首页/骨科精读/章振林:如何做好骨质疏松诊断和鉴别/
章振林:如何做好骨质疏松诊断和鉴别
2023-08-18 10:33:001718浏览
章振林:如何做好骨质疏松诊断和鉴别

骨质疏松症是一种严重危害老年人健康的骨骼疾病,其严重后果主要是脆性骨折以及骨折后的并发症所导致的残疾和死亡。随着人口老龄化,与增龄相关的老年骨质疏松症和老年高血压、心脏病、肿瘤等慢性疾病一样,已成为全世界面临的重要健康问题。随着我国老龄化加重,骨质疏松症已成为困扰老年人健康的重要因素。因此老年骨质疏松症的治疗和预防也成为老年健康关注的焦点,本文旨在通过深入探讨骨质疏松的诊断方法和鉴别要点,帮助读者更好地认识和了解这一疾病,提高对其的预防和治疗意识。

一、骨质疏松症如何诊断

1、利用DXA检测骨密度(大多数医院均有):

DXA测量骨密度是目前通用的骨质疏松症诊断指标,对于儿童、绝经前女性和50岁以下男性骨密度水平的判断建议用同种族的Z值表示。

T-值=(实测值-同种族同性别正常青年人峰值骨密度)/同种族同性别正常青年人峰值骨密度的标准差;Z-值=(骨密度测定值-同种族同性别同龄人骨密度均值)/同种族同性别同龄人骨密度标准差;将Z-值≤-2.0视为"低于同年龄段预期范围"或低骨量。

2、利用X线平片发现椎体压缩性骨折(每个医院包括社区均有):

脆性骨折是指受到轻微创伤或日常活动中即发生的骨折,老年男性椎体骨折的患病率与女性相当,椎体骨折的防治在男女两性同等重要。

常规进行X线胸腰椎正侧位摄片漏诊率高,患病率高(上海社区60岁以上17%,建议对50岁以上腰背部疼痛者常规摄片,及早发现椎体骨折。

二、骨质疏松症如何进行影像学检查

X线平片是检出脆性骨折,特别是胸、腰椎压缩性骨折的首选方法。常规胸、腰椎X线侧位摄片的范围应分别包括胸4至腰1和胸12至腰5椎体,基于胸、腰椎侧位X线影像并采用Genant目视半定量判定方法,椎体压缩性骨折的程度分类如下:

必要的实验室生化检查,有助于诊断骨质疏松症,排除和鉴别出继发性骨质疏松症和其他代谢性骨病等。骨质疏松症的实验室检查包括一般检查项目和骨转换生化标志物检查:

1、一般检查项目:

2、骨转换生化标志物检查:

骨转换过程中产生的中间代谢产物或酶类,称为骨转换生化标志物(BTMs),包括:

骨转换生化标志物正常参考范围

三、骨质疏松症如何诊疗

诊疗流程如下:

知识点:

1、利用实验室检测结果做好鉴别诊断,重点关注血钙、磷、ALP、PTH、25OHD、CTX、PINP等指标,同时注意血尿常规、肝肾功能等指标。

2、诊断前做好必要的病史和检查,详细了解病史(包括月经史、骨折史、用药史)、体格检查及必要X线影像学和实验室生化检查。

四、容易误诊的病例

病例1:

女,41岁。

主诉:全身骨痛2年,行走困难3个月。

实验室检查:

1、高血Ca(2.89);

2、低血P(0.50);

3、高ALP(897);

4、BMD(L1-4 Z值-4.1SD);

5、血PTH 1240pg/mL。

诊断:原发性甲状旁腺功能亢进症。

病例2:

女性,58岁。

主诉:全身疼痛伴活动困难3年。

实验室检查:

1、血P(0.58)低;

2、血Ca正常;

3、ALP(246)高;

4、OC、CTX和PTH均显著增高。

X线检查:胸腰椎多发压缩性骨折伴骨质疏松。

诊断:低磷性骨软化(肿瘤性可能)、继发性甲状旁腺功能亢进。

治疗:中性磷溶液、骨化三醇,术后随访观察。

术后两年:出现磷酸盐尿性间叶肿瘤(PMT),血FGF23显著下降,血磷正常。

病例3:

女,65岁。

主诉:腰痛1年。

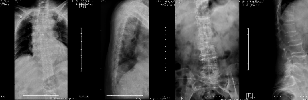
X线检查:L2压缩性骨折椎体骨质疏松,头颅未见异常。

实验室检查:

1、血钙高 3.04mmol/L;

2、ALP正常;

3、PTH(10.03)低于正常值;

4、CTX(801)高于正常参考值;

5、BGP正常。

诊断:多发性骨髓瘤、骨髓活检证实。

病例4:

男性,82岁。

主诉:腰痛1年。

实验室检查:BMD(L1-4 T值 4.7、SDNECK T值 0.1SD)。

诊断:前列腺癌、骨转移。

病例5:

女,81岁。

主诉:腰背疼痛3年。

实验室检查:

1、血Ca,P和ALP均正常;

2、25(OH)D低下;

3、CTX和PTH稍高。

诊断:原发性骨质疏松症、(维生素D缺乏伴继发型甲状旁腺功能亢进)。

知识点:

1、低血磷、ALP高、血钙正常、低骨密度可能为骨软化(假骨折等,特征骨骼表现、肌无力);

2、高血钙、ALP高、低骨密度可能为甲旁亢(PTH升高、特征骨骼表现、B超、ECT);

3、PTH低或者正常可能为转移性骨骼肿瘤;

4、低骨密度、骨折可能为多发性骨髓瘤(蛋白尿、异常免疫球蛋白、骨穿);

5、高BMD、ALP高可能为前列腺癌、畸形性骨炎、骨纤维异样增殖症等疾病;

6、高BMD、ALP正常可能为骨硬化等疾病;

7、血钙、磷、ALP正常可能为原发性骨质疏松、成骨不全(儿童或骨折时ALP高);

8、骨质疏松、骨折、ALP低下可能为低磷酸酶症。

来源:上海市第六人民医院

友情链接: