首页/骨科精读/股骨颈骨折内固定治疗的手术技巧,一篇总结到位!/
股骨颈骨折内固定治疗的手术技巧,一篇总结到位!
2023-08-25 15:09:112572浏览
股骨颈骨折内固定治疗的手术技巧,一篇总结到位!

股骨颈骨折是临床较常见的骨折,发病率约占髋部骨折的50%,最常见于骨质疏松老年患者,多由跌倒等低能量损伤引起,年轻人股骨颈骨折发生率较低,多由车祸、高处坠落等高能量损伤引起。目前股骨颈骨折的治疗方案多种多样,然而在临床诊治中还存在诸多问题。随着人口老龄化进程的加快,股骨颈骨折发生也迅速增多。

对于绝大部分股骨颈骨折患者,首选手术治疗,尤其是年轻患者或者骨骼条件较好的老年患者,手术治疗目标是尽量保留股骨头、避免股骨头坏死,并达到骨性愈合,首选闭合或切开复位内固定治疗。

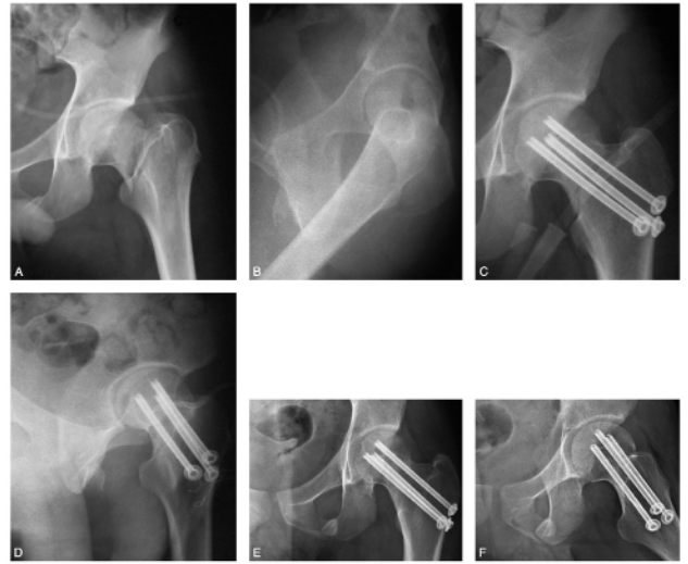
病例简介:患者,男,19岁。因车祸致伤左髋部,伤后4小时来北京积水潭医院急诊,经体检拍片(图62-1),诊断为股骨颈骨折(左,GardenⅣ型)。

手术指征的选择

股骨颈骨折行内固定术的适应证包括:移位型股骨颈骨折、嵌插型股骨颈骨折及部分无移位型股骨颈骨折。患者年龄是一个参考指标,年龄超过65岁可以考虑行人工关节置换术,但骨骼质量、患者的生理年龄及伤前活动能力对于手术方案的选择更为重要。

手术禁忌证包括:患侧髋关节中度以上的骨性关节炎;类风湿关节炎;股骨头缺血坏死;骨骼质量差难以获得稳定固定;预期寿命较短以及病理性骨折。

股骨颈骨折的复位质量对于预后非常重要,理想的目标是获得解剖复位。但正侧位影像监视下获得的良好复位仍有可能存在一定程度的移位,因此应通过多个角度透视观察复位情况。多数股骨颈骨折通过闭合方法可以获得满意的复位。试行闭合复位不能成功时,不应反复操作,应有限切开前关节囊行撬拨复位或直视下复位。前关节囊切开的意义还在于清除关节内血肿,降低囊内压,改善股骨头血供。由于股骨头供应血管很少位于前方,因此前关节囊切开不会带来对股骨头血运的额外损害。但目前前关节囊切开尚不作为常规手段应用。

图62-1 股骨颈骨折患者术前及术后系列X线片A、B.术前正侧位X线片;C、D.术后当日正侧位X线片;E、F.术后10周正侧位X线片,显示骨折已愈合

术前计划与手术技巧

应拍摄双髋正位及患髋侧位X线平片及患髋CT扫描。CT能更准确地反映骨折的移位及粉碎程度。对于骨折端粉碎严重或骨质较差的患者,空心钉固定术后易发生内固定失效和转子部位骨折的并发症,应选用DHS固定。

对于移位型股骨颈骨折,术前可予小重量(一般为2.27kg)布兜牵引,以缓解局部疼痛,但理论上存在使关节囊压力增高,影响股骨头血供的危险性。对于无移位型及嵌插型骨折,则不必牵引。对于多发骨折患者,股骨颈骨折多数情况下应优先治疗。

手术时机:

股骨颈骨折内固定手术应作为一个相对急诊手术看待,尤其是对于年轻患者更应如此。在伤后12小时内手术有助于减少股骨头缺血坏死的发生。本例患者于伤后11小时行骨折闭合复位,经皮空心钉内固定术。骨折复位及固定良好。

全麻或椎管内麻醉均可。对于老年合并内科疾病的患者,椎管内麻醉对全身干扰较小,更为适合。患者仰卧位放置于骨折牵引床上,患侧下肢置于中立位,对侧肢体外展,牵引床会阴柱置放于会阴部偏患侧,应注意避免挤压阴囊。放置C形臂或G形臂X线透视仪,调整其位置至获得标准的正侧位影像(图62-2)。

闭合复位:

股骨颈骨折后骨折端通常的移位方式表现为远端上移、外旋及股骨头后倾。

因此复位顺序依次为:①牵引患肢:应逐渐、轻柔地施加牵引力,严格根据正侧位影像决定牵引力的大小,一定要避免发生过牵而导致骨折端分离。②调整肢体旋转位置:在影像监视下逐渐内旋肢体,通常患肢在轻度内旋位可以获得满意的复位。③逐渐内收肢体。

通过以上步骤,骨折远端的上移、外旋得到纠正,股骨头后倾由于牵引使关节囊紧张而得到纠正,多数股骨颈骨折通过以上步骤可以获得满意复位。

一些骨折可能由于关节囊撕裂无法通过牵引纠正股骨头后倾,此时可把患肢从牵引床上松开,屈膝屈髋90°行轴向牵引,然后逐渐内旋并内收髋关节,再逐渐伸直髋关节(Leadbetter法)。若仍不能纠正股骨头后倾,可让助手维持患肢于屈髋牵引位,以远端对近端,恢复股骨近端轴线后快速向股骨头内打入2枚克氏针,再缓慢伸直髋关节,注意克氏针务必不能穿入髋臼内。

撬拨复位:

通过上述闭合复位方法不能获得满意复位者,可试行撬拨复位。在大转子下方偏前侧作约2cm皮肤切口,切开筋膜及肌层,沿股骨颈前缘插入1枚斯氏针越过骨折端,透视下定位后钻入股骨头内,即可以斯氏针控制股骨头,影像监视下调整其位置至获得满意的骨折端对位。

切开复位:

对上述方法仍不能获得满意复位者,需行直视下切开复位。沿大转子向下作约8~10cm的直切口,切口近侧弧向前方髂前上棘方向(图62-3)。沿皮肤切口线切开阔筋膜以及臀中肌与阔筋膜张肌的间隙,并部分切断股外侧肌的止点。辨认髋关节前关节囊并清除其前方脂肪组织,以一把尖撬插至髋臼前缘以助显露。

T形切开(远侧沿股骨颈基底,近侧沿股骨颈轴线)前关节囊,以缝线标记关节囊边缘并牵开关节囊,吸出关节内积血后即显露出股骨颈骨折端。近骨折端通常后倾,可用骨膜剥离器等器械协助向前抬起,远骨折端可在大转子下插入Schan针,连接手柄,通过手柄牵引并纠正旋转及前后方向移位。直视下获得解剖复位后,即以2~3枚克氏针临时固定。

图62-3 股骨颈骨折切开复位皮肤切口

固定:

闭合复位满意者,可在大转子下3~4cm处作约2cm皮肤切口,切开阔筋膜。影像监视下首先打入近侧(或远侧)1枚导针,再通过平行导向器打入另两枚导针。通常3枚导针呈正三角形分布,3枚导针应尽量分散,避免集中。下方两枚导针尽量贴近股骨颈内侧皮质,以增加螺钉在骨内的把持力,但其入点不能低于小转子下缘,以免术后发生转子下骨折。

上方导针在侧位影像上位于股骨颈中部或偏前侧,以避开股骨颈后上方滋养动脉进入股骨头的主要区域(图62-4)。通常用3枚7.3mm自攻空心螺钉固定,钻孔时钻透皮质即可,不需攻丝,最好选用钛材料螺钉,以方便术后MRI检查。对于股骨颈后方皮质粉碎或有缺损者,应首先拧紧前方2枚螺钉,最后拧紧后方螺钉时避免加压,以免股骨颈后方压缩,骨折端向前成角。同样对于上方皮质有压缩者(外展嵌插型骨折),应最后拧紧上方螺钉,并避免加压。对于骨质较差者,螺钉尾部必须加用垫片。螺钉尖部距股骨头软骨面下应在5~10mm;为避免螺钉尖端穿出股骨头,通过多角度透视加以确认。

对于切开复位者,固定完成后,应严密缝合关节囊,并放置负压引流管至术后48小时以内。

图62-4 平行导向器的使用及空心钉导针置放A.平行导向器的使用;B、C.正侧位影像中的导针位置,呈正三角形平行分布,导针位置应尽量分散

术后治疗及并发症

术后第一天即可令患者坐起,并行髋、膝关节被动活动。术后2~3天可扶双拐下地,患足平放于地面,站立时应避免屈髋屈膝患足离地位,以免增加股骨颈部肌肉收缩力所致的负荷。对于骨质较好、复位满意、固定可靠者,患肢可早期负重达15kg。如骨折端未能解剖复位,患肢早期应避免负重。对于高龄患者可扶助行器行走,在床上应禁止做直腿抬高练习。术后每月一次复查正侧位X线片,直至骨折愈合,期间可逐渐增加患肢负重。

术后复查时可发现“钉尾外退”现象,轻度退钉是愈合过程骨折端吸收所致,不影响骨折愈合。对于退钉较多者,应嘱患者停止负重。骨折愈合后,应每3~6个月复查一次,直至术后3年,以便早期发现股骨头缺血坏死。术后第一天下地,扶双拐部分负重至术后2个月改用单拐,术后3个月弃拐完全负重行走。骨折于术后10周愈合,至术后5年未发生股骨头缺血坏死(图62-1)。

股骨颈骨折内固定术后的早期并发症主要是内固定失效及骨折再移位。年轻患者的骨折愈合率可达90%~95%。导致早期内固定失效及骨折再移位的主要原因为骨折复位不良。老年患者由于骨质较差,其内固定失效及骨折不愈合率可达约20%。发生内固定失效和骨折再移位后,可根据患者情况选择再次内固定加植骨术或人工关节置换术。另一主要并发症为股骨头缺血坏死,发生率约为30%。

原始骨折移位程度较大,骨折复位不良,年龄较小以及伤后延迟手术是发生股骨头缺血坏死的危险因素。发生股骨头缺血坏死并非一定意味着严重的功能障碍和疼痛,相当数量的股骨头缺血坏死患者没有明显的临床症状,尤其在老年患者表现如此。只有当股骨头缺血坏死患者出现明显的临床症状时,才需要行人工关节置换术。

友情链接: