#口腔种植
资讯 43
课程 55
套餐 4
直播
种植体稳定性相关因素的临床分析!
种植体稳定性相关因素的临床分析!
种植体基台选择的六要素!
种植体基台选择的六要素!
缺牙很久了,还能种植牙吗?
缺牙很久了,还能种植牙吗?
种一颗牙要承受多少“创伤”?
种一颗牙要承受多少“创伤”?
种植牙手术椅旁助手术前、术中、术后操作流程!
种植牙手术椅旁助手术前、术中、术后操作流程!
上颌窦植骨种植的修复设计!
上颌窦植骨种植的修复设计!
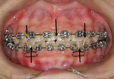
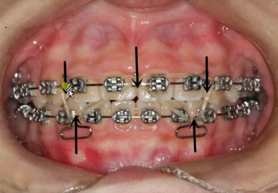
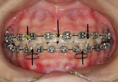
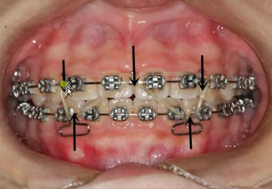
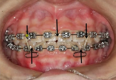
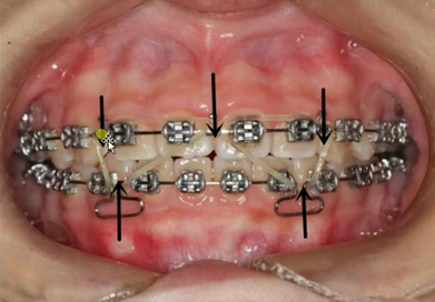
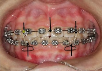
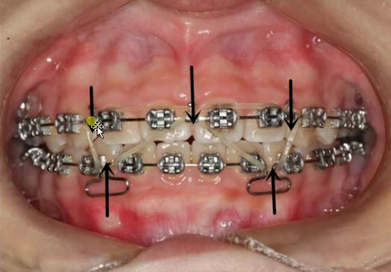
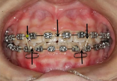
Ⅲ类牵引临床应用时的一些建议!
Ⅲ类牵引——颌间牵引的三类牵引方式之一,其他两种分别是Ⅱ类牵引和垂直牵引。
种植牙集采,踩了谁的奶酪?
种植牙集采,踩了谁的奶酪?
种植体支抗植入术知情同意书!
种植体支抗植入术知情同意书!
口腔医生常用的愈合基台,你真的会选择吗?
口腔医生常用的愈合基台,你真的会选择吗?







