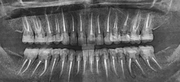
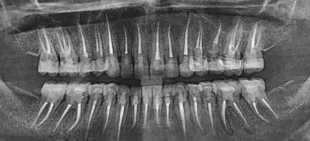
根管断针,竟然只是一种并发症?
根管断针,竟然只是一种并发症?
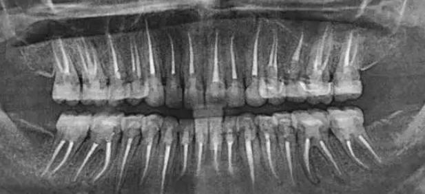
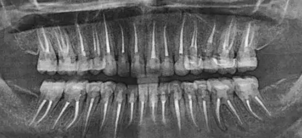
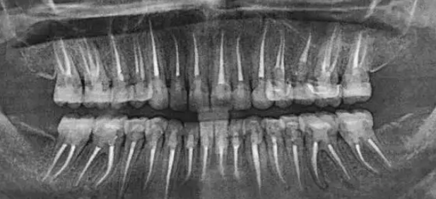
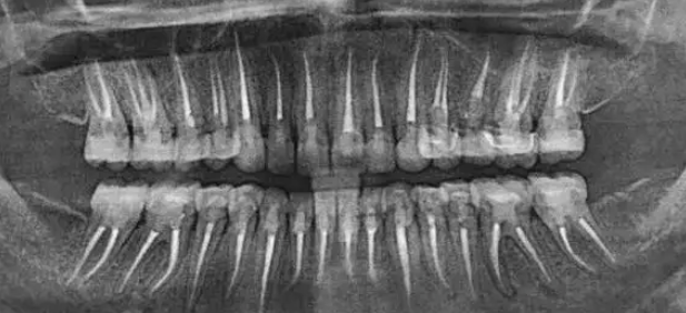
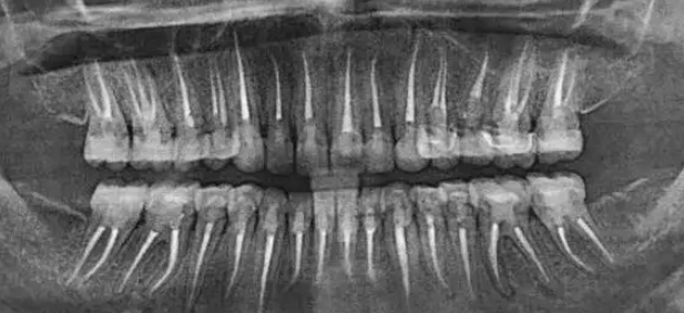
牙医需警惕:一张牙片,“救”了诊所,也救了患者!
牙医需警惕:一张牙片,“救”了诊所,也救了患者!
调𬌗的具体方法,只需四步!(附检查方法)
调𬌗的具体方法,只需四步!(附检查方法)
巧用牙胶尖,防止充填时发生超充或欠充!
巧用牙胶尖,防止充填时发生超充或欠充!
超详细的根管封药,疼痛时该如何有效处理?
超详细的根管封药,疼痛时该如何有效处理?
拔牙热知识:术前多读片,阻力牙才不会变压力!
拔牙热知识:术前多读片,阻力牙才不会变压力!
拔牙窝位点保存的方法和操作流程!
拔牙窝位点保存的方法和操作流程!
三根车针,六步完成——快速磨牙全冠预备!
三根车针,六步完成——快速磨牙全冠预备!
根管治疗常犯的五大错误操作,千万注意!
根管治疗常犯的五大错误操作,千万注意!
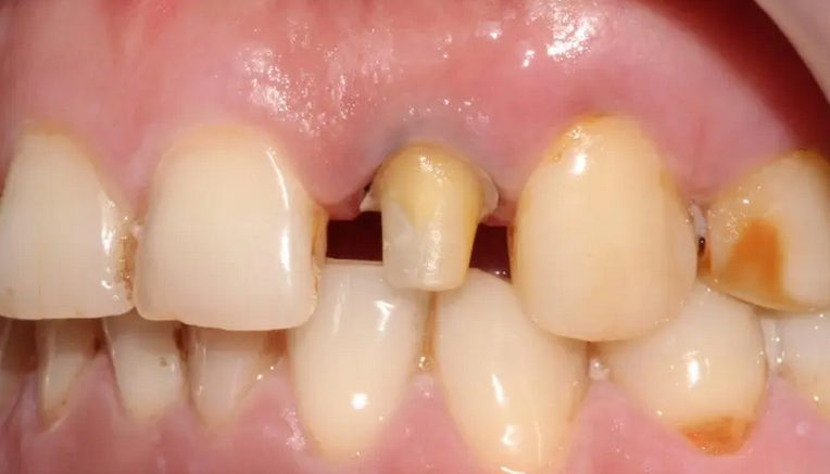
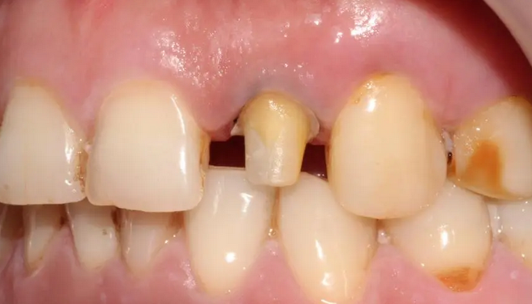
根管不做冠,早晚是后患!患者“不做冠”后牙齿劈成了两半!
根管不做冠,早晚是后患!患者“不做冠”后牙齿劈成了两半!






