首页/口腔种植/种植支抗在临床上的应用,满分攻略就看这篇!/
种植支抗在临床上的应用,满分攻略就看这篇!
2022-11-17 10:40:285471浏览
随着口腔种植学的发展,颌骨内种植体已成为口腔正畸治疗中的一种支抗结构。此项技术是口腔正畸学和口腔种植学学科交叉而形成的技术,是将种植体植入齿槽骨或者颌骨内,进而承受正畸矫治力,因而也称为骨性支抗。

正畸种植体支抗,一种不依赖于患者配合的稳固的支抗源。在隐形矫治病例中,由于隐形矫治器擅长“推”力,不擅长“拉”力,故同样也起到较为重要的应用作用。

01 关于支抗钉

支抗钉的结构:直径和长度、头部、光滑部、螺纹部及锥度

植入方式不同分类:自攻型和助攻型

自攻型微种植体的尖端和螺纹一般比助攻型微种植体锋利 使用自攻型微种植体时,要相当小心,以防损伤牙根,尤其是微种植体直径较粗(≧1.5mm)时  

钛钉、不锈钢钉

自攻型:微钛钉种植体自身可以直接攻入皮质骨,不需要骨钻引导,甚至不需要用圆钻钻开骨皮质。主要应用在上下前牙区、上颌颊侧、腭侧、下颌颊侧;

不建议钉子直径过细;手动植入时缓慢,保持只有旋转,不要有线性移动,力量柔和,5-15N*cm;注意感受压力的变化;穿透骨皮质需要一定压力,穿透后仍需用力,提示可能碰到牙根。

自攻型注意,骨皮质厚,楔形植入容易导致骨面涨裂,患者会有明显疼痛感

助攻型植入前需要先用圆钻钻开骨皮质,然后用骨钻形成通道以引导植入,最后将螺钉自身顺通道拧入。主要应用在上颌腭侧、下颌颊侧、磨牙后区;种植机或根管治疗用反向弯头手机,先锋钻钻速300-500转/分,不使用过大压力,减小产热,钻孔方向稳定,防止扩大孔径。

种植支抗钉尺寸的选择

根据骨类型,骨密度,牙根间距、粘膜厚度的不同,上下颌可以划分为不同区域,分别用紫(6mm)、橙(8mm)、蓝(10mm)、黄(12mm)四种颜色标记,这些区域就是传统的可植入部位,每个部位所选择的支抗钉也相应会有所差异。

  • 微种植体长度选择

    上颌≥6mm    下颌≥5mm

  • 微种植体直径的选择

直径1.2mm-1.3mm的种植体在植入部位骨皮质良好的情况下,最大可以承受450g的力。如果骨嵌合不够紧密/骨密度较低/施加较大正畸力——直径1.4mm-1.6mm(可能较难取出)。直径规格

推荐植入位置

1.4mm

中切牙之间;中切牙与侧切牙之间;侧切牙与尖牙之间

1.6mm

5、6牙位之间;腭侧牙根之间;腭中缝两侧

2.0mm

腭牙槽嵴处;下颌骨外斜线

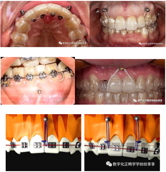
02 种植支抗钉的植入位置

上下前牙区:可位于中切牙之间(1、1之间)、中切牙与侧切牙之间(1、2之间),也可以位于侧切牙与尖牙(2、3之间)之间

具体位置根据牙根位置及加载方式决定。用于垂直向调整前牙,改善露龈笑等情况;

常用自攻型

上颌距牙槽嵴顶约6mm处

下颌膜龈联合上方1mm处垂直骨面,避开牙根如果是中切牙之间,注意系带的影响推荐6mm支抗钉

上下颌颊侧尖牙与第一前磨牙之间(3、4之间):主要用于磨牙远移,防止前牙过度唇倾,颊向压低牙列,调整牙根直立,颌间牵引等情况;从膜龈联合处或其牙合方植入,大约距离牙槽嵴顶5-6mm的位置;垂直骨面,根间距中间,推荐支抗钉长度8mm;

上下颌颊侧前磨牙与第一磨牙之间(5、6之间),磨牙之间(6、7之间):主要应用内收前牙和压低磨牙,颌间牵引等情况;推荐水平方向牙槽嵴顶6mm,根间距中央,倾斜牙槽骨面,避开牙根;

推荐支抗钉长度8mm;

颧牙槽嵴:主要作用是内收前牙,远中整体移动牙列以及改善安氏二类尖牙与磨牙关系。在压低磨牙应用时,还需要腭侧同时使用微种植支抗等情况;

颧牙槽嵴处骨质致密,骨量充足,微种植支抗理想的植入位置;

位置更接近牙齿的阻抗中心,支抗强度大,在整体远中移动上牙列时,作用显著。同时在内收前牙时,还起到了压低前牙的作用,对于安氏二类患者开唇露齿改善作用明显,颧牙槽嵴位置较高,不易出现矫治过程中植体与牙根接触的情况;

成人植入位置可选择在6上方,也有延伸至7上方。青少年则考虑在5、6之间,植入前临床医生注意用手触摸了解其口内实际情况走形。推荐支抗钉长度:12mm,助攻型。风险注意:并非所有患者都适合颧牙槽嵴种植钉的植入,颧牙槽嵴解剖形态的各系差异非常明显。此处植入容易穿破上颌窦底,植入角度需注意;骨质较为坚硬,支抗钉易折断。一般植入角度向牙合面旋转60-70°

上颌腭侧:常用于压低磨牙等情况,跟进具体牙齿拟移动改善方式进行位点设计;牙根之间,冠状面斜向下,避免过于水平未钻入牙槽间隔,距离龈缘6mm-8mm之间处,支抗钉与腭部骨面成70-90°角;无需切开软组织,尽量靠硬腭;推荐支抗钉长度8~10mm;注意腭大孔、切牙孔;

下颌颊棚区/外斜线:

常用于压低磨牙,矫治开颌,直立倾斜牙齿,内收前牙,防止下颌磨牙近中移动或倾斜,垂直向控制等情况;

术前用手摸,越平越好植入,如果骨皮质太硬,要助攻;

植入骨皮质约3mm厚,膜龈联合下方2-3mm,自攻/助攻,推荐支抗钉长度8~10mm;

03 种植支抗应用

前牙种植支抗应用:

解除深覆合,配合垂直向控制:内收前牙远移磨牙

调整中线

压低牙齿矫治颌平面倾斜等

后牙种植支抗应用:

最大支抗内收

防止及纠正由于支抗丧失引起的磨牙近中倾斜及开颌

友情链接: