牙周脓肿与牙槽脓肿怎样区分?
牙周脓肿与牙槽脓肿怎样区分?
牙髓息肉的治疗方法,重点速览!
牙髓息肉的治疗方法,重点速览!
专家深度讲解:牙冠延长术,赶紧收藏!
专家深度讲解:牙冠延长术,赶紧收藏!
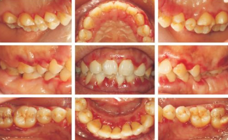
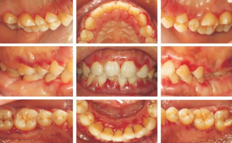
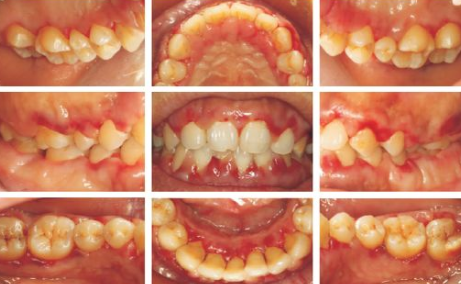
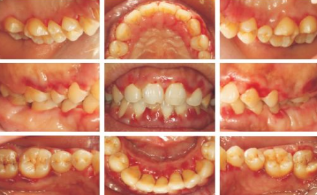
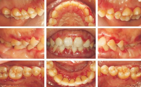
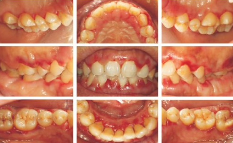
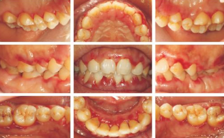
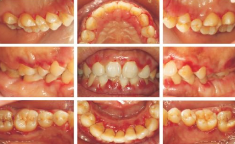
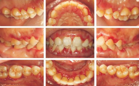
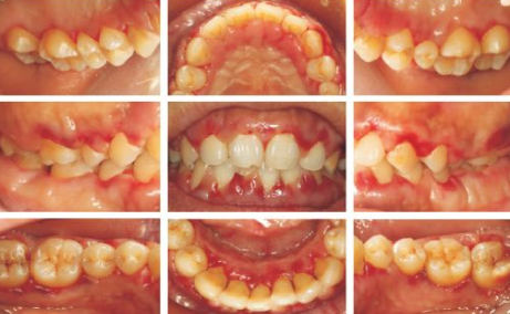
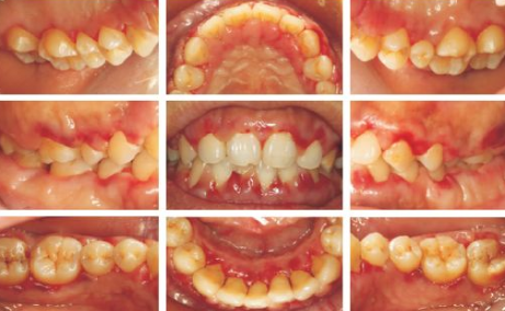
牙周科门诊发现急性白血病2例,口腔临床该如何诊断白血病?
牙周科门诊发现急性白血病2例,口腔临床该如何诊断白血病?
术前多读片,拔牙阻力才不会变压力!
拔牙一定要做术前评估吗? 我们能经常看到因为拔智齿而上新闻的事情,可能在大家心里,拔智齿只需要打一针麻药,然后拔掉需要拔掉的智齿就可以了,然而,拔牙真的这么简单吗?
患者麻醉后拔牙死亡,神经源性休克到底是什么?
神经源性休克是指由于强烈的神经刺激,如创伤、剧烈疼痛等引起某些血管活性物质如缓激肽、5 -羟色胺等释放增加,导致周围血管扩张,大量血液淤滞于扩张的血管中,有效循环血量突然减少而引起的休克。
老人牙疼挂水死亡,给老人看牙这些事项一定要注意!
随着年龄的增大,老人的口腔环境呈不断恶化趋势,牙体组织老化、牙周炎严重,甚至部分老人还伴有高血压、心脏病、糖尿病及骨质疏松等多种全身疾病。在这种情况下,给老人看牙,难度与风险在大大增加。
拔牙的禁忌症,建议所有牙医收藏熟记!
作为口腔医生,拔牙手术是很日常的口腔诊疗工作,拔牙手术虽小,但若不加注意,会惹出很大的麻烦,甚至有生命危险,本文总结这几条拔牙禁忌症,建议收藏。
牙医注意:利多卡因临床副作用要警惕!
利多卡因是我们临床局麻时最常用药物,目前临床上对该药使用前的药敏试验尚未形成共识。现使用利多卡因前并未做皮肤过敏实验,并且使用率高,因而其引发的过敏等不良反应也日渐增多。 鉴于目前利多卡因的使用现状,详细了解利多卡因的相关知识也变得尤为重要。
警惕!双氧水冲洗口腔疮口引发脑血栓!
双氧水虽用途广泛,但操作不当可引起皮下气肿,乃至上述颅脑气肿,据观察,好像上颌牙易发生。这可能与气体的性能有关,“气往上升”,上颌牙操作容易将其带入组织,形成气泡在皮下滞留。这也是一次教训,与同行分享。





