首页/牙体牙髓/牙体吸收CBCT表现!/
牙体吸收CBCT表现!
2022-12-07 11:24:251617浏览
牙体吸收包括生理性吸收和病理性吸收。

(一)生理性吸收

生理性吸收常见于恒牙萌出时导致乳牙牙根吸收(图2-2-7、2-2-8)。

图2-2-7 生理性吸收

CBCT示女,10岁,BⅢ牙根吸收,B3牙胚位于其根方(白色箭头);

(二)病理性吸收

病理性吸收包括牙内吸收和牙外吸收。

牙内吸收是牙髓受到长期、慢性的炎性刺激后,牙髓组织被炎性肉芽组织取代,发生牙内吸收的患牙髓室壁或根管壁变薄,多伴有根尖周炎症,严重者可发生病理性牙折;

牙外吸收可由于炎症、创伤、阻生牙或埋伏牙及囊肿或肿瘤引起,有些正畸治疗后的牙根也可发生吸收。

图2-2-8 生理性吸收

CBCT示男,13岁,CⅤ远中根吸收,C5牙胚位于其根方(白色箭头);发生牙内吸收的患牙髓腔内有局限性扩大,CBCT图像上可显示髓室或根管壁变薄,可伴发根尖周感染(图2-2-9、2-2-10)、根尖吸收、髓腔壁侧穿,严重者可发生牙根折裂。牙外吸收常见于患牙根尖,表现为正常牙体形态的不完整、不连续,如根尖吸收变钝、牙体外表面凹陷状吸收(图2-2-11~2-2-17)。

图2-2-9 B1牙内吸收伴慢性根尖周囊肿

CBCT示B1根管明显增大,髓腔壁变薄(白色箭头),根尖骨质吸收(黑色箭头);

图2-2-10 A2牙内吸收伴慢性根尖周囊肿

CBCT示A2根管明显增大,管壁变薄(黑色箭头),根尖孔未闭合,根尖腭侧骨质吸收明显(白色箭头);

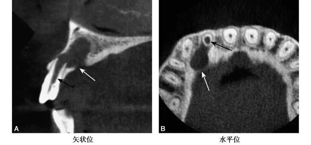
图2-2-11 牙外吸收伴根尖周肉芽肿

CBCT示A6根尖见低密度影(白色箭头),根管内见根充影像,根尖吸收变钝;

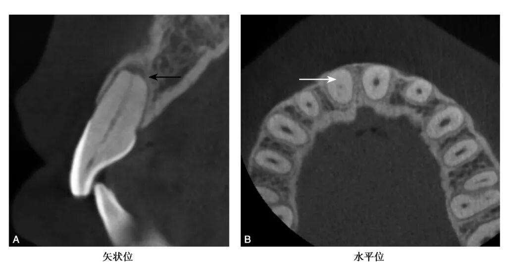
图2-2-12 牙外吸收伴慢性根尖周炎

CBCT矢状位示A2根管内见高密度充填物,根尖形态不完整,根尖周见低密度影;

图2-2-13 牙外吸收(正畸治疗史)

CBCT示A1根尖吸收变钝(黑色箭头所示),牙髓钙化致根管变细(白色箭头示);

图2-2-14 牙外吸收

A. A1、B1牙根吸收变短; B.托槽去除,A1、B1牙根吸收变短(白色箭头);

图2-2-15 牙外吸收

CBCT示B3异位埋伏阻生(白色箭头),B1牙根腭侧被压迫吸收(黑色箭头所示),B1髓腔内见髓石;

图2-2-16 牙外吸收

CBCT示D8水平阻生,D7远中根被压迫吸收(黑色箭头);

图2-2-17 D6牙外吸收

CBCT示D6根分叉处骨质缺损,近中根远中面(白色箭头)、远中根近中面(黑色箭头)见凹陷形低密度影;

友情链接: