#口腔修复
资讯 159
课程 9
套餐 1
直播
根管治疗中主牙胶尖处理技巧汇总!
根管治疗中主牙胶尖处理技巧汇总!
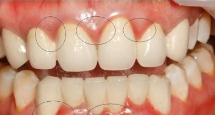
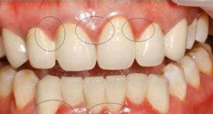
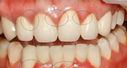
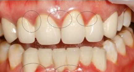
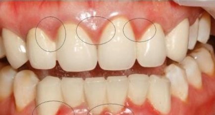
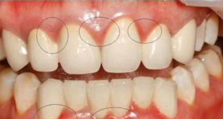
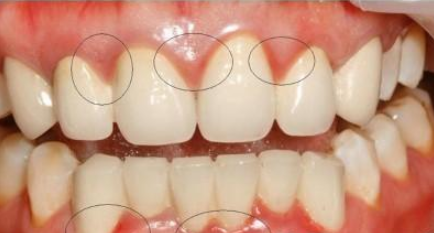
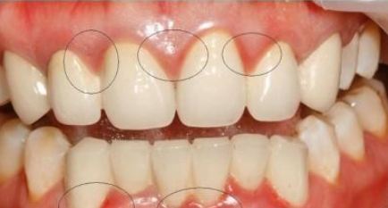
树脂充填后敏感的原因,这几点不可忽略!
树脂充填后敏感的原因,这几点不可忽略!
全口牙开髓如此到位,全靠这份详细位置图解 !
全口牙开髓如此到位,全靠这份详细位置图解 !
龋齿会伤及恒牙生长吗?
龋齿会伤及恒牙生长吗?
根管治疗中开放的危害!
根管治疗中开放的危害!
根管治疗时,牙周膜形成人造根管,该如何避免?
根管治疗时,牙周膜形成人造根管,该如何避免?
牙科医生必看——根管治疗经典总结!
牙科医生必看——根管治疗经典总结!
学会这八种方法,临床上寻找根管口变得超简单!
学会这八种方法,临床上寻找根管口变得超简单!
两种树脂印章法的高效操作方法!
两种树脂印章法的高效操作方法!
根管化学冲洗的六大误区,你都避开了吗?
根管化学冲洗的六大误区,你都避开了吗?







