首页/牙周病学/牙周科门诊发现急性白血病2例,口腔临床该如何诊断白血病?/
牙周科门诊发现急性白血病2例,口腔临床该如何诊断白血病?
2023-02-09 16:27:152644浏览
牙周科门诊发现急性白血病2例,口腔临床该如何诊断白血病?

白血病是一类造血干细胞的恶性克隆性疾病,由于其克隆中的白血病细胞增殖失控、分化障碍、凋亡受阻而停滞在细胞发育的不同阶段,且在骨髓和其他造血组织中均有白血病细胞大量增生累积,并浸润其他器官和组织,使正常造血功能受到抑制。

白血病患者口腔疾病主要表现为:牙龈增生肥大、苍白、边缘充血红肿,伴有自发性或继发性出血等。本文报道2例因牙周不适前来我院就诊的患者,其最后确诊为急性单核细胞型白血病和急性髓细胞白血病;强调了口腔临床表现在诊断急性白血病的重要性,以期为临床提供参考。

01病例介绍

病例1:患者女,37岁,2016-11因“牙龈肿痛半月余”来我院就诊。患者自述1个月前于我院拔除左下第三磨牙,当日发烧(最高37.8℃),自行服用替硝唑、布洛芬(具体剂量不详)后症状缓解;1周后牙龈肿痛、出血,自行口服牙周康,症状未见好转。

既往史:患者3个月前体检,各项指标未见明显异常;无全身性疾病,无长期口服药物,否认药物过敏史及家族遗传病史。

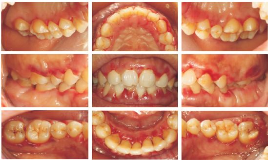
检查:全口牙龈红肿,可见出血点,龈上牙石(+)(图1)。

 图1  病例1患者口内相

血常规示:白细胞44.2×109/L,血红蛋白68g/L,血小板30×109/L,幼稚细胞61%,中幼粒细胞18%,脱幼粒细胞2%。

诊断:慢性牙周炎;血液病待查。行骨髓穿刺和实验室检查。

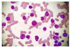
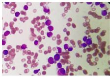
结果显示:骨髓小粒呈阳性,骨髓增生明显活跃,粒、红细胞比1.38:1;单核细胞系统异常增生(为78.5%),以原幼单核细胞为主;粒、红系细胞受抑制,分别为11%、8%,个别中幼粒细胞核浆发育失衡;巨核细胞多见,可见单固核细胞、多固核巨核细胞,而血小板少见。确诊为急性单核细胞型白血病(图2)。

 图2  病例1患者骨髓穿刺镜下观察(×100)

病例2:

患者男,69岁,2017-02因“全口牙龈肿痛4月余”。患者4个月前出现牙龈肿痛伴下颌麻木,于外院就诊并口服神经治疗药物(具体名称及剂量不详),效果不佳。2个月前曾于外院行洁牙治疗,牙龈仍明显肿痛;1周前于当地诊所因牙龈剧痛而拔除右侧后牙,拔牙创出血严重并伴头晕,牙龈肿痛持续加重。

既往史:患者烟龄60年,约3支/d;脾脏肿大,但未行相关治疗;近几月感全身乏力、头晕、食欲不振;否认药物过敏史、白血病家族史。

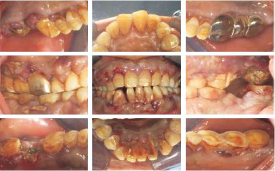
检查:血压106/71mmHg;全口牙龈肿胀且增生明显,呈苍白色,可见明显的出血斑点和坏死;软垢(++),龈上牙石(++),PD(-),BOP(+);31、41、48松动Ⅲ°,12、15、16、32、37、38、43~46松动Ⅱ°,11、13、14、21~25、36松动Ⅰ°;26~28固定义齿修复,边缘及咬合接触不良;17、47见拔牙创,愈合状况不佳(图3)。

图3  病例2患者口内相

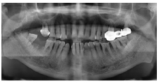
X线显示:全口牙槽骨广泛性混合吸收至根长的1/3~2/3(图4)。

血常规示:白细胞22.8×109/L,红细胞2.1×1012,血小板4×109/L,血红蛋白73.0g/L,幼稚细胞76%。出凝血时间:PT20.25s,FIB1.74g/L。

诊断:慢性牙周炎(重度);血液病待查。骨髓穿刺和实验室检查结果显示:骨髓小粒呈阳性,骨髓增生活跃;髓系原始细胞为71.5%,其细胞体积较大,细胞核呈圆形或不规则形,染色质细致,核仁大而明显(1~4个),胞质中等量,呈灰蓝色,内含细小的紫红色颗粒,POX阳性率为35%;粒系早幼粒以下阶段为11%,红细胞系受到抑制为5.5%,淋巴细胞系为8%,巨核细胞及血小板少见。确诊为急性髓细胞白血病(图5)。

图4  病例2患者曲面断层片

图5  病例2患者骨髓穿刺镜下观察(×100)

02讨论白血病患者口腔疾病的发生率较高,为40%~50%,晚期可高达90%。有研究显示,3.6%的白血病患者早期可出现牙龈肿胀和出血,且不易与临床常见的牙周炎相鉴别。在急性白血病患者中,牙龈增生是最常见临床表现,常累及牙龈乳头和游离龈,临床表现为全口牙龈肿大、呈苍白色或暗红色发绀,组织松软脆弱或中等硬度,表面光亮,并伴有牙龈组织坏死、溃疡、疼痛、口臭。随着病情发展,牙龈可有明显的出血倾向,且不易止住;在牙龈和口腔黏膜上可见出血点或瘀斑,严重者可出现黏膜坏死或牙痛;全身症状可见发热、局部淋巴结肿大、疲乏、贫血等。白血病急性期为拔牙禁忌,约有1/3的患者伴有发热、出血倾向及感染。白细胞计数小于3.0×109/L时,患者易发生细菌及霉菌等严重感染,即使用大量抗生素也难以控制;血小板计数小于50×109/L时,患者易出现血管脆性异常、凝血时间长、牙龈出血、鼻衄等症状。本病例1患者白细胞为44.2×109/L、血小板为30×109/L,除了拔牙术后出现低烧(<38℃)外,无其他明显不适;患者自行口服消炎及退烧药后症状缓解,并未出现出血不止及严重感染等迹象。通过病历查询及病史采集发现,拔牙时患者口内并未出现明显出血点等症状,较难与慢性牙周炎鉴别诊断,造成患者在白血病急性期拔牙。病例2患者2个月前曾因全口牙龈肿痛于外院行洁牙治疗后,症状未缓解;1周前于外院拔除右侧后牙,当时出现拔牙创出血严重、头晕等症状。随来我院就诊,检查发现患者全口牙龈肿胀且增生明显,呈苍白色,可见明显的出血斑点和坏死;白细胞为22.8×109/L,血小板为4×109/L。通过询问并采集病史,高度怀疑患者在行洁牙及拔牙时,已处于白血病急性发作期。由于诊断比较局限,未从全身状况考虑病情,造成了白血病病情诊治的延误,这是值得我们深思的。白血病患者口腔治疗的目的是预防感染、控制疼痛、维持口腔功能、治疗化疗并发症,从而提高患者生命质量。Haytac等研究证实,当白血病患者血象达到一定指标并掌握适当的时机,进行牙科治疗是安全的。在口腔卫生较差的白血病患者中,通常温和的牙周操作是可以允许的,如机械清除菌斑及牙石。有学者指出,白血病在急性期间为拔牙禁忌证,但在化疗间歇期、血象相对稳定、预防感染的情况下行拔牙术是相对安全的,但应注意控制出血和预防感染。杨波等研究认为,当白血病患者的白细胞为3.0~10×109/L、血小板大于50×109/L时,进行牙科治疗是安全的。本病例显示,当患者以牙龈出血为首发症状而就诊时,必须从牙周炎的程度与出血程度是否相符进行判断,同时考虑是否有血液疾病的存在;当以牙龈增生、肥大为症状时,应从牙龈色、形、质、表面及病损波及范围等临床表现以获得初步诊断。除观察患者口腔局部症状外,应进一步详细询问患者的全身症状,如呈贫血、外貌、头晕、乏力等,必要时进行相关的血液学检查。在针对白血病患者行口腔治疗时,术前、术后应密切关注其血液指标,必要时请血液科医师会诊,协助制定治疗计划。

友情链接: