#显微外科
资讯 31
课程 258
套餐 3
直播
关于举办国家级继续医学教育项目超级显微外科操作技术及其在皮瓣外科的临床应用培训班的通知
关于举办国家级继续医学教育项目超级显微外科操作技术及其在皮瓣外科的临床应用培训班的通知
毫厘之战,血管缝合及吻合的「武功秘籍」!
毫厘之战,血管缝合及吻合的「武功秘籍」!
2023年度显微外科学领域七大进展 | 年度进展
2023年度显微外科学领域七大进展 | 年度进展
图文结合:断指再植的手术技巧!
图文结合:断指再植的手术技巧!
图文详解:穿支皮瓣的解剖与进展!
图文详解:穿支皮瓣的解剖与进展!
三种寻找上臂桡神经的实用方法,高清图解!
三种寻找上臂桡神经的实用方法,高清图解!
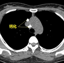
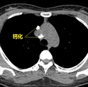
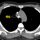
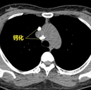
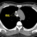
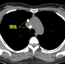
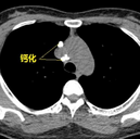
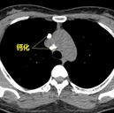
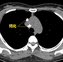
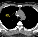
钙化在MRI上都是低信号吗?
钙化在MRI上都是低信号吗?
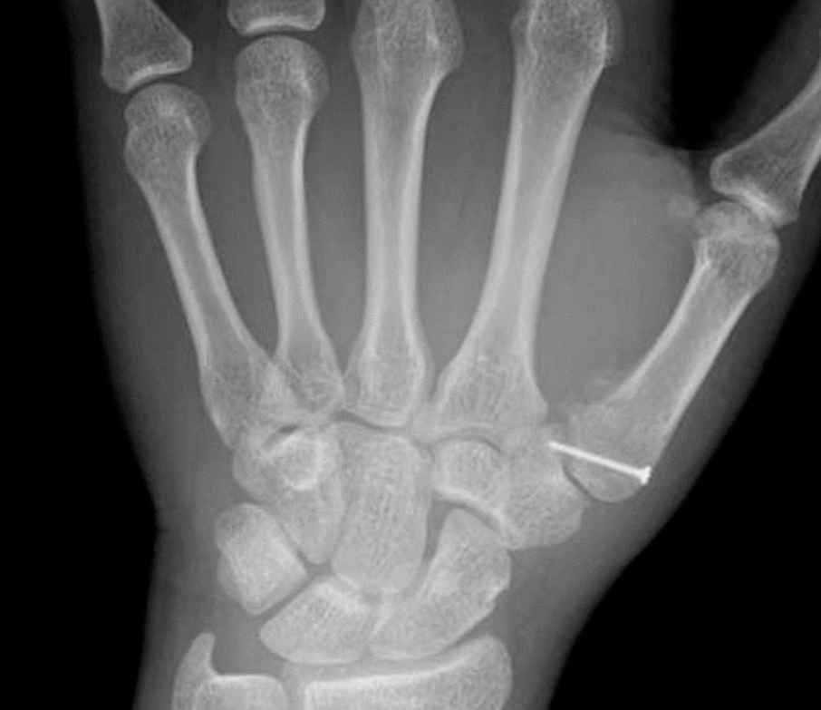
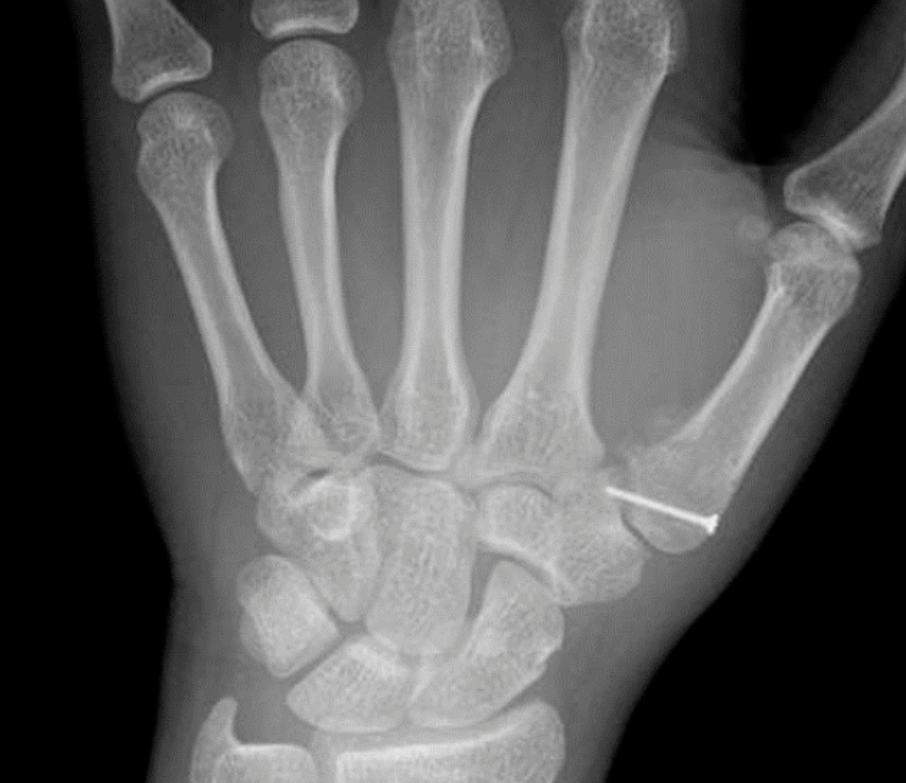
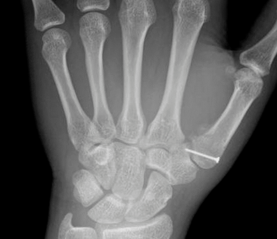
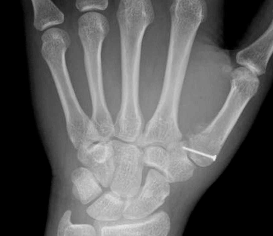
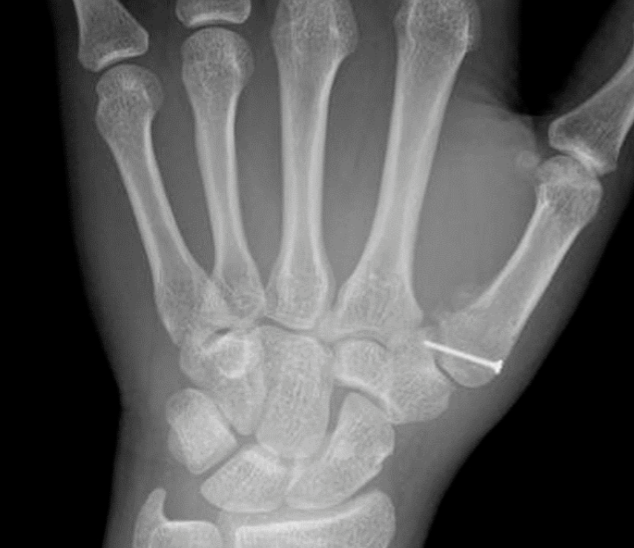
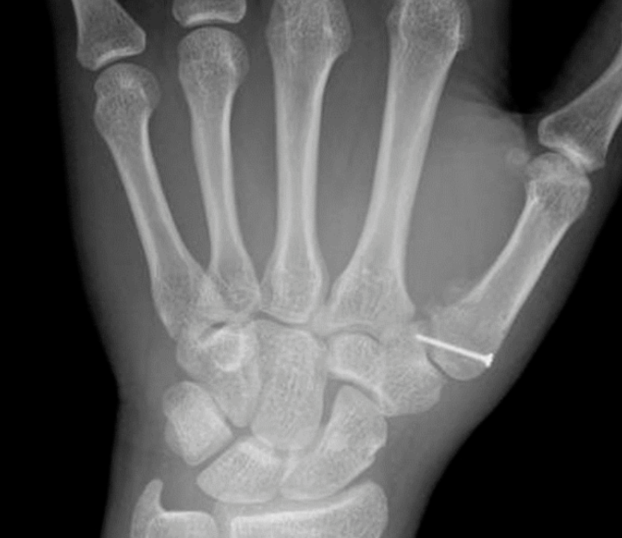
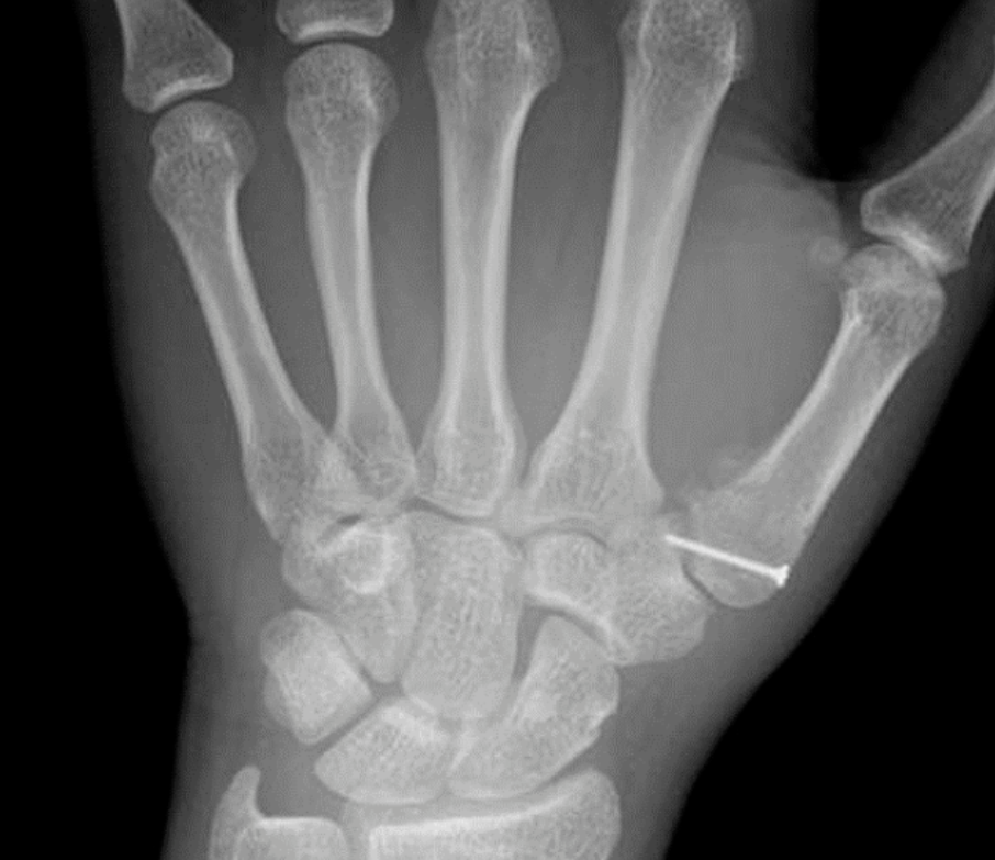
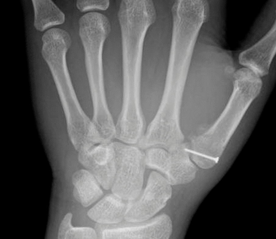
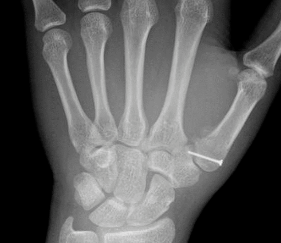
这些腕与手的骨折X线片如果没有标注箭头,你还能识别出来吗?
这些腕与手的骨折X线片如果没有标注箭头,你还能识别出来吗?
小腿内侧皮瓣的临床应用,你学会了吗?
小腿内侧皮瓣的临床应用,你学会了吗?
皮瓣修复指尖损伤的手部,技巧汇总!
皮瓣修复指尖损伤的手部,技巧汇总!




