Background(背景)
术后早期活动对老年股骨近端骨折患者术后并发症和活动度评分均显示出有益的影响。患肢足够的负重能力对于早期活动是至关重要的。
我们假设,与非骨水泥型PFNA相比,骨水泥型股骨近端防旋髓内钉(PFNA)在术后活动中具有更高的负荷能力。
[Background: An early postoperative mobilisation shows beneficial effects in terms of complications and mobilisation scores in older adult proximal femur fracture patients. An adequate load-bearing capacity of the operated extremity is essential for early mobilisation. We hypothesize that cement augmentation of the Proximal Femoral Nail antirotation (PFNA) leads to a higher load capacity during postoperative mobilisation compared to a non-cemented PFNA.]
Methods(方法)
连续49名股骨转子周围骨折的老年患者被纳入研究设计(证据等级2)。研究组25名患者接受了骨水泥强化髓内钉(PFNA)(CA组),而对照组24名患者接受了相同的骨折固定术而没有骨水泥强化(NCA组)。术后第五天,所有患者都参加了使用鞋垫力传感器测量负荷率的步态分析(loadsol,Novel,慕尼黑,德国)。
[Methods: Forty-nine orthogeriatric patients with pertrochanteric fractures were enrolled consecutively in a maximum care hospital in a pre–post study design (level of evidence 2). A study group of 25 patients received nailing (PFNA) with additional cement augmentation (CA group), whereas the control group of 24 patients received the same fracture fixation without cement augmentation (NCA Group). All patients participated in a gait analysis using an insole force sensor to measure the loading rate (loadsol®, Novel, Munich, Germany) on the fifth postoperative day.]

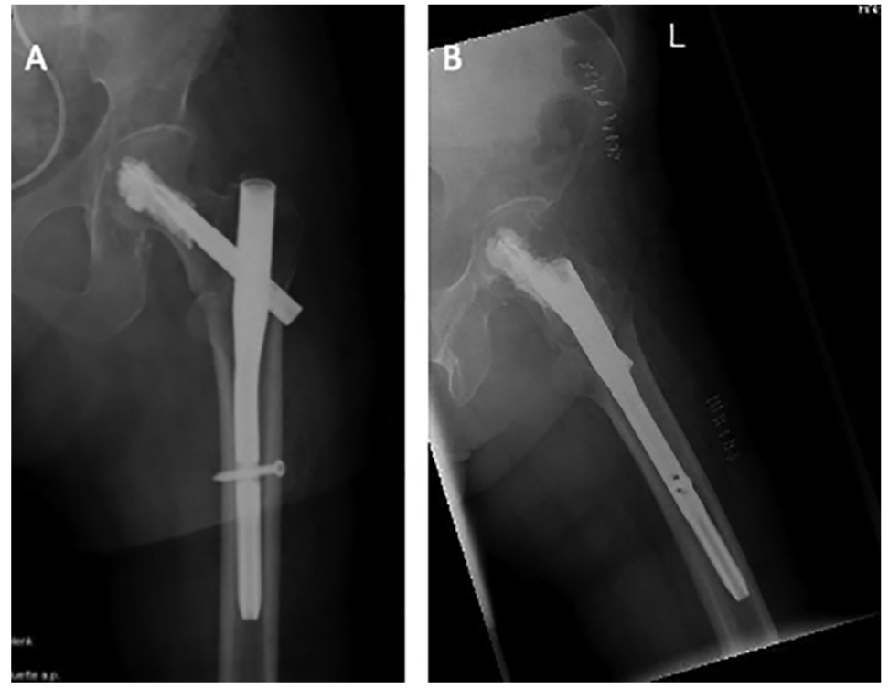
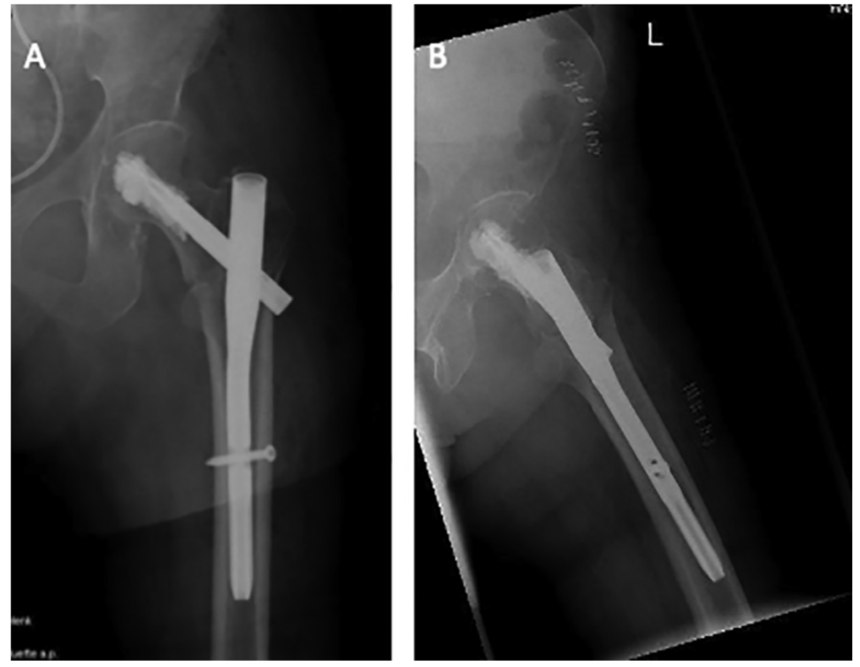
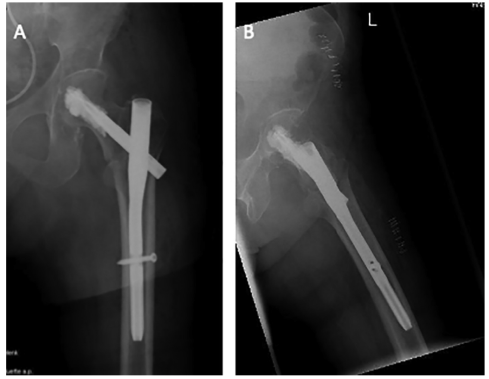
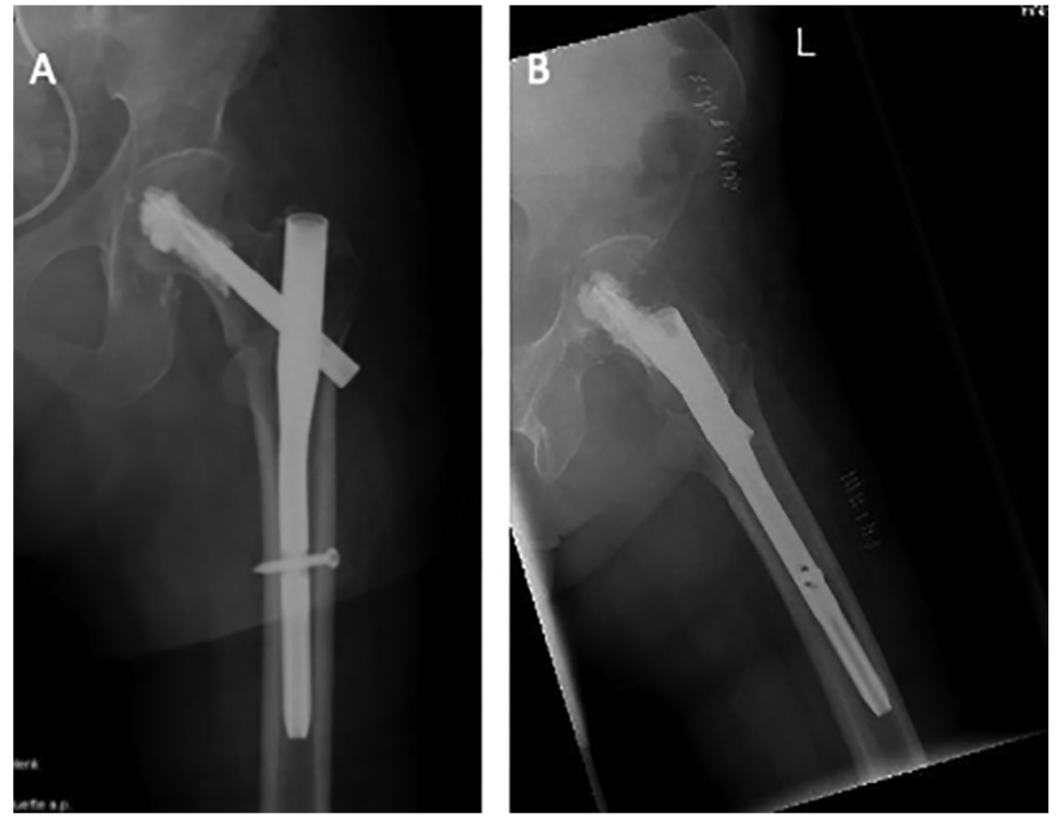
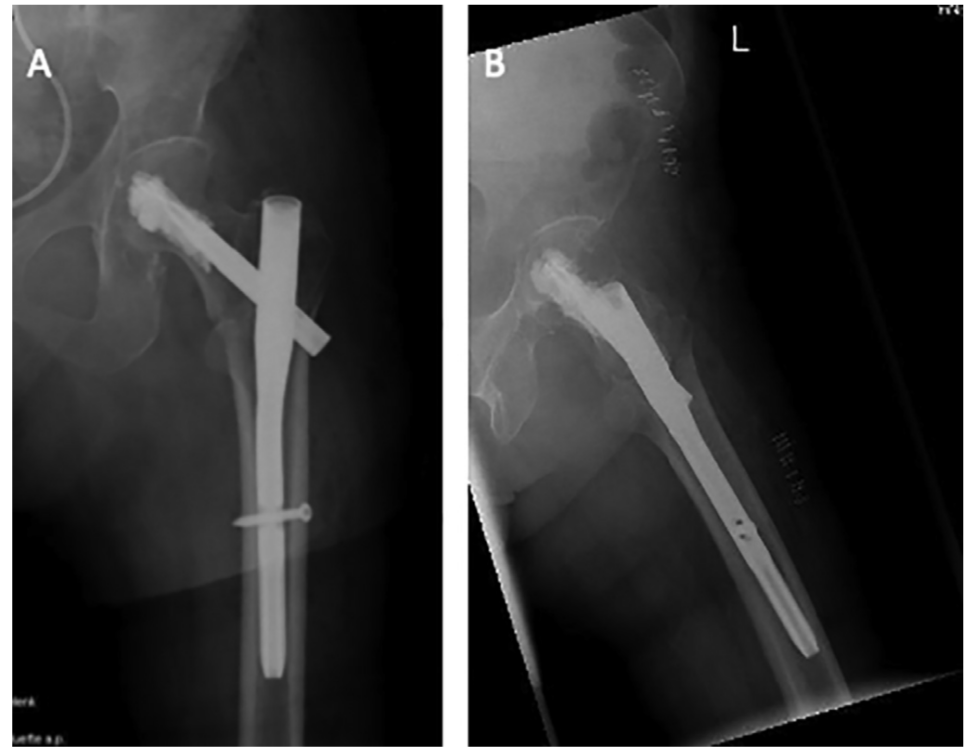
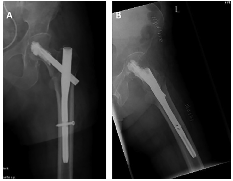
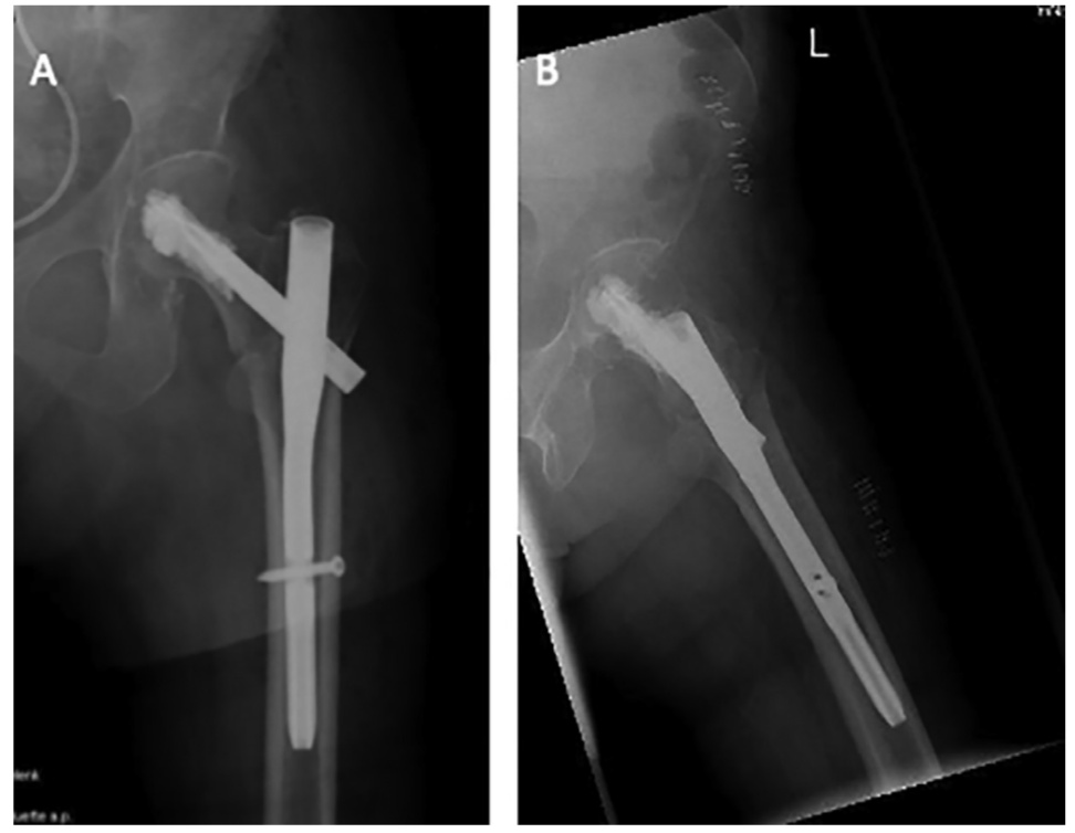
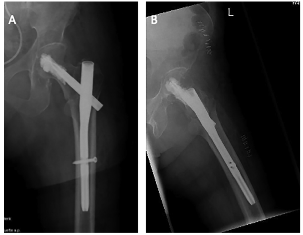
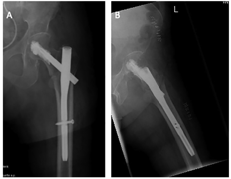
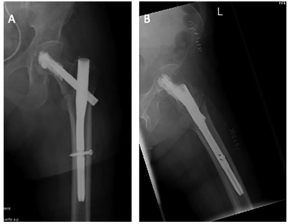
股骨转子间骨折行PFNA内固定,自螺旋刀片注入骨水泥增强。

两组患者年龄、性别、BMI比较。
Results(结果)
NCA组的平均年龄为75.88岁(标准差:9.62),CA组的平均年龄为81.44岁(标准差:7.77)。两组中最常见的骨折类型为股骨粗隆间骨折(NCA: n=20,CA: n=21)两组在ASA分级方面(NCA:2.67;CA: 2.68)和术后Parker活动度评分(NCA:2.67;CA: 2.68)上无明显差异。接受骨水泥强化的患者在术后步态分析中显示出显著(p=0.004)的高负荷率。CA组的负荷率为58.12%(标准差为14.50),而非骨水泥PFNA组的负荷率为43.90%(标准差为18.34)。
[Results: The NCA group showed a mean age of 75,88 years (SD ± 9.62), the CA a mean age of 81,44 years (SD ± 7.77). The most common fracture type was a pertrochanteric fracture in both groups (NCA: n=20, CA: n=21) Both groups showed no differences with regards to the ASA (NCA: 2.67; CA: 2.68) score and the postoperative Parker Mobility Score (NCA: 2.67; CA: 2.68). Patients who received cement augmentation showed a significant (p=0.004) higher loading rate in the postoperative gait analysis. The CA group showed a loading rate of 58.12% (SD ± 14.50) compared to the uncemented PFNA group with 43.90% (SD ± 18.34).]

两组患者术前ASA麻醉分级及术后功能评分比较。

两组患者的负重能力比较。
Conclusion(结论)
老年股骨近端骨折患者的骨水泥强化增加了术后早期负荷率。特别是在骨质量差的体弱患者中,为了减少并发症和提高存活率,应考虑增加骨水泥量,以增强早期活动能力,并承担全部重量。
[Conclusion: Cement augmentation in elderly patients with a proximal femur fracture increased the early postoperative loading rate. Especially in frail patients with poor bone quality cement augmentation should therefore be considered to enhance early mobilisation with full weight bearing in order to reduce complications and improve survival.]