#创伤骨科
资讯 678
课程 489
套餐 3
直播 1
小螺钉解决大问题:阻挡螺钉的应用技巧!
小螺钉解决大问题:阻挡螺钉的应用技巧!
如何充分显露Hoffa骨折?这些细节处理好!
如何充分显露Hoffa骨折?这些细节处理好!
注重伤口缝合的基本原则,摒弃强调“美容缝合”的错误观念!
注重伤口缝合的基本原则,摒弃强调“美容缝合”的错误观念!
小腿骨筋膜室综合征:单切口切开减压术!
小腿骨筋膜室综合征:单切口切开减压术!
最新方法总结:下胫腓联合损伤治疗的技巧
最新方法总结:下胫腓联合损伤治疗的技巧!
骨质疏松为啥总青睐女性?该如何预防?
骨质疏松为啥总青睐女性?该如何预防
高清图谱:肩关节损伤的MRI表现
高清图谱:肩关节损伤的MRI表现
“雷声小雨点大”的恐怖骨折
“雷声小雨点大”的恐怖骨折!
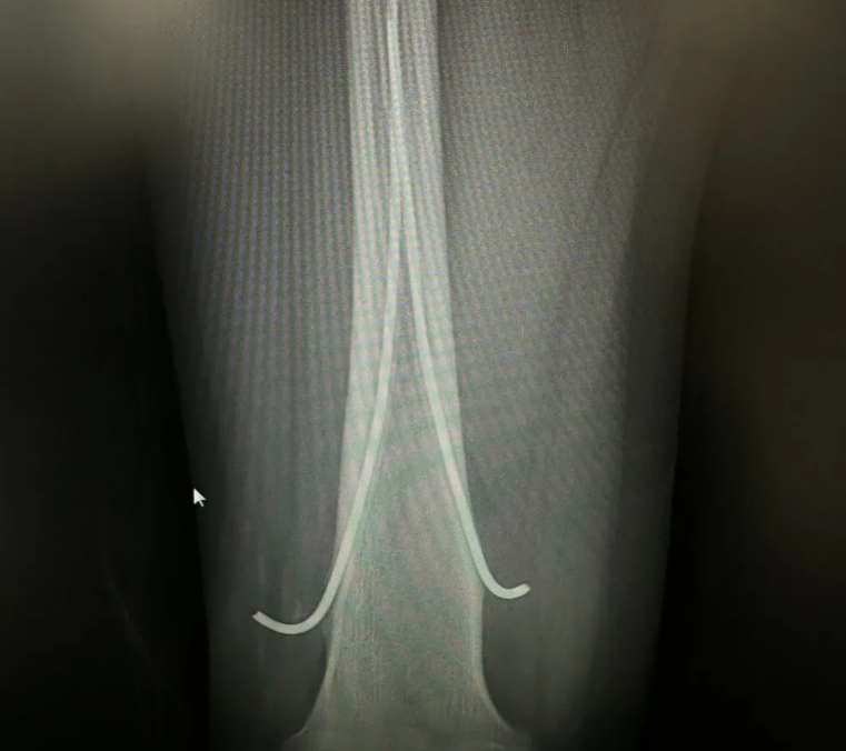
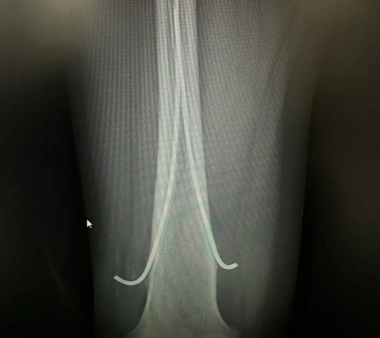
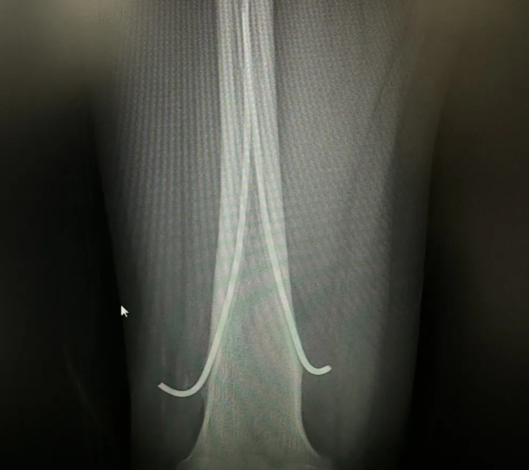
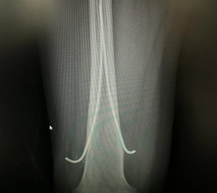
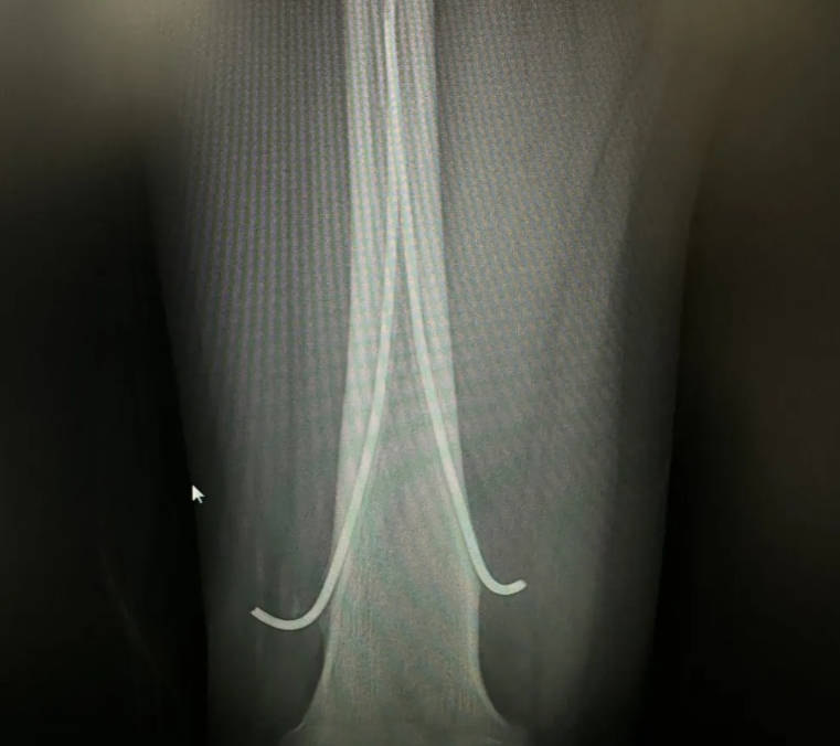
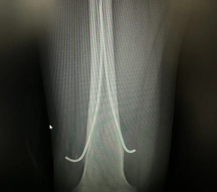
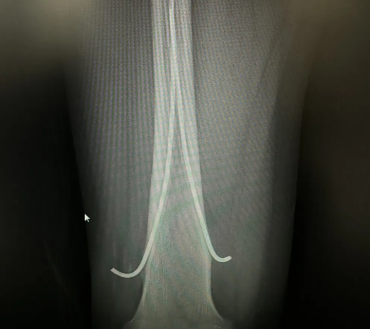
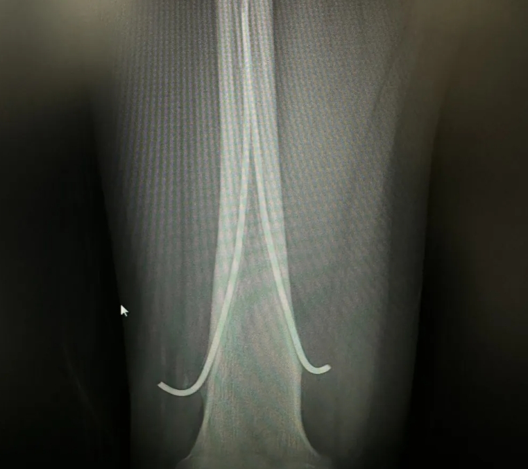
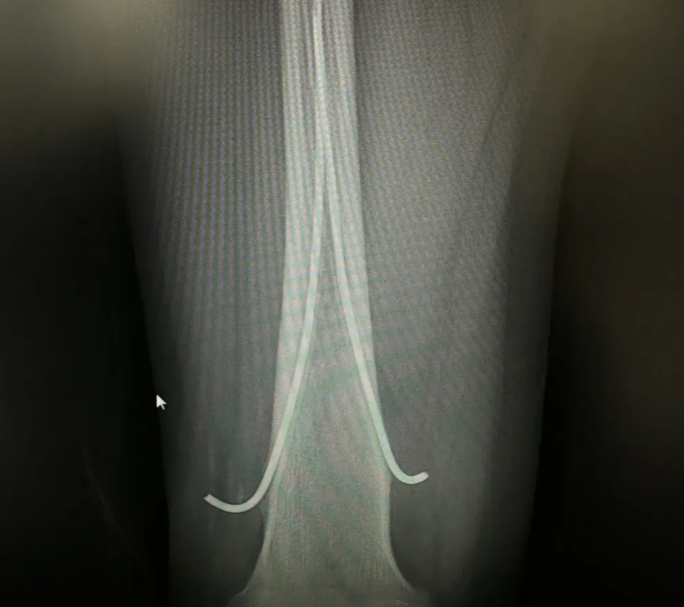
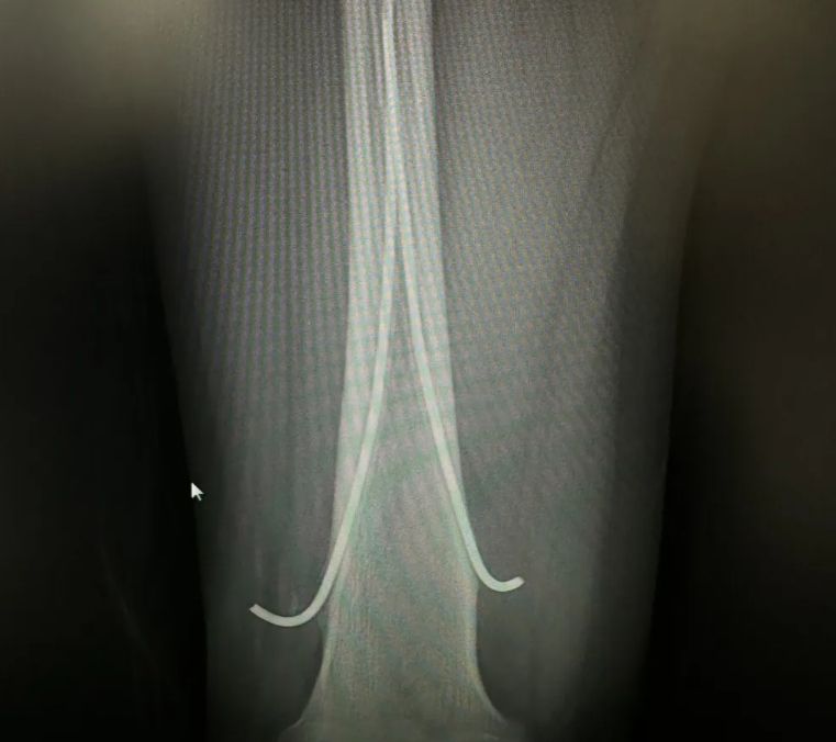
活久见:3岁股骨弹性髓内钉15年后的样子!
活久见:3岁股骨弹性髓内钉15年后的样子!
最新方法总结:下胫腓联合损伤治疗的技巧!
最新方法总结:下胫腓联合损伤治疗的技巧!






