首页/创伤/桡骨远端骨折(colles骨折)闭合穿针经典方法及技巧!/
桡骨远端骨折(colles骨折)闭合穿针经典方法及技巧!
2024-01-31 10:43:042330浏览
桡骨远端骨折(colles骨折)闭合穿针经典方法及技巧!

冬天雪后滑倒后,桡骨远端骨折是比较常见的骨折,闭合复位克氏针内固定是较常见的治疗方法,本文参考K-Wiring Principles and Techniques,介绍闭合穿针的手术技巧。

三枚克氏针固定技术为经典的三克氏针固定技术:一根穿过lister结节。一根穿过桡骨茎突。一件穿过月骨窝骨块。

如果出现:严重粉碎性骨折、骨质疏松症可附加克氏针

1、手术方法

首先进行骨折闭合复位,牵引时须缓慢而持续,通过掌屈和尺偏来矫正背侧和桡侧移位。复位后,将手放在卷起的布单上,保持掌屈和尺偏(下图a,b),并用至少三根经皮克氏针固定。

第一枚克氏针在 Lister 结节进针,以 45°倾斜,瞄准桡骨长轴上近端骨块的掌侧皮层。如果进针点位于Lister结节的尺侧,可能会损伤拇伸肌腱。

第二枚克氏针自桡骨茎突远端 0.5 cm 处进针,克氏针与桡骨轴成 60°角,穿透骨折近端尺侧皮质。

第三枚克氏针在距腕关节线远端0.5 cm处,固定月骨窝骨块,位于第四和第五伸肌室之间。克氏针以 45 °角固定到桡骨的掌侧,如下图a、b 所示。

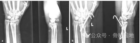
使用经典经皮克氏针固定桡骨远端骨折,如下图a-e 。

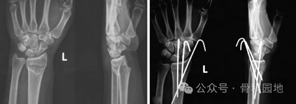
采用经皮克氏针固定后手指运动情况,如下图a-d 所示。

二、手术种注意事项及技巧

1、如果克氏针滑入髓腔而没有穿过对侧皮质,可能是由于克氏针进入时倾斜太大造成的。在这种情况下,人们倾向于抬起手以减少倾斜度。但实际上正好相反,克氏针会以凹形方式成角度和弯曲,导致克氏针穿刺失败。相反,应该根据克氏针的轮廓,轻轻向上凸,如下图 所示。

使克氏针呈凸角向上,在无轴向压力的情况,在远侧皮层做一个进针点,他便可以穿透远端皮质。或者,应该更改进针点从头开始(下图a-e)。

2、Kapandji 技术,将两到三根克氏针插入骨折部位,以远端骨折碎片并将其矫正到所需位置。一旦复位,将克氏针推进到近端碎片中。(下图a-f)。

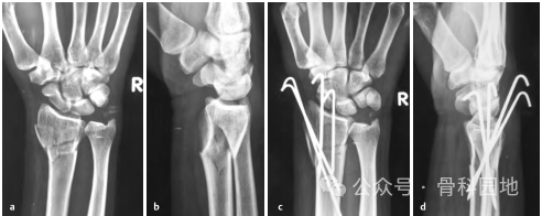
3、如果克氏针进针、出针点非常靠近骨折处,可能导致固定失效。背侧两枚克氏针不应在同一水平上穿过掌侧皮层,掌侧出针点必须距骨折部位2cm。如下图a-c 所示。

4、在背侧皮质极度粉碎时,尽量不要进入远端骨块的骨折部位,因为这可能会导致固定失败。下图a-e。

5、对于严重骨质疏松症,最好使用四到五根克氏针来固定骨折处。有时为了保持桡骨的长度,使用横向克氏针将桡骨远端骨块固定到尺骨远端。

6、在干骺端长节段骨折中,可以使用大倾斜的克氏针固定。但克氏针可能会滑入髓腔很难固定(下图a-d)。

7、关节内骨片张开,可以先在软骨下横向克氏针固定,然后按常规方式用三根经皮克氏针固定(下图a-d) )。

8、桡骨远端严重粉碎性骨折伴缩短和塌陷,需额外的横向克氏针穿过尺骨,以保持桡骨的高度,该克氏针最好从茎突的掌侧指向尺骨背侧方向,如下图a、b 所示。

9、桡骨茎突骨折伴背侧移位,复位后,用两根桡骨茎突克氏针固定:一根位于背侧,另一根位于掌侧至茎突尖端。(下图a、b)

10、桡骨远端四部分骨折,向背侧移位,月骨窝骨块与掌侧移位分离。可以克氏针从背皮质以倾斜方式从近端到远端掌骨骨块固定。(下图a,b)。

11、用背侧和掌侧克氏针治疗桡骨远端粉碎性骨折,术中如果月骨窝掌侧碎片未复位。可以经掌侧入路,使用血管钳分离至骨,然后将克氏针从掌侧边缘碎片插入背侧皮质。(下图a-h)

12、明显移位的桡骨远端骨折,且无法通过闭合方法复位,可以用3毫米的克氏针从背部翘拨远端骨折块来实现复位。(下图a-h)。

13、应用外固定架治疗桡骨远端粉碎性骨折,外固定架适用于严重粉碎性桡骨远端骨折,伴有巨大肿胀、开放骨折,或局部皮肤状况不允许进行内固定(例如钢板固定)(下图a-d)。

三、预防并发症:

1、预防固定不稳,需注意以下操作:注意双皮质固定。避免远端出针点靠近骨折处。避免所有克氏针在远端汇聚,力量集中。克氏针在弯曲时注意避免松动旋转。骨质疏松时,需要额外的克氏针固定。

2、预防针道感染的措施先切开皮肤,用血管钳分离软组织到达骨头,然后用克氏针。慢速钻孔,防止热坏死。避免太多次反复操作。减少克氏针对皮肤压迫。

友情链接: