首页/口腔正畸/深覆合的矫治方法!/
深覆合的矫治方法!
2022-11-15 10:10:442106浏览
深覆合的矫治方法!

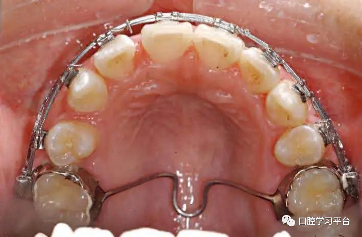
(一)压低前牙——典型的Burstone片段弓

不把弓丝纳入槽沟,把辅弓结扎在前牙段主弓丝上,通常结扎点位于2的远中。通过调整辅弓位于磨牙颊管近中的后倾弯曲度,控制施加在前牙段的压低力。压低每个切牙的力量是80~100gf。压低辅弓的另外一个作用是保持主弓丝平直状态,增强后牙支抗。简洁地解释就是让压低辅弓加力后的形态正好能够抵消尖牙远中倾斜移动产生的过山车效应。

(二)升高后牙

(1)很多深覆合,不是单纯的前牙问题,同时伴有后牙高度不足。平导能够促进后牙伸长。临床上Ⅱ类患者出现的深覆合更适合使用斜导。不过斜导使用的前提是,上前牙的前后向位置已经达到理想位置。斜导不仅能够解除Ⅱ类关系,同时还能升高后牙打开咬合。

(2)在矫治中出现的深覆合,多数情况是上颌磨牙颊倾,下颌磨牙舌倾。这是磨牙支抗丢失的表现,解决方法是交互牵引。因此在拔牙病例矫治过程中,每次复诊都要检查磨牙的咬合关系。由于我们推荐拔牙病例常规使用TPA,避免了上颌磨牙颊倾的情况。

此时交互牵引更多的是直立舌倾的下颌后牙。同时升高后牙,压低前牙。

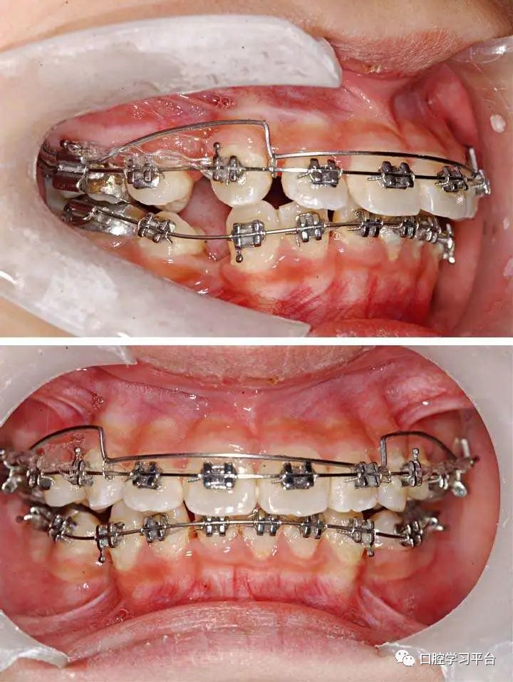
(三)Begg矫治技术Tip-Edge矫治技术最经典的打开咬合的方法

使用澳丝,磨牙区的后倾弯使前牙段弓丝位于前庭沟位置,把激活的澳丝拉下来纳入槽沟时,后倾弯会对前牙产生压入的作用。在此基础上轻力Ⅱ类牵引不仅促进下后牙升高,Ⅱ类牵引对前牙区产生远中的分力配合上前牙澳丝的压入力量,两个力量的合力能够通过牙齿长轴产生压入的力量。由此,调整澳丝后倾弯激活程度和Ⅱ类牵引的力量可以对上前牙产生三种移动方式:压入内收,纯粹的沿着牙体长轴压入,压入唇倾。

友情链接: