首页/创伤/易漏诊!孟氏骨折拇指杠杆复位法/
易漏诊!孟氏骨折拇指杠杆复位法
2024-01-31 10:37:281116浏览
易漏诊!孟氏骨折拇指杠杆复位法

尺骨上1/3骨折合并桡骨头脱位是指尺骨半月切迹以下的上1/3骨折,桡骨头同时自肱桡关节、尺桡近侧关节脱位,而肱尺关节没有脱位,又称为孟氏骨折。这与肘关节前脱位合并尺骨鹰嘴骨折应有所区别。该损伤可见于各个年龄组,但以儿童和少年多见。


【病因病机】

直接暴力和间接暴力均能引起尺骨上1/3骨折合并桡骨头脱位,而以间接暴力所致者为多。根据暴力方向及骨折移位情况,临床上可分为伸直、屈曲、内收三型。


1.伸直型 比较常见,多见于儿童。跌倒时,前臂旋后,手掌先着地,肘关节处于伸直位或过伸位,可造成伸直型骨折。传达暴力由掌心通过尺、桡骨传向上前方,先造成尺骨斜形骨折,继而迫使桡骨头冲破或滑出环状韧带,向前外方脱出,骨折断端随之突向掌侧及桡侧成角。在成人,外力直接打击尺骨上1/3背侧,亦可造成伸直型骨折,为横断或粉碎骨折。


2.屈曲型 多见于成人。跌倒时,前臂旋前,手掌着地,肘关节处于屈曲位,可造成屈曲型骨折。传达暴力由掌心传向上后方,先造成尺骨横断或短斜形骨折,并突向背侧、桡侧成角,桡骨头向后外方滑脱。


3.内收型 多见于幼儿。跌倒时,手掌着地,肘关节处于内收位,可造成内收型骨折。传达暴力由掌心传向上外方,造成尺骨冠状突下方骨折并突向桡侧成角,桡骨头向外侧脱出。


今天来分享一例拇指杠杆复位法复位伸直型孟氏骨折的病例。


患者性别:女

患者年龄:7岁

主诉:右肘部肿痛,活动受限1天。


简要病史:患者骑自行车时跌倒致右肘部肿痛,活动受限,就诊当地医院,拍片示右孟氏骨折,建议手术治疗,患者家属拒绝行手术治疗,转来我院要求保守治疗。

体格检查:右肘部软组织肿胀明显,右尺骨鹰嘴处压痛明显,右桡骨头处压痛,右肘部及前臂活动受限。


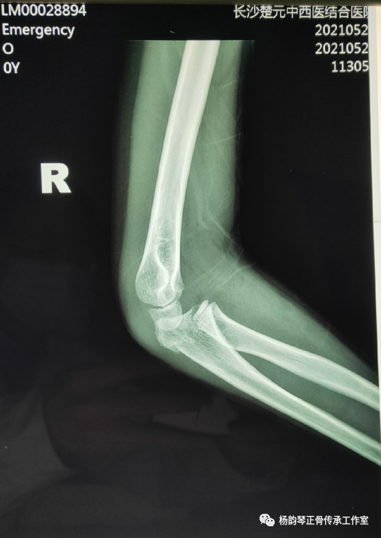
辅助检查:X线片:右尺骨近端骨折,右桡骨头脱位。

临床诊断:右孟氏骨折

治疗经过:予以手法复位,小夹板外固定,指导功能锻炼,恢复良好。          




患者骑自行车跌倒致伤处肿痛,活动受限,就诊当地医院拍片示右孟氏骨折,建议手术治疗,患者家属拒绝手术治疗,转来我院要求保守治疗。



孟氏骨折特别容易漏诊的就是桡骨头脱位,此患者从侧位片上看可以看到桡骨近端纵轴线没有通过肱骨小头中心,提示肱桡关节匹配不良,桡骨头脱位。除非直接暴力导致尺骨骨折,一般单纯尺骨骨折比较少见,临床上看到尺骨骨折就必须密切关注肱桡关节匹配情况,桡骨头脱位后可能自动还纳,若此时忽略对桡骨头的固定,可能发生再脱位。所以即使X线片仅见骨折而无脱位,一般最好也按孟氏骨折来处理,避免漏诊。



入院后予以手法复位,小夹板外固定,拍片复查示骨折对位对线良好,桡骨头脱位已纠正。具体复位手法:术者一手拇指先摸清桡骨头位置,将拇指置于肘前方,然后另一手握前臂置于前臂旋后位,再极度屈肘,拇指卡于肱骨与桡骨之间形成杠杆,通过极度屈肘促使桡骨头复位。用锐角托板固定于患肢屈肘60°(邻肢夹角法)前臂旋后位。



伤后半月余复查骨折对位对线良好,肱桡关节匹配良好,改直角托板固定,每次换药进行被动肘关节屈伸锻炼,这样有利于促进关节功能早期恢复。



伤后近一月拍片复查骨折愈合良好,肱桡关节匹配正常。



伤后近一个月患肢功能外观已经恢复良好。

点击下方视频观看完整复位固定过程

友情链接: