首页/儿童口腔/早期阻断性矫治,八个问题解读!/
早期阻断性矫治,八个问题解读!
2022-12-26 11:01:202175浏览
早期阻断,是指对乳、替牙列因先天或后天因素导致、正在发生或已初步表现出的牙、牙列、咬合关系及骨发育异常等,采用简单方法进行治疗以阻断畸形发展的过程,使之自行调整建立正常的牙合面关系。

1 乳牙早失

如果替换的恒牙牙根发育超过2/3,乳牙就该掉了。

图1 恒牙牙胚发育曲断

解决方案:

(1)缺隙保持器

拍X线片,对应的恒牙牙根发育超过2/3提示缺隙保持结束。

图2 单端悬臂式缺隙保持器

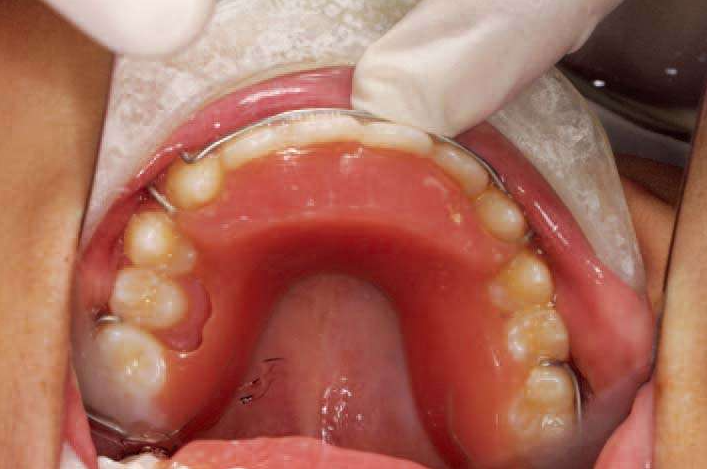
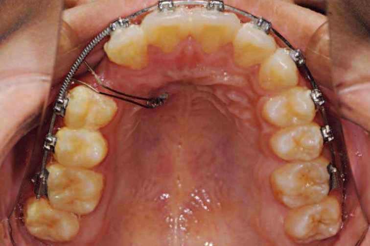
(2)上颌Nance托,下颌舌弓

除了对恒牙萌出有影响之外,当乳牙Ⅳ、Ⅴ早失时恒牙6很容易近中前移,造成牙弓内间隙丢失,临床上很多的牙齿拥挤都是这个原因。

这时候,上颌Nance托,下颌舌弓是比较好的牙弓间隙保持的方法。

2 多生牙和阻生牙

除非CT三维检查证实,埋在骨头里的多生牙,阻生牙会对相邻的牙齿正常发育造成影响,这时候才考虑拔除。

总之:

绝大多数的多生牙,阻生牙不需要治疗,等待观察。很多时候,慢慢地这些埋在骨头里的牙都能自行长出来,长到能被拔牙钳子夹住的时候再拔。

图3 多生牙阻生牙曲断

3 埋伏牙

(1)埋伏牙要等到所有恒牙完全萌出后再做。如果CT检查发现埋伏牙可能对周围正常牙根发育造成损伤,这时候要早期拔除。

图4 埋伏牙造成邻牙牙根吸收

(2)能从口内摸到的埋伏牙好做,摸不到的可能牵不出来。在颊侧能摸到的埋伏牙一般都能牵出来,腭侧的埋伏牙不能摸到则不好牵引。

埋伏牙根尖距离原始正确位置越近越好做,根尖距离正常位置越远越不好牵引。如果埋伏尖牙长轴与矢状面交角超过55°,基本上无法牵引出来。

图5 埋伏牙曲断

图6 埋伏牙角度示意图

图7 埋伏尖牙使用Ballista弹簧牵引

图8 埋伏尖牙使用Ballista弹簧牵引 

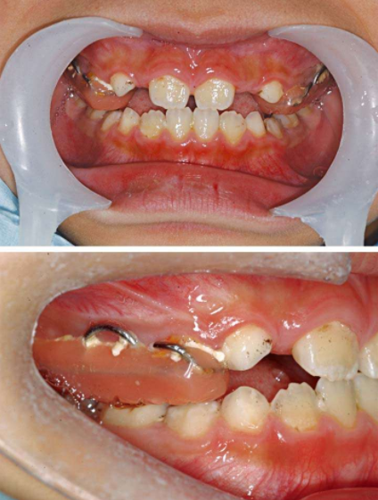
4 个别前牙反𬌗

原则是如果有咬𬌗创伤,要做。如果暂时没有咬𬌗创伤,可以再等等。

如何鉴别咬𬌗创伤?

看看下前牙有没有牙龈退缩。有牙龈退缩说明有咬𬌗创伤,这就得做。使用𬌗垫双曲舌簧活动矫治器,或者有时候上颌2-2粘托槽,镍钛丝排齐也能解决这个问题。

图9𬌗垫加双曲舌簧

图10 使用𬌗垫式双曲舌簧矫治个别前牙反𬌗

什么时候后牙加𬌗垫?

如果前牙反咬𬌗比较深,要检查前牙对刃状态下,后牙的颌间距离,如果后牙𬌗间距离大于4mm,需要后牙加𬌗垫,如果小于4mm,不需要加𬌗垫。毕竟存在生理性息止𬌗间隙。

5 前牙反𬌗

1)首先看下颌骨形态

如果是高角,情况不妙,这种反𬌗难做,而且效果不好,容易复发;如果是均角或者低角,矫治效果不错而且稳定不容易复发。

如果是上颌后缩,这种反𬌗也相对好做一些。但是如果是下颌前突,这种情况很悲哀(下颌骨可能会随着生长越来越前突,反𬌗可能会加重)。

如何鉴别上颌后缩?还是下颌前突?

头影测量中有一个方法简单有效:

从N点(鼻根点)做眶耳平面的垂线,即Mcnamara线,上颌骨A点(上齿槽座点)距离该垂线的正常距离:0mm(儿童),1~2mm(成人);

下颌骨Pog点(颏前点)距离该垂线的正常距离:−6mm(儿童),−2mm(成人)。

图11 鉴别上下颌位置

①Pog点到Mcnamara线的距离;②A点到Mcnamara线的距离。

图12 上颌后缩

图13 下颌前突

(2)如果孩子年龄小于5岁,取模型可能会呕吐,不配合,最好的方法是使用MRC系列的Ⅰ class Ⅲ预成反𬌗肌功能矫治器。

这个年龄的反𬌗基本上都是肌肉功能问题,很少有骨骼问题。这个年龄的患者的关节前结节发育还不完全,基本是平的,无法对关节髁状突向前移动有限制作用。

所以在外界因素的诱导下(比如,躺着喝奶等不良姿势),下颌髁状突很容易迁移出关节窝的限制,出现反𬌗。

(3)如果患者年龄大于5岁,能够顺利地配合取模型,那我们就要检查:

乳牙Ⅲ、Ⅳ、Ⅴ牙冠的龋坏情况;曲断上看乳牙Ⅲ、Ⅳ、Ⅴ牙根吸收状况,若龋坏不严重可以治愈,或是牙根没有严重地吸收。

解决方案:粘结式RME配合前方牵引。

图14 RME

图15 粘结式RME

图16 前方牵引

曲断上检查已经有很明显的乳牙Ⅲ、Ⅳ、Ⅴ牙根吸收,口内检查乳牙Ⅲ、Ⅳ、Ⅴ残冠,或者残根。前牙2-2如果尚未萌出,而且估计一年之内不能完全萌出,此时FRⅢ是最好的解决方案,用FRⅢ等待上前牙2-2萌出。如果反𬌗矫治结束后,前牙2-2还没萌出到正常的咬𬌗状态,这时候的反𬌗矫治效果不稳定,很容易复发。矫治后前牙覆𬌗越深,反𬌗矫治效果越稳定。解决方案:肌功能矫治器FRⅢ(图17)。

图17 FRⅢ

年轻恒牙列,如果上4已经完全萌出,适合做上颌RPE配合前方牵引。

图18 上颌RPE hyrax扩弓

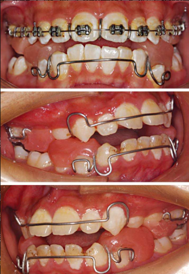
6 上前牙突 伴随开唇露齿

过度唇倾的前牙容易受到外伤,继发上颌骨骨骼异常发育。

解决方案:

上颌2×4技术,配合口外弓。

①上颌2-2粘托槽,0.012″、0.014″、0.016″、0.018″镍钛,过渡到0.018″不锈钢丝。

②0.018″不锈钢丝在上颌第一磨牙近中做欧米加曲,0.25mm结扎丝向后结扎,配合使用口外弓。

图19 欧米加曲向后结扎

图20 口外弓

对于上颌前突早期矫治后的保持很重要,矫治后如果上颌尖牙尚未萌出,可使用Myobrace肌功能矫治器保持。如果上颌尖牙已经萌出,则不需要额外保持。

图21 Myobrace

7 替牙期牙列不齐

MRC系列的T4K或者Myobrace是很好的解决方案。如果患者的依从性很好,效果会很理想。MRC一直倡导的理念:more comfortable,less brace(不用托槽排齐牙齿)。

这种肌功能矫治器的最早的原型是Kesling创造的正位器,现在发展成为隐适美。如果上颌2-2萌出不全,适合用T4K。如果上颌2-2已经完全萌出,比较适合用Myobrace。

Myobrace根据上颌2-2宽度不同,分为7种不同的型号。MRC肌功能矫治器的使用原则是先软后硬。

图22 T4K

8 下颌后缩

有个原则得铭记在心。如果错𬌗畸形原因在上颌,这个病例好做。如果错𬌗畸形主要在下颌,这个病例不好做。临床遇到的下颌后缩,如果是高角,基本上做不过来。如果是均角或者低角,使用功能矫治器导下颌向前,会有不错的效果。当然前提是患者自身要有足够好的骨骼生长潜力。

有两种方案矫治下颌后缩:

①斜导、肌激动器或者双[插图]垫矫治器(twin block)等功能矫治器导下颌向前。

图23 斜导

图24 双𬌗垫矫治器

德国颅颌面生长发育理论:

上颌是鞋,下颌是脚。如果我们穿一双小鞋,走路的时候,脚位于鞋的后方;如果我们穿一双大鞋,走路的时候,脚位于鞋的前方。

同理,如果上颌牙弓狭窄,咬𬌗会使下颌靠后,如果扩大上颌牙弓,咬𬌗能引导下颌向前。临床上,对于很多的替牙期,下颌后缩的病例,可采用上颌扩弓引导下颌向前的矫治方法。

上颌扩弓,通过“鞋拔子”(foot in shoe)效应,引导下颌向前。

图25 “鞋拔子”效应示意图

图26 上颌四眼簧扩弓

内容来源:《现代口腔正畸技术与临床思维》!

友情链接: