首页/脊柱/PEID治疗开放手术后复发腰椎间盘突出症!/
PEID治疗开放手术后复发腰椎间盘突出症!
2022-11-21 11:17:32813浏览
PEID治疗开放手术后复发腰椎间盘突出症!

对于开放手术后复发的腰椎间盘突出症,由于神经和瘢痕组织之间的解剖平面难以区分,以及对后方结构的再次损伤,可能引起出血、感染、硬膜囊撕裂和神经损伤等额外损伤。

经皮内镜经椎间孔椎间盘切除术可通过椎间孔引入内镜,避免瘢痕组织形成,治疗复发性腰椎间盘突出症技术与初次手术非常相似。然而,在椎间孔狭窄和/或高髂嵴的情况下,可选用经皮内窥镜椎板间椎间盘切除术(percutaneous endoscopic interlaminar diskectomy,PEID),但瘢痕组织仍是一个技术挑战。

手术技术

全麻后,行椎间盘造影在小关节内侧缘与棘突间的椎板间隙做8mm切口透视引导下于椎板间窗外侧缘置入直径6.9mm的扩张器,并用扩张器触及小关节内侧缘和椎板下缘。插入工作通道,置入内镜。在显示小关节内侧缘和椎板下缘后(由于上次手术的椎板开窗,不是所有病例都需要进一步的椎板切除),用环钻和剥离子从小关节内侧缘部分剥离残留黄韧带的瘢痕组织。将工作通道尖端触及小关节内侧骨缘,直视下向前转动通道将瘢痕组织与内侧小关节分离。沿小关节内侧缘向前-外侧缘推进工作通道。

当工作通道的尖端到达椎管腹侧时,可以看到蓝染的椎间盘。用剥离子将瘢痕组织从破裂的椎间盘中剥离,工作通道旋转180度,以扩大瘢痕组织的开口。

如果椎间盘突出较大,则在工作通道旋转之前,在旋转约90度后部分减压:旋转工作通道将瘢痕组织、神经根和硬膜囊牵开,内镜下只能看到破裂的椎间盘。通过工作通道斜面上的开口取出破裂椎间盘。通过纤维环缺损处,摘除残余的椎间盘。旋转工作通道后,确认减压:可观察到部分硬膜囊和附着在瘢痕组织上的神经组织自由活动。手术结束,缝合切口。

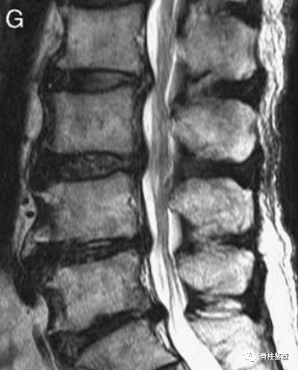
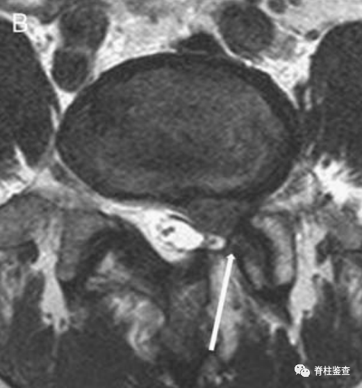
病例1:L5-S1左侧复发椎间盘突出

在瘢痕组织与内侧小关节的交界处剥离瘢痕组织(白色↓)。

术后减压良好,硬膜囊再扩张(白色↓)。

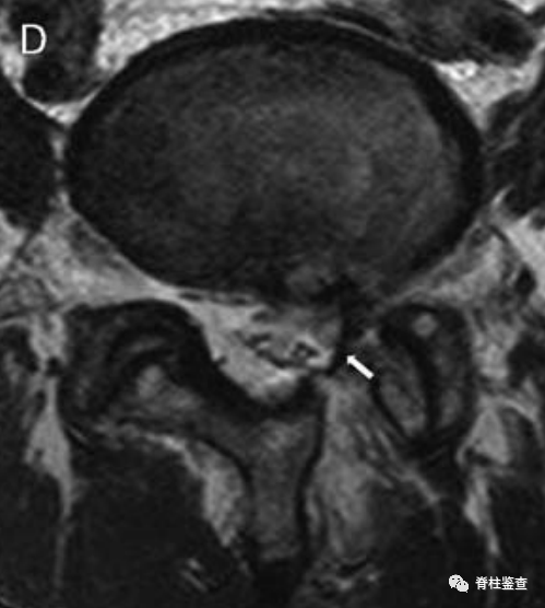
病例2:

L3-L4左侧复发椎间盘突出

上次手术的椎板切除使此次手术无需进一步切除椎板(黑色↓)

引入内镜后,工作通道部分旋转90度可见蓝染的破裂椎间盘(白色↓)。

摘除椎间盘

完全减压后,可以看到神经根的外侧和腹侧部分(白色↓),附着在硬膜上的瘢痕组织未被剥离(黑色↓)。通过纤维环缺损 (双白↓)进一步取出椎间盘。

术后第1天显示,椎间盘充分移除;MR图像中的瘢痕组织限制了硬膜囊的充分扩张(白色↓)。

结论

在手术中,识别骨缘和钝性剥离内侧小关节的瘢痕组织,而不是从神经组织中剥离瘢痕组织,用瘢痕组织保护神经组织,可以避免硬膜囊损伤。

友情链接: