首页/脊柱/椎体夹心饼征!/
椎体夹心饼征!
2024-01-31 10:46:451215浏览
椎体夹心饼征!

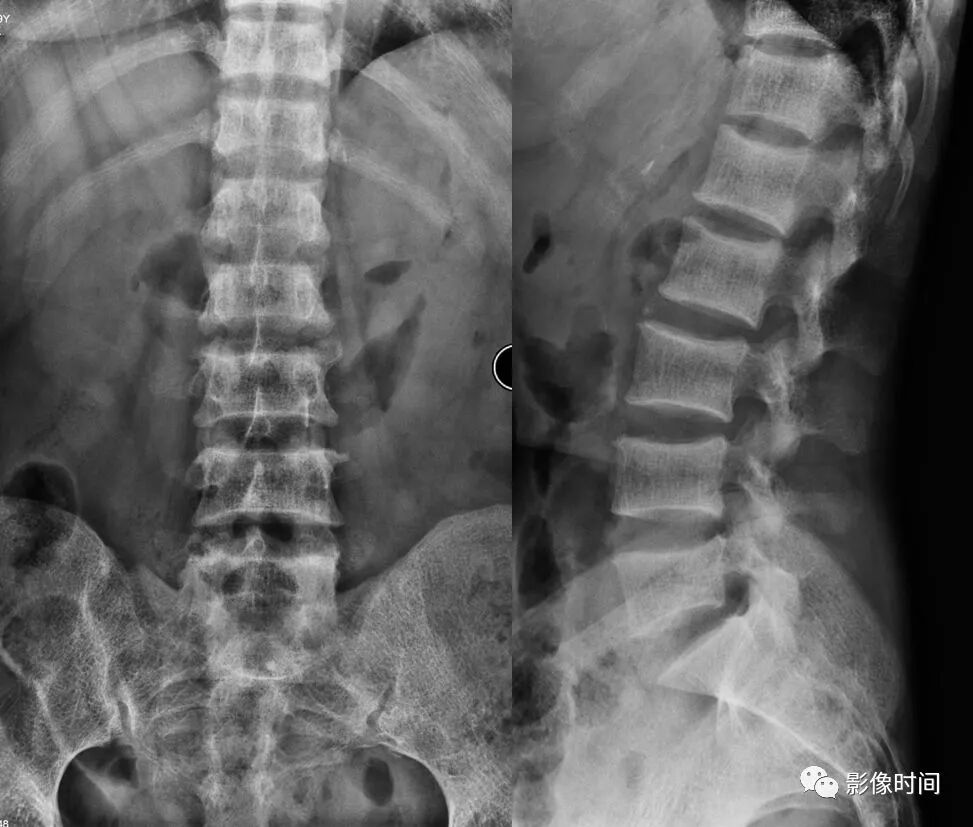
椎体夹心饼征:在X线平片上,胸腰椎椎体上、下缘终板各形成一条硬化带,每个椎体中心可见一条透明带,相互并行的硬化带和透明带与英式橄榄球衫(rugby sweater)上的条纹类似,西方学者称之为橄榄球衫椎体(rugger jersey spine)。这种两条硬化带中夹一条透明带的表现与中国的夹心饼亦相似,国内学者称之为夹心饼征。椎体终板上下缘的硬化带代表过多的骨样物质沉积,虽然它们的骨化并不充分,但这些骨样组织与正常椎体相比密度增加,在Ⅹ线照片上显示为不透光性,常为慢性肾衰竭所致


扩展阅读



































友情链接: