首页/口腔小技巧/慢性根尖周炎,这三个知识点一定要掌握!/
慢性根尖周炎,这三个知识点一定要掌握!
2023-08-18 10:22:393298浏览
慢性根尖周炎,这三个知识点一定要掌握!

慢性根尖周炎一般无疼痛症状,其病变类型有慢性根尖周肉芽肿、慢性根尖周脓肿和慢性根尖周囊肿等。

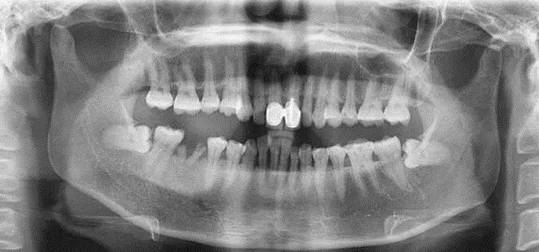
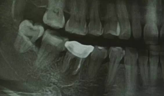
慢性根尖周肉芽肿慢性根尖周肉芽肿是根尖周组织受到轻微的感染刺激后产生的一团炎性肉芽组织。它是慢性根尖周炎的主要病变类型。一般无疼痛症状,有时有咀嚼乏力或不适。患牙多有深龋,牙髓多已坏死,牙齿变色,失去透明度,对冷、热诊及电诊均无反应,叩痛(—),但有时有异样感或叩痛,X线片示:有根尖周的骨质破坏区,即围绕根尖部的圆形或椭圆形边界清楚的透射区。

慢性根尖周脓肿慢性根尖周脓肿是慢性根尖周肉芽肿中央的细胞坏死、液化形成的脓肿;或急性根尖周脓肿处理不彻底,根尖部潴留的脓液被周围纤维结缔组织包绕而形成的。无窦型慢性根尖周脓肿症状与慢性根尖周肉芽肿大致相同,多无自觉症状。有窦型慢性根尖周脓肿患牙根尖部的颊、唇侧可见窦道口,窦道口也可能开口于远离患牙的位置,应仔细检查。X线片示:根尖部边界模糊的透射区,透射区周围骨质也较疏松。

慢性根尖周囊肿慢性根尖周囊肿是由慢性根尖周肉芽肿或慢性根尖周脓肿发展而来的。根尖囊肿生长缓慢,多无自觉症状。牙体可变黄色或深灰色,且无光泽,叩诊可有不适感,对冷、热诊及电诊均无反应;囊肿大小不等,发展较大时,可见根尖部相应软组织膨隆,表面不红,扪压富于弹性,有乒乓球感;囊肿过于肥大时,周围骨质被压迫吸收,可引起牙齿松动,或压迫邻牙使牙根吸收或邻牙移位。X线片示患牙根尖有圆形透射区,边界清楚,周围有白线围绕,此为诊断的重要依据。较小的根尖周囊肿与根尖周肉芽肿不好区分,大的根尖周囊肿应与颌骨囊肿及造釉细胞瘤相鉴别。

根尖脓肿、根尖肉芽肿、根尖囊肿的比较自觉症状根尖脓肿:多无明显的自觉症状,部分患者有咀嚼不适或咀嚼痛,检查时患牙轻叩痛。根尖肉芽肿:多数无明显症状。有叩痛。咀嚼乏力或不适,偶有疼痛。根尖囊肿:多无自觉症状。根尖脓肿:来源由急性牙槽脓肿经处理或自行穿破引流后未彻底治疗所致,由根尖肉芽肿发展而来。根尖肉芽肿:炎性牙髓或坏死牙髓感染扩散,经根尖孔轻微缓慢刺激根尖周组织。根尖囊肿:常继发于根尖脓肿或根尖肉芽肿。临床其他表现根尖脓肿:常有窦管形成者,可见患牙相对应的黏膜或皮肤上有肉芽状外观的窦口,时有脓液排出。患者多伴龋坏。根尖肉芽肿:患牙多有深龋或由于牙髓坏死致牙变色和失去光泽。根尖囊肿:根尖囊肿常和一死髓牙相连,由于牙髓已坏死,牙体无光泽,呈黄色或灰色。肿块所在部位根尖脓肿:根尖区牙周膜内根尖肉芽肿:根尖区牙周膜内根尖囊肿:颌骨内

友情链接: