搜索
学习中心
登录
首页
/
骨科精读
/
这些腕与手的骨折X线片如果没有标注箭头,你还能识别出来吗?
/
这些腕与手的骨折X线片如果没有标注箭头,你还能识别出来吗?
2023-06-25 11:20:38
9935浏览
这些腕与手的骨折X线片如果没有标注箭头,你还能识别出来吗?
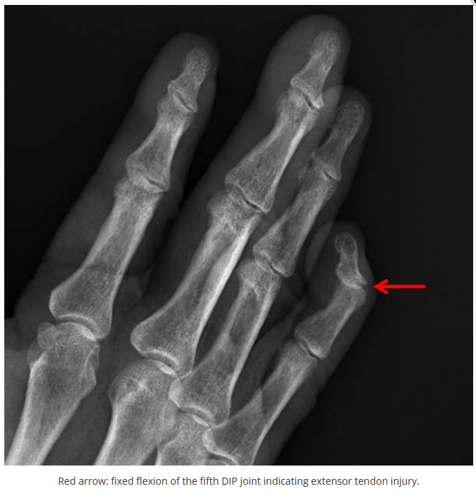
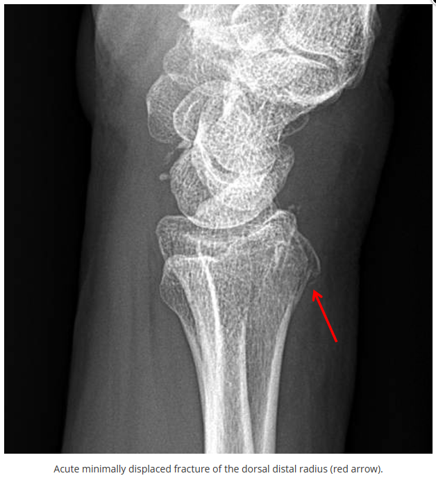
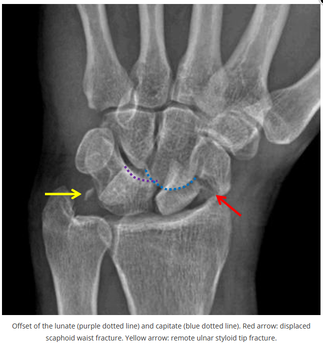
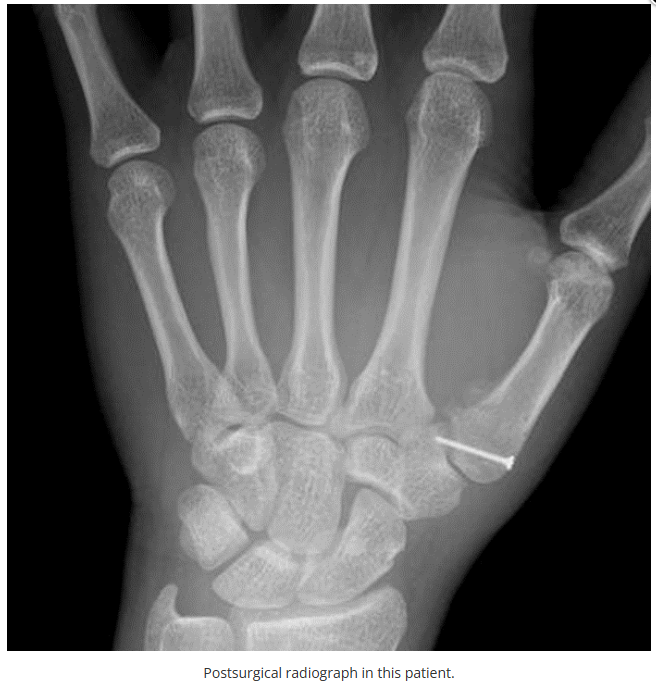
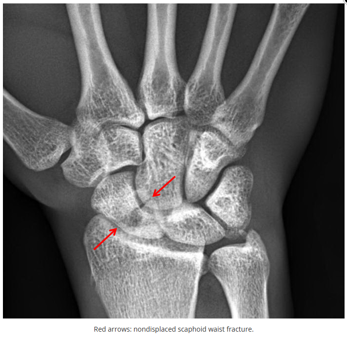
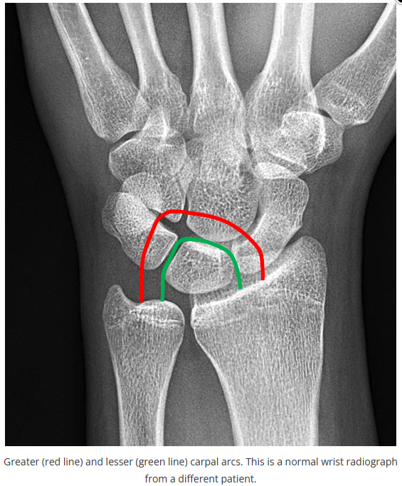
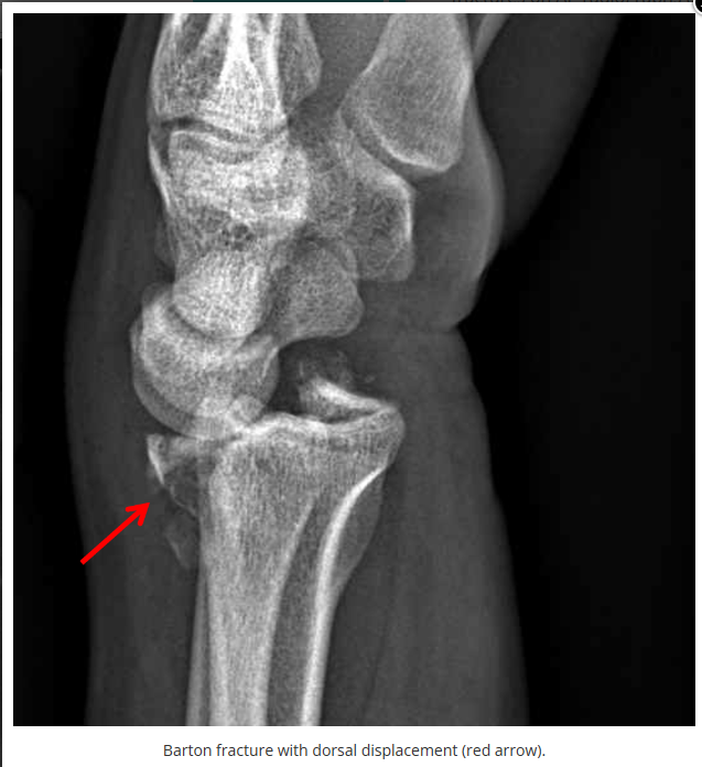
X线读片是骨科医生的基本功。
今天是腕部与手的X线片。所有X线片都
带有标注和说明
,可以选择长按图片,
自动翻译相关说明
。
进阶篇
内容来源于内固定学习平台!
友情链接: