#口腔正畸
资讯 89
课程 25
套餐 5
直播
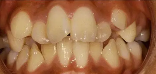
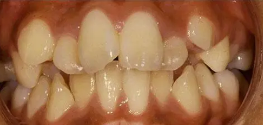
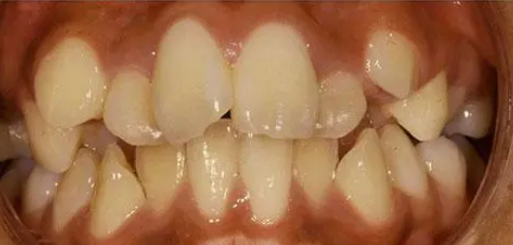
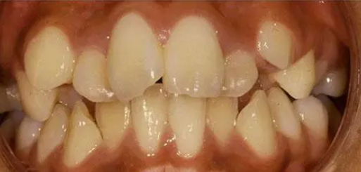
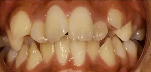
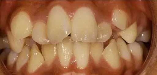
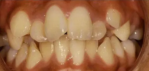
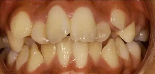
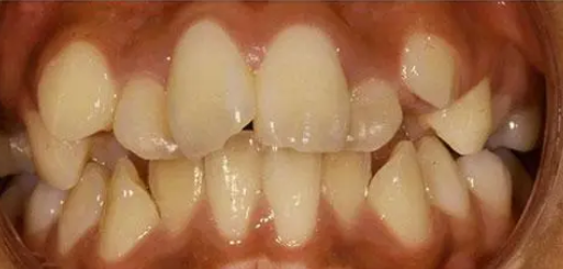
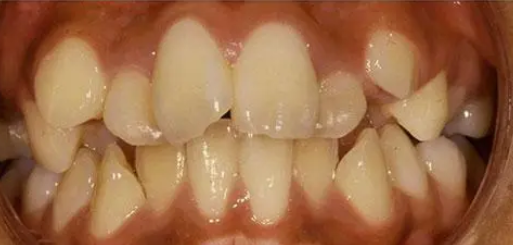
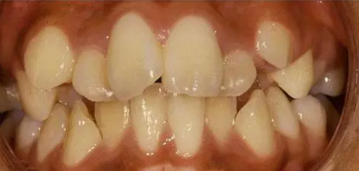
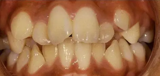
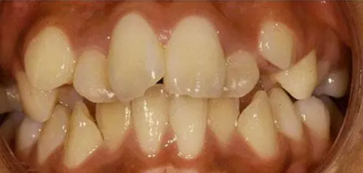
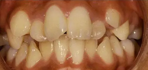
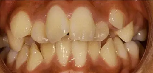
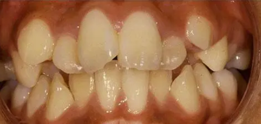
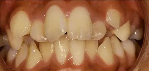
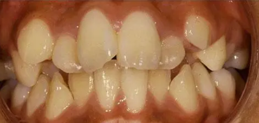
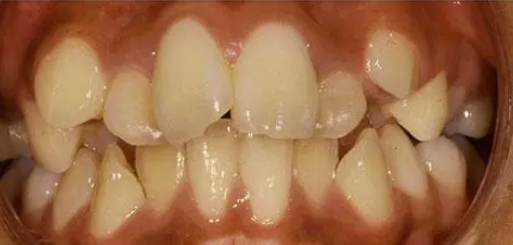
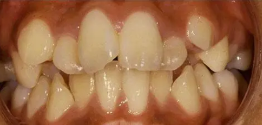
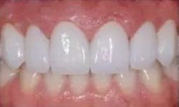
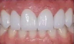
骨量与牙量不调的正畸矫正!
骨量与牙量不调的正畸矫正!
正畸怎么贴托槽?
正畸怎么贴托槽?
矫治器不贴合的问题与处理!
矫治器不贴合的问题与处理!
正畸临床上不同情况下的最适矫治力!
正畸临床上不同情况下的最适矫治力!
口腔小技巧 | 正畸临床操作容易出现的问题和解决方法!
正畸临床操作容易出现的问题和解决方法!
牙齿矫正的这几个最佳时机,一定不能错过!
牙齿矫正的这几个最佳时机,一定不能错过!
5mm大牙缝原来是这样合拢的!
5mm大牙缝原来是这样合拢的!
正畸临床操作容易出现的问题和解决方法!
正畸临床操作容易出现的问题和解决方法!
牙齿矫治过程中的3大陷阱!
牙齿矫治过程中的3大陷阱!
做牙齿矫正你需要知道的事!
做牙齿矫正你需要知道的事!








