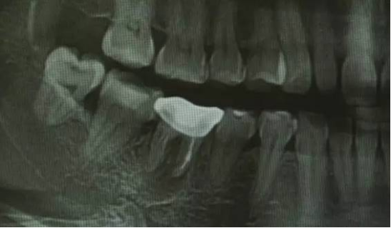
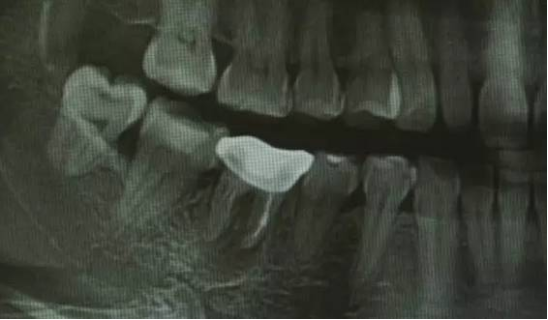
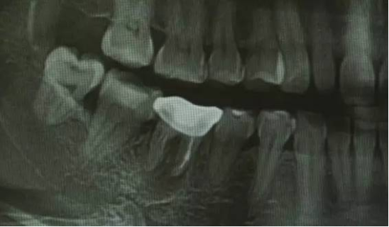
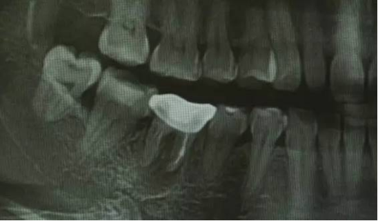
慢性根尖周炎,这三个知识点一定要掌握!
慢性根尖周炎,这三个知识点一定要掌握!
牙周脓肿与牙槽脓肿怎样区分?
牙周脓肿与牙槽脓肿怎样区分?
牙髓息肉的治疗方法,重点速览!
牙髓息肉的治疗方法,重点速览!
牙周刮治的器械和手法!
牙周刮治的器械和手法!
牙周病要警惕,常见症状和临床病理一文归纳
牙周病要警惕,常见症状和临床病理一文归纳!
专家深度讲解:牙冠延长术,赶紧收藏!
专家深度讲解:牙冠延长术,赶紧收藏!
上、下颌骨形态及位置关系判断
上、下颌骨形态及位置关系判断
牙周手术的减张切开法
牙周手术的减张切开法!
排龈线选择及排龈方式设计
排龈线选择及排龈方式设计!








