首页/骨科小技巧/膝关节置换术后早期与晚期失败案例!/
膝关节置换术后早期与晚期失败案例!
2024-01-29 10:53:192192浏览
膝关节置换术后早期与晚期失败案例!

膝关节置换并发症

早期关节置换术失败

感染(图1)。这是早期假体失败的原因(在2年之前),但也可能在稍后出现。

通常会发现临床症状,包括疼痛,肿胀,红斑,僵硬,压痛,以及高红细胞沉降率和C反应蛋白增高。诊断可以通过骨扫描,或者受累关节的抽吸/活检证实。放射征象是非特异性的,类似于无菌性松动,包括:

  • 透明区域增大。
  • 骨内膜和局灶性溶解。
  • 少量气体可能出现在软组织中。

图1:15个月前的全膝关节置换术。临床结果不好。平片显示股骨和胫骨组件松动,两个组件间隙增宽。最终诊断结果--牛链球菌感染引起的脓毒性松动。

不稳定性(组件位移)图2。它是早期更换失败的最常见原因之一,通常是由于手术或假体选择失败。它包括假体的内翻 - 外翻不对齐,关节元件的异常和过度移位导致关节成形术失败。可能出现不同类型,延伸,弯曲和全局不稳定性,这种模式可在多个平面中检测到。

图2:57岁的女人。右膝关节置换术。手术后两个月膝关节伸展受损。A和B平片,C-CT(体积渲染)描绘了股骨假体移位。注意股骨组件与股骨前表面分开(箭头)。US为了排除伸肌组件破裂,及 Cuadricipital韧带完整性(箭头)。髌骨(p),膝关节成形术(箭头)和股骨前表面(*)。

应力屏蔽   Stress shielding

它发生在手术后的前2年内,并且由于机械负荷的减少而导致假体周围骨质减少。如果胫骨基部远端有胫骨假体,则胫骨基板不会向下面的骨骼传递负荷,并且会使矿物质失去作用。没有相关的疼痛或失败的风险。

成像结果包括稳定的假体周围透明度,最常见于股骨组件的前后凸缘下方或胫骨托下方。不应将透明度误解为骨质溶解。

晚期关节置换术失败

•无菌性松动,图3。

并发症可能出现在骨水泥和非骨水泥胫骨组件中。它们通常在底板和杆周围形成薄(<1 mm)的透明度,在无菌松动的情况下会扩大。

放射征象包括:

假体周围射线透亮区大于2毫米。

逐渐扩大的射线透亮区。组件迁移。水泥破裂。

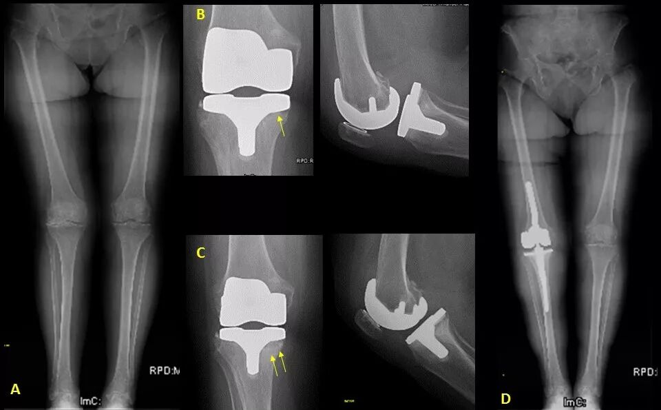
图3:无菌性松动:A.-手术前下肢全长负重射线照片:双侧骨关节病。B.-3个月随访负重平片:胫骨假体轻度假体射线可透性(箭头)C。- 1年随访负重平片:胫骨假体周围假体射线可透性(箭头)。D.-更换假体后的下肢全长承重射线照片。

聚乙烯磨损(图4)。

可以发现两种不同的类型:分层磨损和表面磨损,后者由可能引起骨质溶解的小颗粒组成。

图4:聚乙烯组件磨损。

主要的诱发因素是患者的体重和活动量、分子量、聚乙烯的均匀性和初始厚度(至少8mm),几何形状和与股骨髁部件的对齐,髁关节部件表面的不规则性。

膝关节积液可能表现为疼痛或不疼痛。诊断采用负重前后位和侧位X线片进行。调查结果包括:

中度到严重的磨损会导致关节间隙变窄。

在轻度磨损的情况下出现细微的发现,诊断的主要方面是与之前的X光片进行比较。

在不对称磨损的情况下出现内翻或外翻畸形或髌骨倾斜。

骨质溶解(图5)。

它是由巨噬细胞吞噬颗粒碎片引起的无菌异物肉芽肿反应。骨溶解区域充满肉芽组织。出现疼痛,肿胀和急性滑膜炎。主要的放射学发现是在骨水泥或骨 - 假体界面周围逐渐延伸的薄的射线可透性。

图5:78岁女性,17年前TKA。A和B平片,C NECT和D CT(体积渲染)显示了骨溶解和胫骨组件移位。

假体周围骨折和组件断裂(图6,图7)。

它们可能是术中(切除术期间)或术后,通常出现在膝关节深度活动后伴有爆裂感。伴有骨质疏松症和/或胫骨结节转移的假体周围骨折的风险增加。骨质疏松,局灶性骨溶解和组件松动是主要的重新分布因素,位置最常见于髁上。

成像结果有时是细微的,因此很容易错过小骨折。

图6:85岁女性,假体周围骨折。双侧全膝关节置换术。右髁上假体周围股骨骨折。A和B平片。C和D CT多平面重建(MPR)。E和F AngioCT体积渲染

图7:假体周围髌骨和胫骨骨折。A.- 83岁女性。侧位X线片显示放置TKA后出现髌骨骨折(箭头)。B.- 78岁女性,17年前TKA。NECT描述了骨溶解,胫骨组件移位和胫骨后方骨折(箭头)。

其他不太常见的并发症也可能出现:异位骨化通常无症状(图8),金属过敏,慢性局部疼痛综合征,过度使用肌腱炎。

友情链接: