首页/口腔小技巧/牙齿突然出现小黑点说明什么问题?不要不当回事!/
牙齿突然出现小黑点说明什么问题?不要不当回事!
2023-08-22 14:19:252826浏览
牙齿突然出现小黑点说明什么问题?不要不当回事!

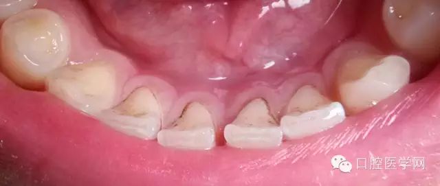
有人会发现,自己的牙齿表面突然出现一点黑点,但是也不觉得疼,是什么原因导致牙齿变黑?如果牙齿出现黑点且不痛有两种可能性。

01一种是色素沉着,如烟渍、茶渍、咖啡渍等,刷牙很难刷掉,可通过洁牙去除。

02另一种则是牙齿出现了或深或浅的龋坏,从外面看就表现为一个黑点,通常位于窝沟点隙(牙面上点状或线状凹陷)。龋齿的罪魁祸首是口腔中的某些细菌,但它们破坏牙齿也是需要时间的,从初期的变色到最终形成龋洞,通常需要1年半到两年。在此期间,我们多留心自己的牙齿,完全可能把龋坏扼杀在萌芽阶段。如何才能及时发现这种隐匿的蛀牙呢?找位好牙医,半年检查牙齿!

一旦确认牙齿上的小黑点是龋齿就应该尽早修补,以阻止病变的发展。如果任由其继续发展就会变成明显的龋洞,这时患者会对冷热酸甜等食物刺激敏感;当损伤进一步到达牙髓(即老百姓说的“牙神经”),就会疼痛难忍,严重影响日常生活。

临床上见到很多人都会等到牙痛得受不了,才到医院就诊。这时通常不能靠单纯补牙来解决问题,可能还要做根管治疗甚至拔除患牙、进行假牙修复,费时费力又费钱,人还遭罪,可谓“小洞不补,大洞吃苦”。

因此,平时应注意自检,观察牙齿颜色、形状、质地的变化,还要每半年进行全面的口腔检查,如果有龋齿,就应该早发现早治疗。

日常护牙小贴士

①、正确的日常刷牙方法每天用上10分钟刷牙,早晚各5分钟。如果有条件的话,刷牙之后使用牙线清洁牙缝。每隔半年到一年到专业的医疗机构清洗牙齿,因为有些地方是牙刷所不能到达的。

②、进食后要漱口进食后口腔内的酸性会增加导致牙齿被腐蚀,碳酸饮料损害会加倍。进食后可以使用温水或是淡茶漱口,减少食物残渣和细菌侵蚀牙齿的危害,也可以嚼木糖醇口香糖,通过咀嚼动作增加唾液分泌,中和口腔的酸性。

③、多喝水人体70%都由水分构成,多喝水不仅能够保持身体健康,还能够刺激唾液分泌,中和酸性、杀灭细菌,提高口腔中的清洁度,遏制细菌的滋生。

保护要需要注意以下几点:

①选择食物的颜色宜浅不宜深,要减少色素停留在牙齿表面;②可以吃点葱蒜姜,它能够在口腔内杀菌消炎,如果不喜欢这种味道,可以使用淡绿茶漱口;③喝饮料的时候尽量使用吸管,不要让有害物质接触到牙齿。最后小编劝大家,一定要定期找牙医检查牙齿,要知道小洞不补,大洞吃苦!

友情链接: