首页/口腔正畸/下颌骨解剖CBCT影像汇总!/
下颌骨解剖CBCT影像汇总!
2022-11-15 10:24:071063浏览
下颌骨解剖CBCT影像汇总!

(一)解剖基础

下颌骨由下颌体及下颌升支两部分组成,似马蹄形;

下颌体分为内面、外面、牙槽突和下颌体下缘;

下颌升支由喙突、髁突、内、外面四部分组成;

下颌骨牙槽突的内侧骨板和外侧骨板都由骨密质构成,松质骨被内外侧骨板包绕其中。

(二)下颌骨及其邻近结构CBCT影像

1、水平位影像经下颌体颏孔区层面水平位图像1.颏孔 ; 2.右下尖牙牙根; 3.左下第一前磨牙牙根; 4.下颌体

经下颌后牙牙冠处层面水平位图像

1.左下第一磨牙; 2.下颌神经管; 3.左下第二前磨牙 ; 4.左下第二磨牙; 5.左下第三磨牙 ; 6.下颌升支

经下颌升支中份层面水平位图像

1.下颌孔 ; 2.右上第一磨牙; 3.左上中切牙; 4.下颌升支

经下颌升支中份层面水平位图像

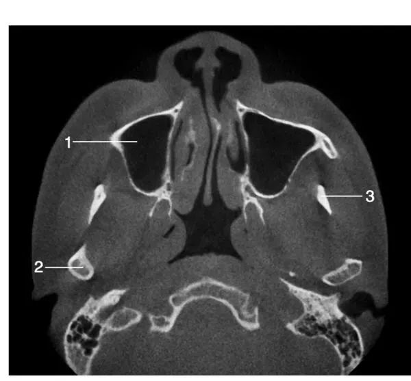
1.右侧上颌窦; 2.右侧髁突 ; 3.左侧喙突

2、矢状位影像经髁突中份层面矢状位图像1.喙突; 2.关节结节; 3.髁突; 4.乙状切迹 ; 5.下颌升支


经下颌第一磨牙处层面矢状位图像

1.颏孔 ; 2.下颌第一磨牙 ; 3.下颌第二磨牙;4.下颌下缘

经下颌中线处层面矢状位图像

1.颏棘; 2.下颌中切牙 ; 3.上颌中切牙

3、冠状位影像

经下颌双侧颏孔处层面冠状位图像

1.下颌第二前磨牙; 2.颏孔 ; 3.下颌体; 4.上颌第二前磨牙

经下颌第三磨牙处层面冠状位图像

1.左下第三磨牙 ; 2.下颌神经管; 3.喙突 ;4.下颌升支

经下颌双侧髁突处层面冠状位图像

1.髁突; 2.茎突; 3.关节间隙 ; 4.关节凹顶部

友情链接: