首页/牙周病学/牙周脓肿与牙槽脓肿怎样区分?/
牙周脓肿与牙槽脓肿怎样区分?
2023-05-15 16:19:174671浏览
牙周脓肿与牙槽脓肿怎样区分?

牙周脓肿与牙槽脓肿有时候在临床工作中会难以鉴别;

当诊断错误时接下来的治疗恐怕也难以达到一个好的效果,怎么去区分怎么去治疗,接下来就一起看一下。

牙槽脓肿是急性根尖周炎的一种表现形式。

症状:

持续性剧烈跳痛;患牙明显感觉伸长,咬合加重疼痛;严重还会有乏力、全身发热症状;

临床检查:

牙髓无活力,温度测试无反应;叩诊(+++),III度松动,相应部位牙龈红肿、扪痛。

牙槽脓肿会表现出三个阶段,临床表现:


1、根尖周脓肿:自发持续性剧烈跳痛,伸长感加重,触痛重,叩诊(++),松动II-III度;


患牙根尖部相应的唇颊、颊侧牙龈潮红,扪诊疼痛、肿胀不明显。


2、骨膜下脓肿:上述症状加重,患者痛苦面容,根尖区牙龈肿胀明显,移行沟变平;


扪痛并有深部波动感,区域淋巴结肿大、压痛,全身不适,体温升高(最严重的一个阶段)。


3、粘膜下脓肿:上述症状明显减轻,相应根尖部牙龈肿胀局限,呈半球状隆起;


叩诊(++),扪诊波动感明显,全身症状缓解。

  发展过程:

最初脓肿在根尖部聚集→根尖脓肿阶段→炎症发展,脓液增多→根尖压力增大同时炎症使牙槽骨内板破坏→脓液进入骨髓腔→穿过骨松质到达牙槽骨外板→通过骨皮质上的营养孔;

到达骨膜下→骨膜下脓肿→骨膜破裂,脓液进入粘膜下或皮肤下→粘膜下脓肿→粘膜上形成瘘管口 。

诊断要点:


1、自发持续性剧烈疼痛,定位明确。

2、叩诊(+++),松动III度,患牙根尖部牙龈红肿,扪痛或有波动感。

3、患牙有牙体疾病、深牙周袋、咬合创伤等致病因素存在,牙髓多为活力。

4、x线片检查无明显改变或仅有牙周间隙增宽;若为慢性根尖周炎急性发作者,则可见根尖部牙槽骨破坏的透射影像。

治疗:

1、开髓引流(迅速解除疼痛,阻止炎症发展):急性根尖周炎开髓后;

去除髓腔及根管内大部分感染物或阻塞物,疏通根管,建立根尖周组织炎性渗出物经根管向冠方引流的通道。

如果根管内没有明显渗出和脓液流出,可以直接在髓腔内封药,暂封物封闭开髓洞待急性炎症缓解后再完成根管治疗。

如果同时伴随切开引流,则不必开放髓腔;

可于髓室或根管内放置消毒药物后,暂封窝洞,后续再行根管预备和根管充填。

2、切开排脓:骨膜下或粘膜下脓肿期,脓肿成熟后则应切开排脓,切开排脓的时机急性炎症的第4-5天,局部有波动感。

3、调磨患牙、减轻功能:调磨患牙,降低咬合,减轻疼痛;

4、消炎止疼、辅助治疗:口服或注射抗生素或止疼药物,以加速症状的消退。

5、根管治疗术

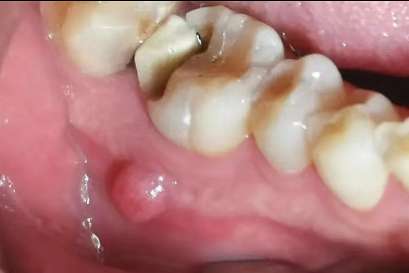
牙周脓肿是牙周炎发展到晚期,出现深牙周袋后的常见症状

它位于牙周袋壁或深部牙周结缔组织中的局限性化脓性炎症,一般为急性过程。

临床表现:

1、牙周脓肿:

WINTER

一般为急性过程,并且可以自行破溃排脓和消退,若不积极治疗,或反复急性发作,可以成为慢性牙周脓肿。

2、急性牙周脓肿:

WINTER

发病突然,在患牙唇颊或舌腭侧形成半球状的肿胀突起。

牙龈发红、水肿,表面发亮。肿胀早期,炎症浸润广泛,疼痛较明显,可有搏动性跳痛;

因牙周膜水肿,而使患牙有“浮起感”;肿胀后期,脓液局限,肿胀表面较软,扪诊有波动感,疼痛稍减轻。

3、慢性牙周脓肿:

WINTER

若急性期过后未及时治疗,或反复急性发作所致。

一般无明显症状,可见牙龈表面有窦道开口,压时有少许脓液溢出,叩痛不明显。


治疗:(消炎止痛,防止感染扩散以及使脓液引流)

Law

1、在脓肿初期脓液未形成前,可以清除大块结石,冲洗牙周袋,将防腐抗菌药引入袋内,必要时全身给与抗生素或支持疗法。

2、当脓肿形成且局限,出现波动是,可以进行引流,切开引流后的数日嘱患者用淡盐水或氯己定等含漱。

3、对于患牙挺出而咬合接触疼痛者,可将明显的早接触点调磨,使患牙获得迅速恢复的机会。

4、慢性牙周脓肿可在洁治的基础上直接进行牙周手术。

根据不同情况,做脓肿切除术,或翻瓣手术。     

内容来源于极周在线!

友情链接: