首页/口腔小技巧/牙周病要警惕,常见症状和临床病理一文归纳/
牙周病要警惕,常见症状和临床病理一文归纳
2023-03-06 16:16:483739浏览
牙周病要警惕,常见症状和临床病理一文归纳!

牙周疾病是引起成年人牙齿丧失的主要原因之一,也是危害人类牙齿和全身健康的主要口腔疾病。本篇为大家分享关于牙周病的主要症状和临床病理。

1牙龈的炎症和出血

一、临床病理

根据牙周疾病进展的最新知识: 初期病损、早期病损、确立期病损 、晚期病损。

 二、临床表现

1、牙龈出血 

龈沟液量的增多和龈沟探诊出血。早期:牙龈表面无明显改变,龈沟探诊30”后出血。

2、牙龈颜色 

 呈鲜红或暗红色,也可变浅或苍白。

3、牙龈外形  

龈缘变厚,牙乳头圆钝,不再紧贴,点彩消失,表面光亮。炎症和渗出为主,纤维增殖为主。

4、牙龈质地  

松软脆弱,缺乏弹性。慢性炎症:牙龈坚硬肥厚,探诊仍有出血。正常牙龈:粉红色;菲薄、点彩;致密坚韧。

炎症牙龈:鲜红或暗红色;牙龈松软肥大;松软脆弱,缺乏弹性。

牙龈纤维性增生:牙龈坚韧肥大,因为袋的外侧壁有明显的纤维性修复,但袋内壁仍存在炎性改变。

牙龈增生:

5、龈沟液  龈沟液渗出增多是牙龈炎症的重要指征之一

6、探诊深度及附着水平 

探诊深度:牙周探针探测龈沟或牙周袋的深度。附着水平:结合上皮附着于牙面的位置,健康牙龈附着水平位于釉牙骨质界处。如果附着水平向根方移位,称为附着丧失。 附着水平是否变化是区别牙龈炎和牙周炎的关键标志之一。牙龈炎:龈沟探诊深度可超过3mm,附着水平没有发生变化,称龈袋或假性牙周袋。牙周炎:探诊深度超过3mm,袋底位于釉牙骨质界的根方,附着水平向根方移位, 称牙周袋。下图(1)牙龈有退缩,探诊深度为4.5mm,附着丧失(釉牙骨质界至袋底)为6mm下图(2)探诊深度为9mm,附着丧失为6mm

探诊深度相同,附着水平不同。

附着水平相同,牙周袋深度不同。

炎症期,临床探诊深度大于组织学深度。

2牙周袋的形成

牙周袋:是病理性加深的龈沟,是牙周炎最重要的病理改变之一。牙龈炎时,牙龈的肿胀或增生使龈缘位置向牙冠方向移动,结合上皮位置未向根方迁移,此为假性牙周袋,或称龈袋。牙周炎时,结合上皮向根方增殖,其冠方部分与牙面分离形成牙周袋,这是真性牙周袋。

一、牙周袋形成的机制

二、牙周袋病理

1、软组织壁袋内细菌通过袋上皮进入CT,炎细胞浸润,牙周袋结合上皮长度变短,袋内壁上皮增生, 钉突网状增生伸入CT内并向根方延伸,上皮溃疡。袋内壁有化脓性炎症。

牙周袋的临床表现与组织病理学改变表7-1

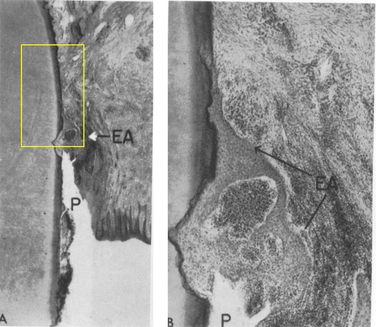
牙周袋,EA结合上皮,可见袋内壁溃疡;

A的放大,可见结合上皮沿着吸收的根面,根方移位,上皮内可见大量炎症细胞 

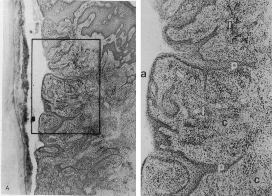
袋壁上皮钉突网状增生伸入CT图A:牙周炎内壁可见致密的炎细胞和上皮增生;图B:可见萎缩的上皮(a);和上皮增生(p),CT中炎细胞聚集(i);可见残存的CT纤维(c)。

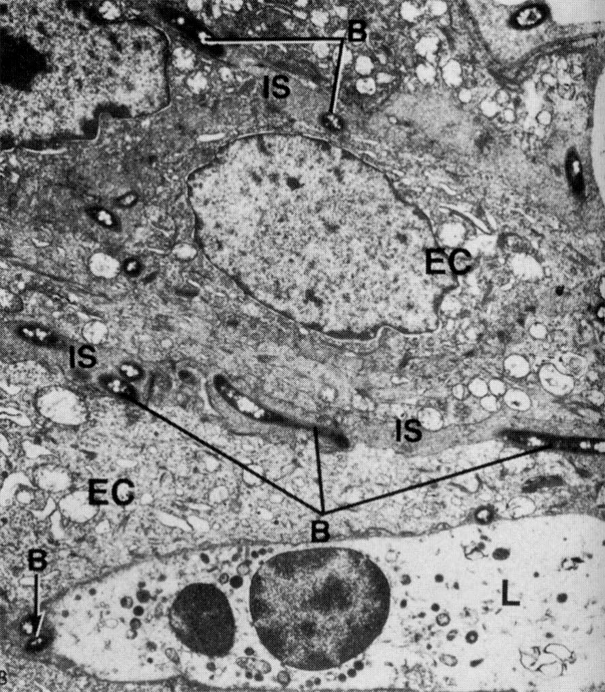
TEM牙周袋内壁上皮,可见细胞间隙间的细菌;B细菌,IS 细胞间隙;L白细胞将要吞噬细菌;

牙周袋断面(SEM):严重牙周炎牙周袋断面可见细菌穿过上皮和结缔组织;A,牙周袋内壁,B上皮断层。C结缔组织断层;弯箭头为细菌正在穿过上皮;白箭头为细菌正通过破坏的不连续的基底膜进入CT,CF结缔组织纤维;D聚集的细菌(杆,球,丝等菌);*为球杆菌在CT中;

2、根面壁  

根面壁是指暴露于牙周袋内的牙根面。

结构改变(1)牙骨质表面脱矿:Sharpey纤维破坏,导致牙骨质脱矿、软化,易发生根面龋。(2)牙骨质高度矿化:牙根暴露于口腔时,脱矿的牙根面可发生唾液源的再矿化。化学改变  袋内根面的牙骨质脱矿,钙、磷含量降低,而暴露于口腔中的牙根面则钙、磷、镁、氟等均可增多。细胞毒性改变  细菌及内毒素均可进入牙骨质深达牙骨质牙本质界。牙周袋底可见五个区域:    (1)牙结石覆盖牙骨质区 ;(2)附着菌斑覆盖牙石;(3)非附着菌斑围绕附着菌斑向根方延伸;(4)结合上皮附着区;(5)结合上皮根方可有结缔组织纤维部分破坏区。

3、袋内容物  

  • 牙周袋内含有菌斑、软垢、龈沟液、食物碎渣、唾液粘蛋白、脱落上皮和白细胞等,白细胞坏死分解后形成脓液;
  • 袋壁软组织经常受根面龈下牙石的机械刺激,引起袋内出血;
  • 袋内容物具有较大的毒性。

三、牙周袋的类型 

1、根据牙周袋的形态、袋底位置与相邻组织的关系,分为:假性牙周袋或龈袋、牙周袋。2、根据牙周袋底位于牙槽嵴顶的位置,分为:骨上袋:袋底位于牙槽嵴顶的冠方,骨水平吸收。骨下袋:袋底位于牙槽嵴顶的根方,骨垂直吸收。

3、按牙周袋累及牙面的情况:

3牙槽骨吸收

 一、牙槽骨吸收的机制

二、 牙槽骨吸收的病理

1、炎症慢性炎症向深部牙周组织扩展达到牙槽骨附近时,骨表面和骨髓腔内分化出破骨细胞和单核-吞噬细胞,发生陷窝状骨吸收,或使骨小梁吸收变细,骨髓腔增大。破骨细胞和单核细胞是与骨吸收有关的两种细胞。破骨细胞主要去除骨的矿物部分,单核细胞在降解有机基质方面起作用。炎症向牙周支持组织扩散的途径

炎性浸润破坏胶原纤维向深部牙槽嵴延伸,引起牙槽骨吸收

在距炎症中心较远处,可有骨的修复性再生。在被吸收的骨小梁的另一侧,也可见到有类骨质及新骨的沉积。在牙周炎过程中,骨吸收和修复性再生常在不同时期、不同部位出现。新骨的形成可缓解牙槽骨的丧失速度,也是牙周治疗后骨质修复的生物学基础。

2、创伤在受压迫侧的牙槽骨发生吸收;在受牵引侧则发生骨质新生。一般认为合创伤引起的常为牙槽骨垂直吸收,形成骨下袋;而炎症则多引起水平吸收。 垂直性骨吸收也可发生于无创伤却有菌斑及慢性牙周炎的牙齿。 垂直性和水平性骨吸收都可以由菌斑引起的炎症所致,只是垂直性骨吸收发生在两个邻牙的牙槽骨间隔较宽处。

三、牙槽骨破坏的形式   

1、平型吸收最常见,牙槽嵴顶呈水平吸收--骨上袋

2、垂直型吸收角形吸收,牙槽嵴顶呈垂直或斜行吸收--骨下袋 骨下袋根据骨质破坏剩余的骨壁数分为一骨壁袋:牙周袋破坏严重,仅剩下一侧骨壁。二骨壁袋:骨袋仅剩下两个骨壁。三骨壁袋:袋的一个壁是牙根面,其他三面都是骨质。四骨壁袋:牙根四周均为垂直吸收形成的骨下袋,牙根孤立位于骨下袋中央,而骨壁与牙根不贴合。混合壁袋:垂直吸收各个骨壁高度不同。

3、凹坑状吸收指牙槽间隔的骨嵴顶吸收,其中央与龈谷相应的部分破坏迅速,而颊舌侧骨质仍保留,形成弹坑状或火山口状缺损 。

4、其他形式的骨变化 由于各部位牙槽骨吸收不均匀,使原来整齐而呈薄刃状的骨缘成为参差不齐。

四、牙槽骨吸收的临床表现牙槽骨吸收的方式和程度,通过X线片观察,但X线显示的是近远中骨质情况,颊舌侧骨板因牙与骨质重叠而显示不清。牙周炎的骨吸收最初表现为牙槽嵴顶的硬骨板消失或嵴顶模糊。牙槽骨早期的垂直吸收,可造成与牙根之间楔形影像。

牙槽骨吸收通常分为三度Ⅰ度:牙槽骨吸收在牙根的颈1/3以内。Ⅱ度:牙槽骨吸收超过根长1/3,但在根长2/3以内。Ⅲ度:牙槽骨吸收占根长2/3以上。

4牙松动和移位

 一、牙松动原因:牙槽嵴吸收; 合创伤;牙周膜急性炎症;牙周翻瓣手术后;女性激素水平变化。二、牙病理性移动 原因:牙周支持组织破坏   合力的改变。

5牙周病的活动性

牙周炎病变呈静止期(quiescence)和加重期(exacerbation)交替呈现。静止期:炎症轻,没有或少有骨和结缔组织的附着丧失。活动期:间隔2-3个月,牙周附着丧失大于2mm活动期判断指标:附着丧失大于2mm,龈沟液增多。牙周病持续、缓慢进展的模式牙周病一旦发生,即持续不断地进展,直至牙脱落*附着水平或骨高度

牙周病进展的随机爆发模式

  • 患者口中的多数牙位保持稳定
  • 部分牙位发生新的病变、或爆发活动期、或静止
  • 多个牙位发生多次活动性破坏
友情链接: