搜索
学习中心
登录
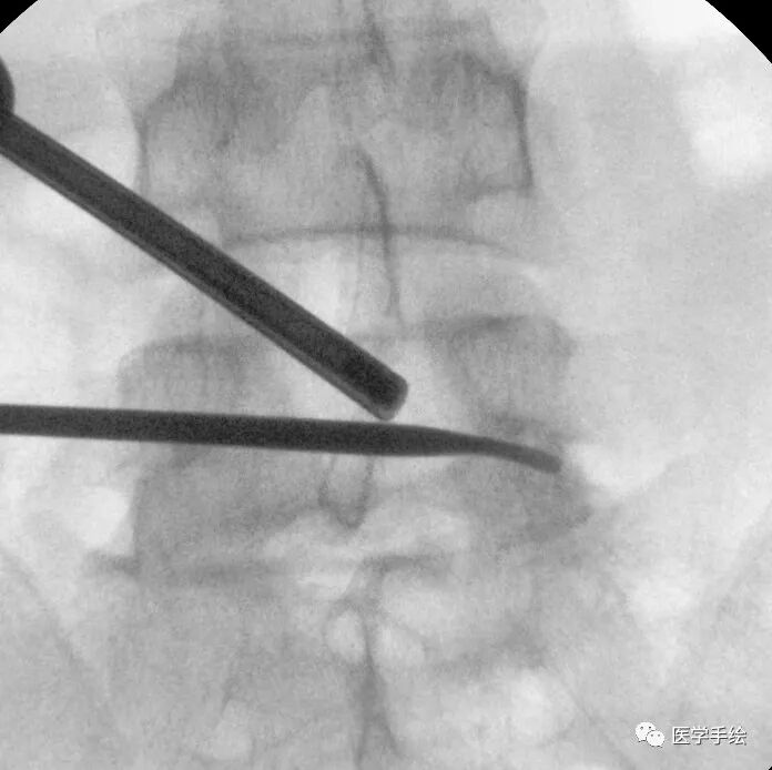
为了避免translamina入路棘突磨穿风险,我们尝试先显露对侧椎板上缘明确对侧椎板方向。
在对侧椎板上缘指示方向下行translamina操作,直至显露对侧黄韧带上缘和椎间孔区域黄韧带
经translamina入路探及下位椎弓孔区域的范围
看到下位椎间孔区域的上关节突尖
02