首页/口腔小技巧/牙齿矫正的这几个最佳时机,一定不能错过!/
牙齿矫正的这几个最佳时机,一定不能错过!
2023-08-11 10:46:53832浏览
牙齿矫正的这几个最佳时机,一定不能错过!

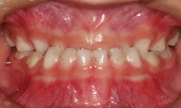
潇潇(化名)今年11岁了,换牙之后牙齿就不整齐,门牙有点龅,时间长了都不敢张口大笑,怕别人看见嘴里乱七八糟的牙齿。妈妈老早就说要带她去矫正牙齿,可是,到底什么时候开始矫正是最佳时机呢?如果错过了最佳时间,是不是矫正效果会不好?

做矫正要等牙齿换完?视情况才能定!

我们经常听到有人说,做矫正要牙齿换完之后才能开始,这句话只说对了一半,具体问题具体分析,根据牙齿不齐的情况不同,矫正的时机也有差别。

 乳牙期 

首先乳牙期,儿童从六个月时第一颗乳牙开始萌出,到两岁半左右,乳牙全部萌出。那么从两岁半到六岁左右(第一磨牙也叫六龄牙萌出)我们称之为乳牙期,年轻的爸爸妈妈们需要注意的是幼儿有无“地包天”,有无一些不良习惯如吮指(正常情况下儿童3岁之后会慢慢改掉)。这个时期的矫正原则是早发现早治疗,如地包天一经发现,在患儿能配合的情况下及早开始矫治。

 替牙期 

随后替牙期,孩子开始换牙,这个时期应该定期到医院检查,观察是否存在上下颌骨位置关系不调(如下颌后缩,地包天等),同时需要解决的问题还包括个别牙反合,不良习惯如张口呼吸、咬下唇、咬手指、咬物等。早期解决不良习惯,能够避免一些牙齿错合的出现。

 青少年 

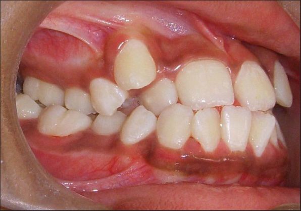
当牙齿大部分或全部替换完成之后,这时候牙齿和颌骨存在的问题几乎全部表露出来,上颌前凸、下颌后缩、牙齿拥挤不齐,牙齿错位,龅牙,牙齿间存在间隙、地包天、咬合关系不佳等问题都需要解决,最常见的方式是固定矫正即“戴牙套”,现在矫治器种类也多种多样,根据不同的需要可以选择。

 成年人 

尽管成年人矫治相对于青少年来说可能存在牙体、牙周等疾患,骨改建速度变慢,矫治时间相对会长一些,但成人的理解能力和配合度比青少年要好,对于想要变美的成年患者来说,这种付出是值得的。毕竟,种一棵树最好的时机是十年前,其次是现在,不是吗?

我们可以看到,虽然许多错颌畸形需要在牙齿大部分替换完成才开始矫治,但对于“地包天”和不良习惯,矫正原则是只要患者能够配合,矫正越早越好;骨性问题最好在生长发育高峰前1年开始,不拘泥于牙齿是否换完成;成年人只要牙周健康,也是可以进行矫正的。

友情链接: