首页/口腔修复/根管断针,竟然只是一种并发症?/
根管断针,竟然只是一种并发症?
2023-06-25 11:00:011806浏览
根管断针,竟然只是一种并发症?


先来看一则新闻:

看到上面这则新闻,很多人会忍不住“嘶~哈”,的确,“断针”这个词真是看得人头皮一紧,更何况还是断在牙龈里,“肉里藏针”的滋味光是想想就让人汗毛倒竖……

虽然听起来“凶险”,但必须要给大家科普一下的是:“断针”并不是医疗事故,而是属于根管治疗中一种并不十分常见的并发症。

由于根管治疗的复杂性,虽然每位医生在治疗时都会竭力避免出现这种情况,但“断针”仍然有一定的发生几率。

根管治疗作为口腔科最基础的治疗方法,可以缓解因为牙髓炎而导致的剧烈牙痛,操作过程中表面上看只是补了一个牙,实际上牙医做的事情远比补牙复杂!

今天,我们就来聊聊根管治疗中让人“嘶~哈”不已的“断针”到底是怎么回事?

一、为什么会出现断针的情况?

1、操作人员的操作

问题临床上具有操作人员因为对根管系统的了解还不够完善,也不够了解操作器械的特点与正确的操作手段。因为有大概一半的牙根尖孔并不处于根尖,而会偏向一侧。很容易由于摄X线片没有达到根尖位置,但是操作人员若强行向根尖位置推进,造成扩大针断在根下的三分之一的位置。很多时候操作人员在进行操作的过程中因为种种原因会发生旋转或者加压过大的情况。但是相关的研究表明,垂直施力大或者是在器械工作之前就施加垂直作用的压力会导致器械的转矩提升,容易造成器械断裂。

根管冲洗能够有效润滑根管壁,降低器械折断问题,可是这种优势很容易被忽视。有时因为扩大针的使用次数比较多,没有尽早发现存在的损坏情况,导致断针现象。所以想要防止这种问题的出现可以对扩大针的使用频率进行明确,防止这种问题的出现。

2、根管的特点

根管存在共性也因为个体差异存在其独特性,因为个体之间的区别,继发牙本质形成和管周牙本质的生长还有牙本质小管的钙化问题,会出现根管细化和钙化不通以及弯曲的情况。根管的弯曲程度比较大,也就是说弯曲的半径比较小,在对器械使用的过程中很容易发生疲劳,在操作过程中器械应力与扭转力的逐渐提升导致器械的疲劳周期减小,很容易出现折断问题。相关的研究也表明,根管的细小程度与发生断针的概率成正比例关系。

3、根管冲洗的问题

相关的机械预备与逐步的深入法能够使得根管冲洗液能够到达根管预备中的最前端,因此在临床上需要有效发挥这个优势的作用,在每个步骤完成后都要进行充足的冲洗。现阶段临床上冲洗液的种类非常多,比如30mL/L的过氧化氢液生理盐水以及2.5 g/L的替硝哇液还有150 g/L的EDTA液,另外还有52.5 g/L的次氯酸钠液等等。以上提到的冲洗液都具有其各自的优势,在这当中的150 g/L的EDTA液与52.5 g/L的次氯酸钠液对根管壁的玷污层与Ca2+具有鳌合的作用,对牙本质发挥的软化作用是比较突出的,对于根管预备具有积极作用,但是有相关的报道显示150 g/L的EDTA液在根管中滞留会被吸收,需要对这个问题重视起来。

二、发生了断针应该怎么办?

取“断针”是一项高难度的技术,存在一定的风险,即使是借助于显微镜等特殊设备,由经验丰富的医生进行操作,也无法保证一定成功。因此,面对“断针”,医生要从牙齿以及患者的整体状况来考虑最适当的处理方案。对于患者朋友来讲,如果万一遇到这种情况,首先不必过度紧张,最好能够与医生进行充分的沟通,彻底了解这个“断针”对您可能造成的影响以及影响程度,然后与医生一起,共同确定一个最适当的处理方案。

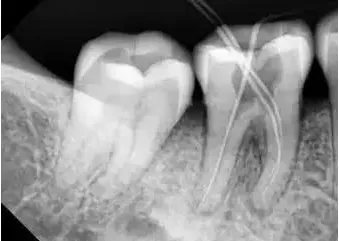
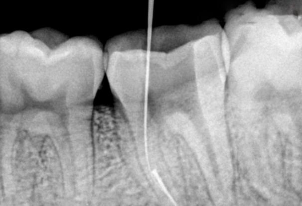
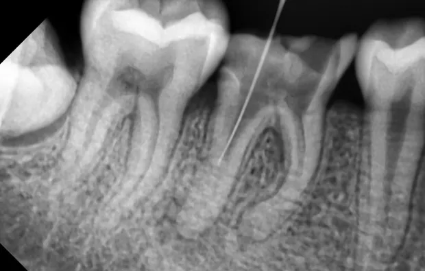
首先,发生断针的第一时间,医生会记录一些数据,包括断针的种类、型号、折断面直径、长度、折断面至标志点的距离。拍片确认根管情况。

然后准备可能会使用到的器械。P钻、扩大针、钨钢小球钻、大小针头各一(小针头可以紧密的放入大针头内)、超声锉。选择合适P钻,将P钻尖端磨成平面。用钨钢小球钻在平面中央磨出一个小洞,直径比断针折断面直径略大,深1-1.5mm。

选择小针头的时候,以针头的外径大于断针折断面直径,内径小于或等于断针折断面直径为宜。然后将小针头的尖端磨平,再从平面的中央位置纵向磨开1.5-2mm,并向两侧稍稍分离。大针头也将尖端磨平。将小针头放入。至尖端磨开处时可以卡住。然后开始操作。

先在断针冠方的根管做通畅的通道。用P钻从最小号逐号进行。一直到准备好的P钻型号。根据手感慢慢的将断针端进入磨好的小洞内,去除断针端1mm左右大部分的牙本质。

再用超声锉去除断针端周围剩余牙本质。然后将超声锉放在断针的侧面震动。以求将断针震松。运气好可以直接震出断针。将小针头慢慢放入根管,顶端的分离处慢慢套入断针,稍稍卡住。再将大针头套入小针头至顶端,慢慢卡紧,最后拔出断针。

三、断针处理注意事项:

多根管的牙齿要将其余根管口堵住

预备通道时要用大量冲洗液冲洗。

P钻的选择以尽量避免切削过多的牙本质为主。

这个方法适用于折断面在根上1/3和根中1/3的器械折断,对于根尖1/3的折断器械取出有一定的困难。弯曲的根管不适用。针头的选择局限性比较大,目前还没有发现有更好的替代物。对于手感的要求较高。

虽然“断针”不属于医疗事故,但却也足够让人头疼,所以大家在在选择根管治疗的时候一定要选择正规且医疗设备先进的医疗机构,专业过硬且临床经验丰富的医生。

根管治疗是每位牙医的基本功,但不是所有牙医都棒棒哒!显微镜下根管治疗,不仅仅是准确、微创更是一位口腔医生专业过硬的医疗技术体现。

内容来源于KQ88口腔网!

友情链接: