搜索
学习中心
登录
首页
/
创伤
/
活久见:3岁股骨弹性髓内钉15年后的样子!
/
活久见:3岁股骨弹性髓内钉15年后的样子!
2024-03-27 17:44:56
814浏览
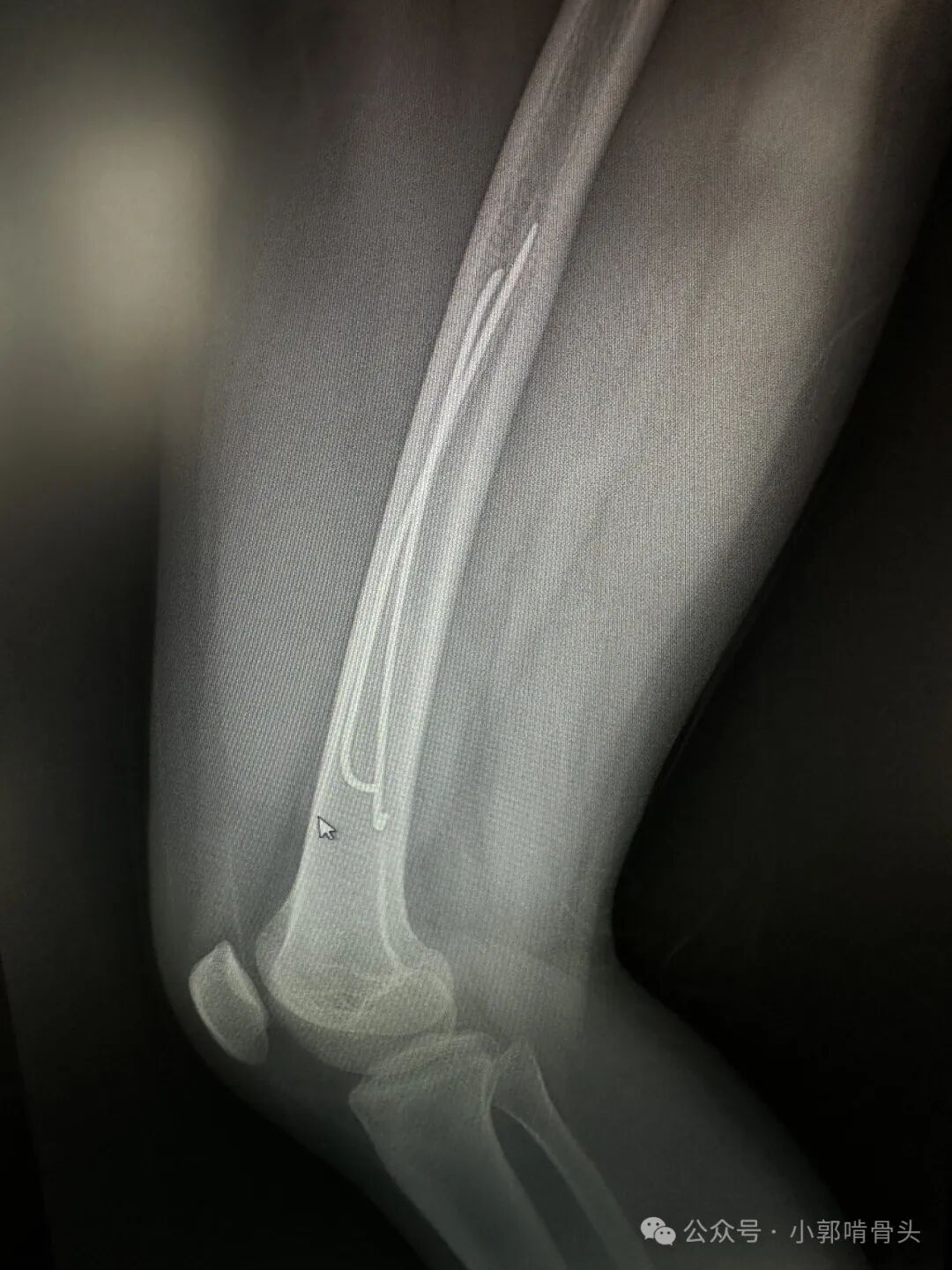
活久见:3岁股骨弹性髓内钉15年后的样子!
3岁因股骨干骨折行弹性髓内钉治疗,15年一直未取,现局部钉尾处不适要求取出。推测股骨长长的潜力是否近端优于远端。
友情链接: