首页/骨科精读/图文结合:足踝部常见X线测量技巧,赶紧收藏!/
图文结合:足踝部常见X线测量技巧,赶紧收藏!
2022-04-20 18:18:451.6万浏览
图文结合:足踝部常见X线测量技巧,赶紧收藏!

现状及不足

  • 足踝部骨骼、关节多,参照点多—测量值多
  • 反应同一疾病或病理改变的测量值多
  • 投照方法、参照点、测量仪器不同—同一测量值有不同测量方法和结果
  • 许多测量值可重复性不佳,可信度不高
  • 许多测量值缺乏大宗、科学的统计,数值不一



腓骨短缩测量


胫距角talocrural angle:通过在踝穴位X线片上测量内、外踝尖端连线与胫骨远端关节面平行线的夹角。正常值为8~15°,与健侧相差3°以上即表示有腓骨短缩。




三角韧带损伤


内踝间隙medial clear space如果在前后位或踝穴位X线片上测得内踝与距骨的间隙(medialclear space)大于4mm,无论X线片是否是在应力下拍摄,都表示有三角韧带的损伤



下胫腓联合分离


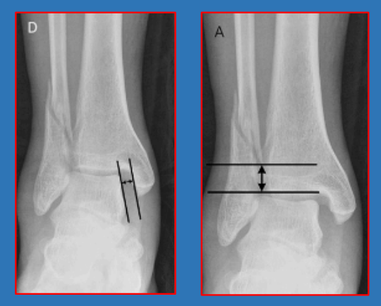
胫腓间隙、重叠,胫腓间隙在前后位上大于6mm或胫腓重叠在前后位上小于6mm、在踝穴位上小于1mm,即表示存在下胫腓联合的分离。



踝穴宽度 D线在距骨关节面下方5mm处,平 行于距骨关节面,与胫骨、腓骨相 交于a、b、c、d四个点 、踝穴宽度=ab-cd 、正常范围2~6mm。



在旋后外旋SER类型中:内踝间隙>4.5mm、骨折高度>7mm



外侧韧带损伤


距骨倾斜角Talar Tilt:应力内翻时胫骨远端,关节面平行线与距骨近端关节面平行线夹角。

  • 正常0~5°
  • 15°-距腓前韧带;
  • 15-30°-距腓前+跟腓韧带
  • >30°-距腓前+跟腓+距腓后韧带(Bonnin)

与健侧比较



距腓前韧带


胫骨关节面后缘与距骨滑车关节面间距离:

  • 正常:0~3mm

  • >6mm有距腓前韧带损伤

  • <6mm但>健侧3mm,怀疑损伤



胫骨远端力线异常-LDTA


胫骨远端外倾角Lateral distal tibialangle,LDTA:正位片上,胫骨远端关节面平行线与胫骨干轴线的夹角:正常86~92°,平均89°





问题:下肢力线或踝关节的畸形(LDTA)可由距下关节一定范围内(15°外翻,30°内翻)代偿,距下关节代偿性的内外翻以供跟骨垂直着地。纠正LDTA后,距下关节、跟骨?


后足力线hindfoot alignment


长轴位long axial view,术中易获得。



后足力线位(改良Saltzman位)hindfoot alignment view,能更好暴露踝关节,术中难获得。



跟骨长轴的判断:Cobey法



正常后足力线:跟骨与胫骨干长轴平行,两轴线间垂直距离5-10mm,两轴夹角为跟骨内外翻角。



判断代偿是否可复,最大应力外翻test



胫骨远端力线异常—ADTA


胫骨远端前倾角Anterior distal tibialangle,ADTA:侧位片上,胫骨远端关节面平行线与胫骨干轴线的夹角正常80±2°




问题1:ADTA异常及纠正后,距骨(足)相对胫骨位置改变,需要判断并调整



问题2:ADTA减小者,长期靠踝关节(跖屈40°~背伸20°)跖屈代偿,维持跖行。后方(跟腱)常有挛缩,纠正ADTA后,可能不能跖行。




10 胫距(胫距跟)关节融合角度考虑


1,后足内外翻中立位或轻度(0~10°)外翻位——后足力线片

2,轻度(0~5°)外旋——足负重正位第二跖骨

3,背伸中立位——足负重侧位胫骨干轴与足底水平线垂直(胫骨足底负重面角)

4,距骨无前后移位——机械轴



11 后足—Haglund's deformity


后跟骨角/Fowler和Philip角(Fowlerand Philip angle,FPA):指跟骨外后上斜面与跟骨下表面切线之间的夹角,正常值范围为44~69°,≥75,65?为异常。



后跟全角(posterior heel total angle,PHTA):跟骨外后上斜面与水平线的夹角:正常值范围为64~89°,≥89°为异常,考虑了α角(pitch angle),即足弓异常。



12 后足—Bǒhler,Gissane角


Gissane角:120~145°、Bǒhler角:25~40°,反映距下后关节面塌陷程度,复位判断标准之一。




注意双影征:距下后关节部分塌陷,Bǒhler角,Gissane角可能正常,但可以在侧位片中看到双高密度影


13 后足—跟骨倾斜角


跟骨倾斜角calcaneal pitch angle/heel pitch angle,HPA/calcaneal inclination:负重侧位片中跟骨下表面最低两点连线与水平线的夹角


正常范围:10~30°。对足弓判断较为敏感,特异性也较高<10°平足,>30°弓形足




14 后足—侧位距跟角


侧位距跟角lateraltalocalcaneal angle:负重侧位距骨长轴与跟骨下表面切线的夹角

正常:35~55°。用来判断足内外翻。




15 后足—正位距跟角


正位距跟角AP talo-calcaneal angle:负重正位跟骨长轴与距骨长轴间夹角。距骨长轴:通过距骨头和颈中心的连线(前关节面内外缘连线中点的垂线);跟骨长轴:通过跟骨前关节中点和后结节中点的连线(前结节外侧壁延长线)


正常:15~35°,平均21°。通常用来判断足内外翻程度




16 中足—内侧楔骨/第五跖骨高


内侧楔骨/第五跖骨高the medial cuneiform to fifth metatarsalheight:负重侧位内侧楔骨最低点水平线与第五跖骨最低点水平线垂直距离


范围:变异较大,常与对侧对比,评估足弓塌陷的指标



17 中足—足弓角


1,内弓角:113~130°

2,外弓角:130~150°

3,前弓角:13°

4,后弓角:16°

意义:扁平足时内外弓变大,前后弓变小;高弓足相反


18 中后足—距舟覆盖角


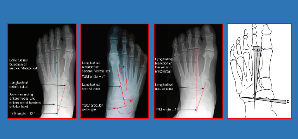
19 前后足—侧位距骨第一跖骨角

—侧位距骨第一跖骨角lateral talo-first metatarsal angle,meary‘s angle:侧位X线片上距骨轴线和第一跖骨轴线的夹角。反映前足和后足的对线关系,常用来评价足内侧足弓畸形,其交点可用来确定中足塌陷的部位。

正常范围:±4°(交于跖侧为正)。应用广泛。

4~15°轻度平足

15~30°中度平足

>30°重度平足




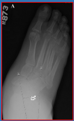
20 前后足—正位距骨第一/第二跖骨角






21 前足—拇外翻


拇外翻角Hallux valgus angle,HVA(metatarsophalangeal angle,MTP-1)

正常 < 15°

轻度 < 20°

中度 20°~40°

重度 > 40°



第一、二跖骨间角Intermetatarsalangle,IM 1-2

正常 < 9°

轻度 9°~11°

中度 11°~16°

重度 > 16°



跖骨远端关节角(DMAA)正常<8°





22 前足—跖骨长度


跖痛症

转移性跖骨痛

Freiberg病




23 前足—拇趾跖趾间角


第一跖骨与踇趾近节趾骨轴线夹角,正常:18°

意义:扬趾畸形变大,垂趾畸形变小或为负



友情链接: