#股骨部骨折
资讯 12
课程 4
套餐 1
直播
转子下骨折:金属板固定手术步骤,超全解析!
转子下骨折:金属板固定手术步骤,超全解析!
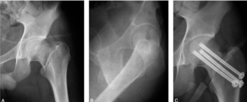
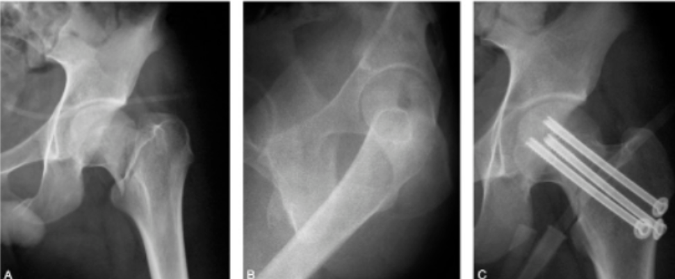
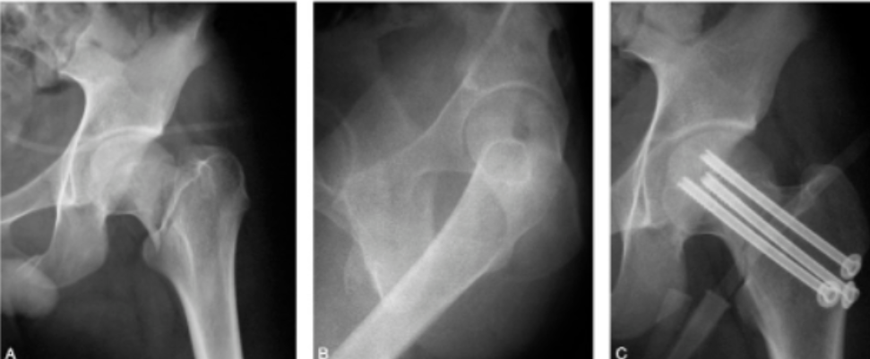
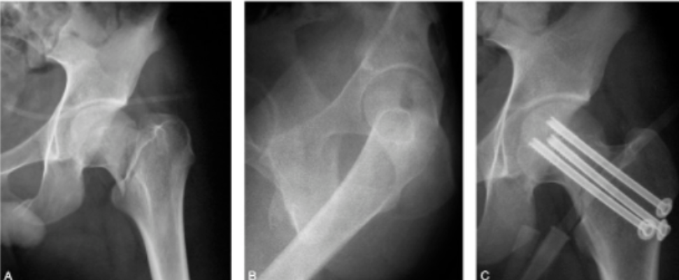
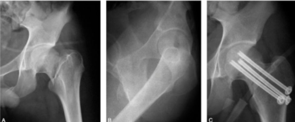
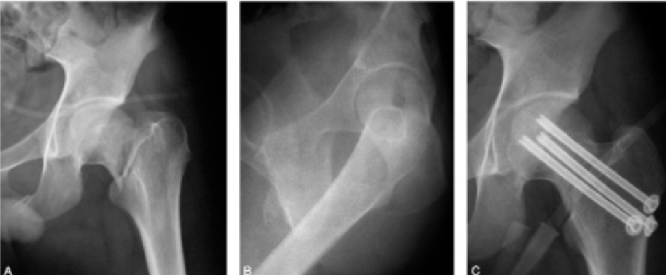
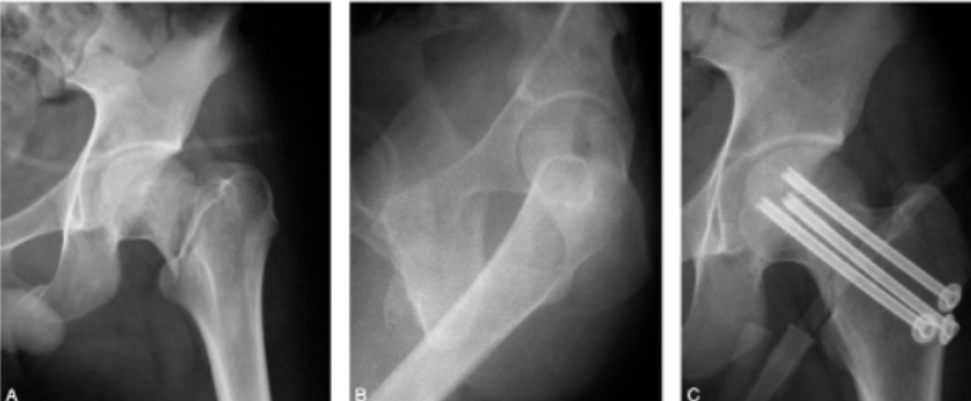
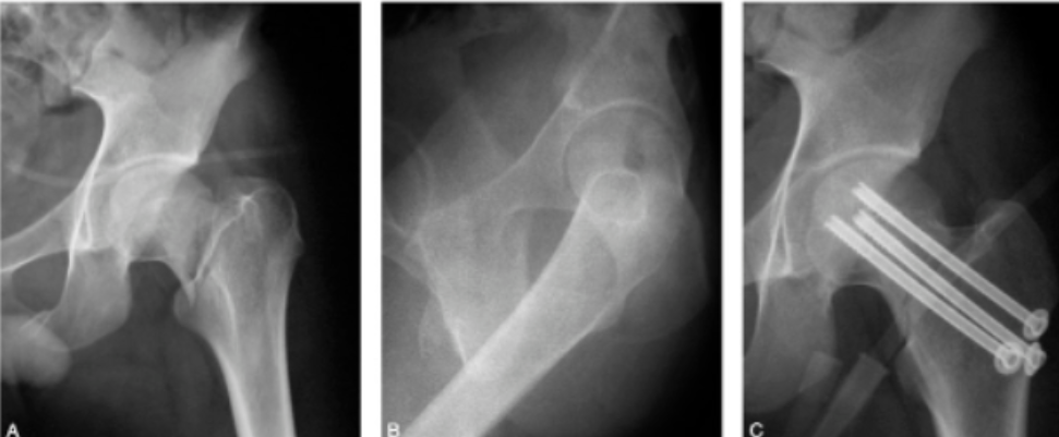
股骨颈骨折内固定治疗的手术技巧,一篇总结到位!
股骨颈骨折内固定治疗的手术技巧,一篇总结到位!
股骨中段骨折带锁髓内钉内固定,手术步骤超全详解!
股骨中段骨折带锁髓内钉内固定,手术步骤超全详解!
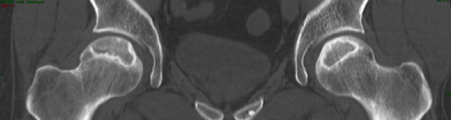
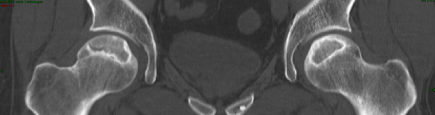
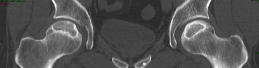
搞定双侧大面积股骨头坏死,原来这么简单!
搞定双侧大面积股骨头坏死,原来这么简单!
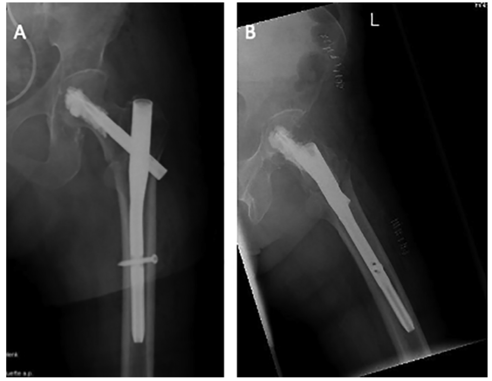
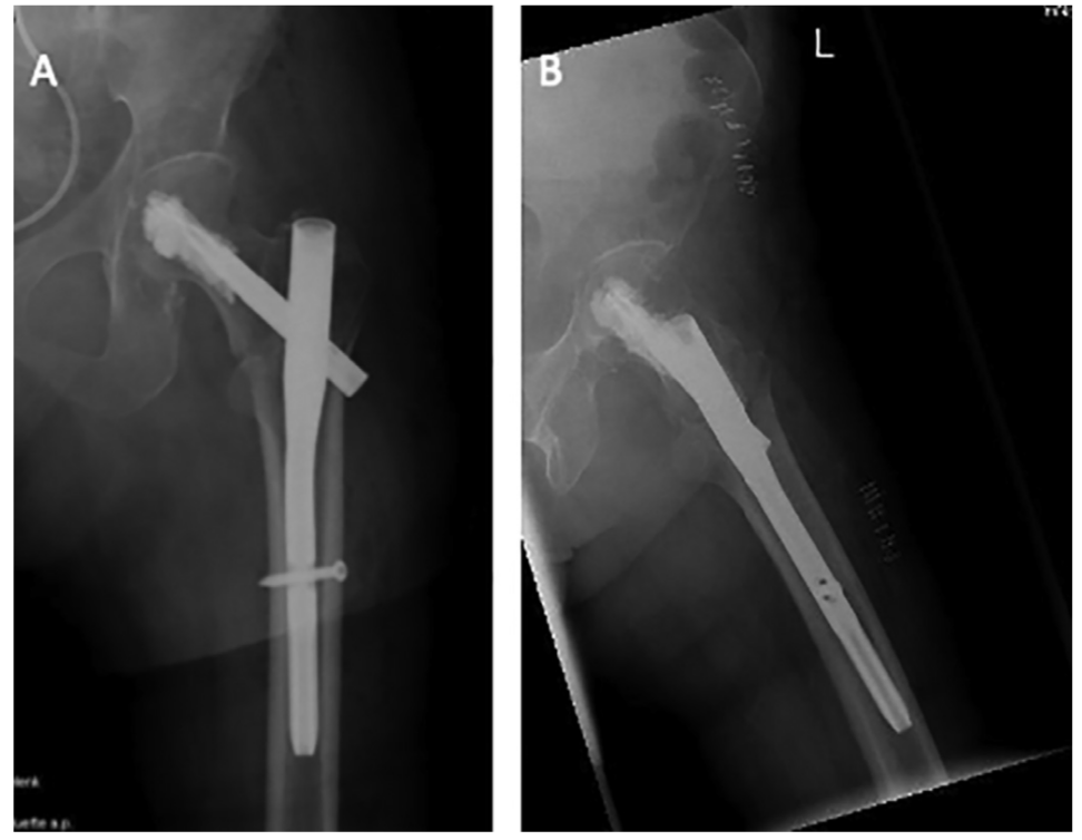
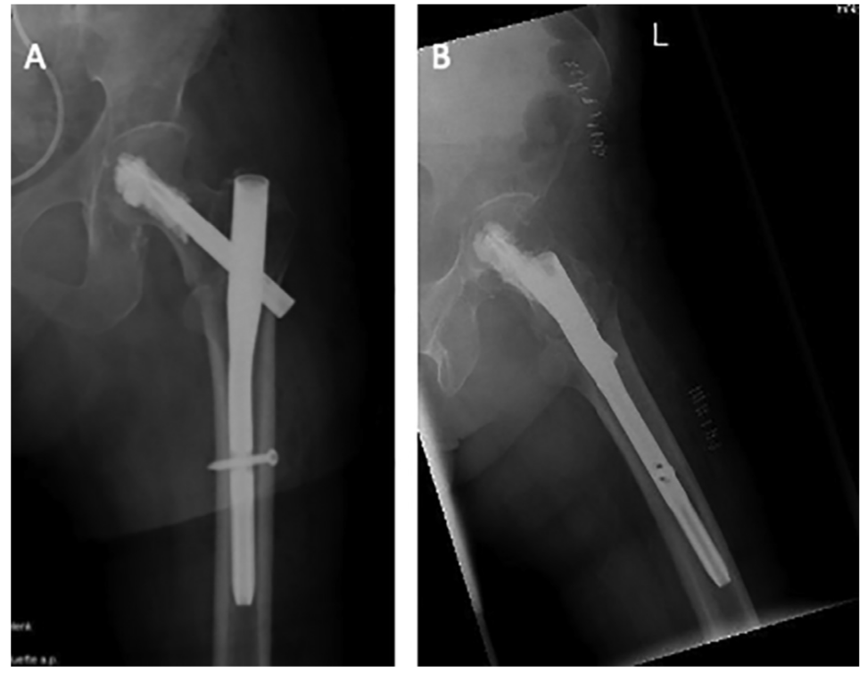
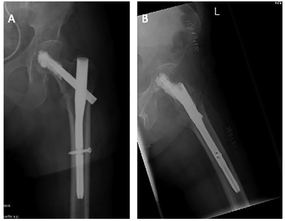
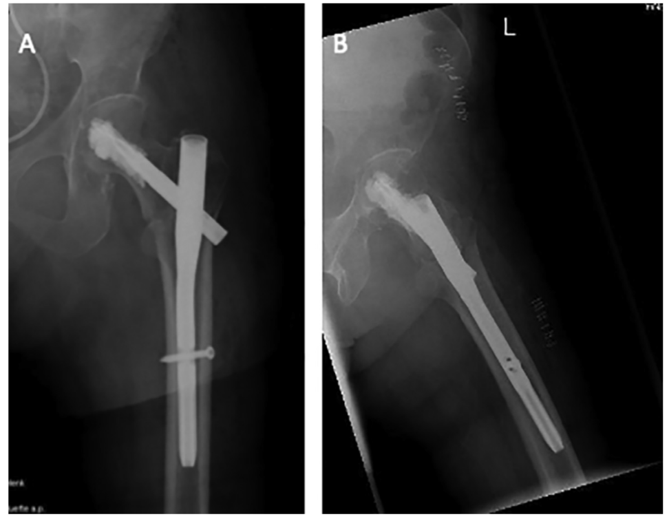
股骨粗隆间骨折PFNA内固定手术技巧,看图就能学会!
股骨粗隆间骨折PFNA内固定手术技巧,看图就能学会!
PipkinⅢ型骨折治疗的关键——股骨头毁损三联征!(附案例分析)
PipkinⅢ型骨折治疗的关键——股骨头毁损三联征!(附案例分析)
“不显影”髓内钉,让骨折复位和愈合评估更简单!
骨科内固定金属材料的特点为可显影,置入人体后可直接观察内植物位置是否准确,但对于术后评估来说,其可显影性可能会妨碍骨折愈合情况的观察。
常用的髓内钉,必备知识有这些!
切开复位及内固定治疗骨折有髓外固定和髓内固定,钢板螺钉内固定技术属于髓外固定,在骨的远端或近端的髓腔内置入一生物相容性好、具有一定强度的内置物,以达到骨折端固定的方法,称为髓内固定。髓内固定应用于骨折内固定治疗已有 100 多年的历史,我国从上世纪 90 年底开始使用,目前已广泛应用于临床,打好髓内钉是骨科医生的必备技能。
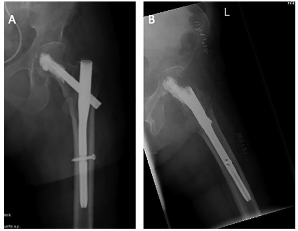
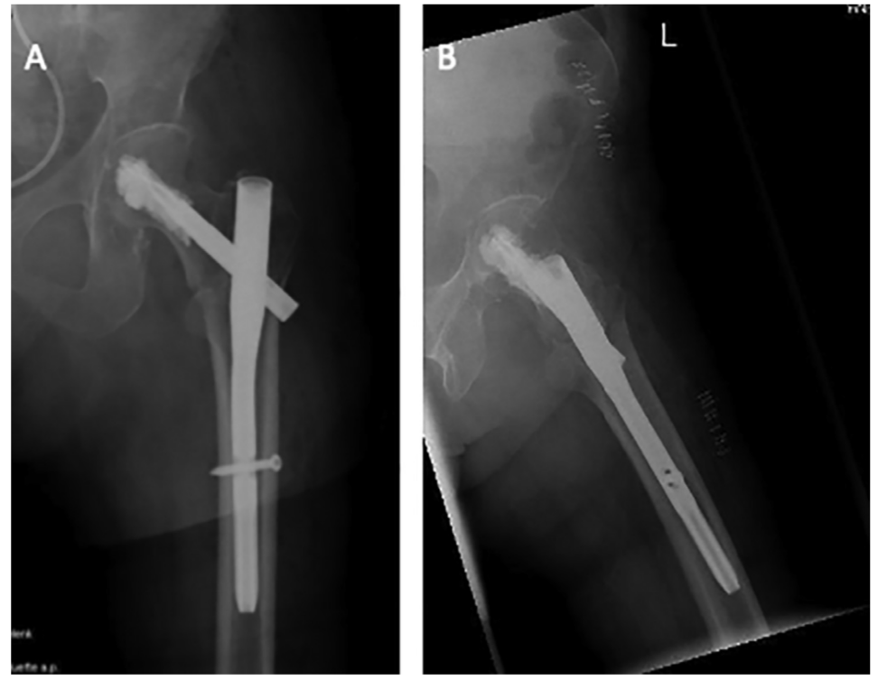
骨水泥加强的PFNA,能否增加老年患者早期负重能力?
股骨近端骨折是老龄患者最常见的骨折之一,其中50%累及转子周围区域。老龄患者骨质疏松,PFNA内固定术后早期功能锻炼可能导致螺钉切割、内固定失效等并发症,而早期功能锻炼对患者功能恢复至关重要。因此,有学者研究了骨水泥加强的PFNA,以评估能否增加老龄患者患肢早期的负重能力。
粗隆间骨折髓内固定失效,需要注意这一点!
粗隆间骨折好发于老龄患者,为三大骨质疏松性骨折之一,通常需采用内固定治疗。粗隆间骨折内固定的选择,与骨折类型密切相关。关于小转子及内侧壁的重要性,已经越来越受到重视,部分内固定的失效也与其相关。有学者研究了粗隆间骨折累及小转子及内侧壁的大小与内固定失效的关系,结果发表在Injury期刊上。


