
解剖及测量
一、关于解剖

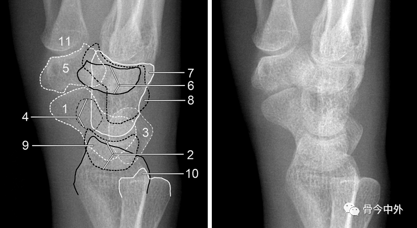
图1 成人期腕关节正侧位及舟骨蝶位片。1.舟骨;2.月骨;3.三角骨;4.豆状骨;5.大多角骨;6.小多角骨;7.头状骨;8.钩骨;9.桡骨茎突;10.尺骨茎突;11.第一掌骨基部。

图2 成人期腕关节正侧位及舟骨蝶位片。1.舟骨;2.月骨;3.三角骨;4.豆状骨;5.大多角骨;6.小多角骨;7.头状骨;8.钩骨;9.桡骨茎突;10.尺骨茎突;11.第一掌骨基部。

图3 成人期腕关节正侧位及舟骨蝶位片。12.舟骨结节。黑色箭头:舟骨腰部;白色箭头:舟骨滋养血管影。
二、测量方法

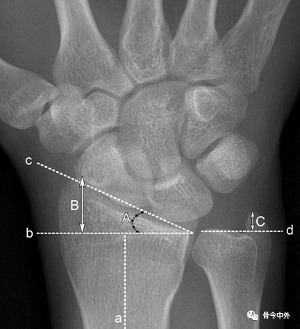
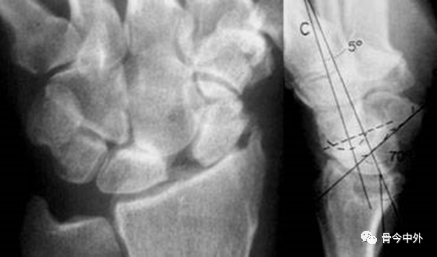
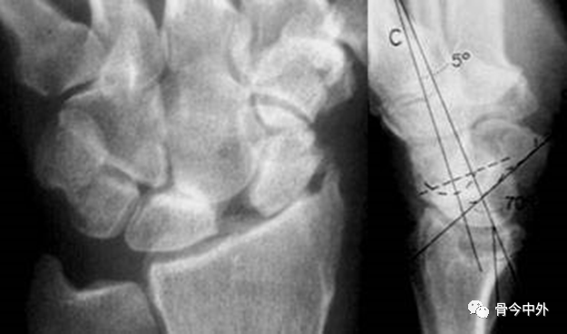
图4 a.桡骨纵轴线;b.桡骨纵轴线垂线;c.桡骨远端关节面切线;d.尺骨远端关节面水平线。A.桡骨内倾角;B.桡骨茎突长度;C.尺骨茎突长度 。
A.正常为15~35˚ 。若此角度改变,提示桡骨远端骨折或腕关节脱位。
B.正常为8~18mm,且桡骨茎突较尺骨茎突低1~1.5cm。若此长度改变,提示桡骨远端骨折。C.正常为2~8mm。若此长度改变,提示尺骨茎突骨折或尺骨茎突过长(尺骨茎突撞击综合症)

图5 左:正尺骨变异;右:负尺骨变异

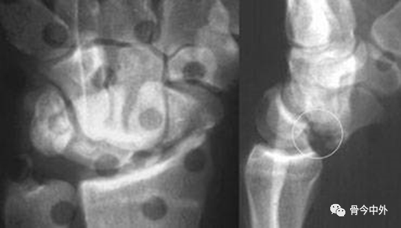
图6 尺骨茎突撞击综合症。男-44Y,慢性严重腕尺侧痛。尺骨茎突长约10mm(箭),月骨-三角骨间隙狭窄及退变(箭头)。

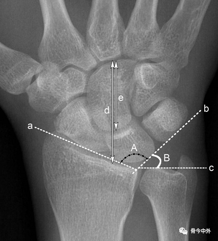
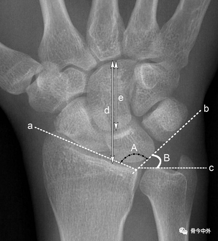
图7 a.舟骨、月骨切线;b. 月骨三角骨切线;c.尺骨远端关节面切线;d.腕骨总高度;e.头状骨长度。A.腕骨角;B.尺腕角 。
A.约130°。腕关节骨折、脱位时此角增大,此角减小见于Madelung畸形和卵巢发育不全。
B.正常为21~51˚。若此角度改变,提示腕骨骨折或腕关节脱位。
*腕骨高度指数:d与第3掌骨长度的比值,正常范围0.54±0.03。Nattrass腕骨高度指数为d/e,正常范围1.57±0.05。在月骨缺血坏死、不稳定型舟骨骨不连、腕关节不稳时,腕骨高度指数减小。

图8 Madelung畸形 。腕骨角约100°(<130°),对侧亦呈类似改变。

图9 月骨缺血性坏死。月骨密度不均匀增高,形态不规则、变扁,Nattrass腕骨高度指数约1.35(<1.52)。本病例存在尺桡骨骨折所致的正尺骨变异(尺骨远端超过桡骨2mm以上),月骨坏死考虑尺桡撞击综合症所致。

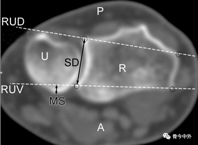
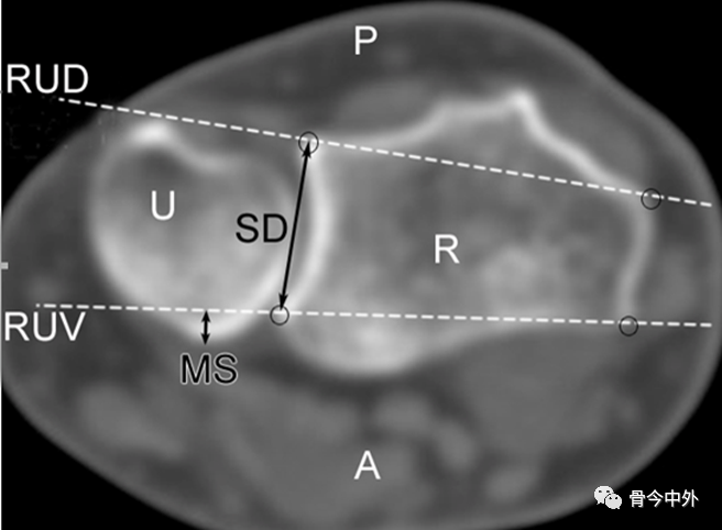
图10 Nakamura法桡尺远侧关节半脱位CT诊断(CT横断面)。只有MS大于1/4SD时,可诊断为半脱位。MS:尺骨半脱位部分的最大宽度;RUD:桡尺背侧连线;RUV:桡尺掌侧连线;SD:乙状切迹的直径;U:尺骨;R:桡骨;P:背侧;A:掌侧。(注意:扫描时,肘关节伸展,前臂最大程度旋前或旋后)。

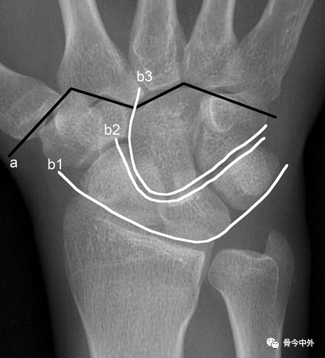
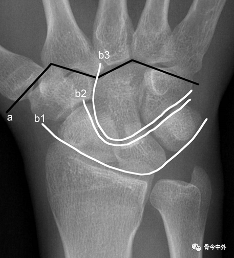
图11 a. M形腕掌线 b.腕骨弧线(Gilula线)
若显示腕骨弧线不连续或各弧线不平行,或腕掌线M形结构消失,应高度怀疑腕关节不稳或脱位。

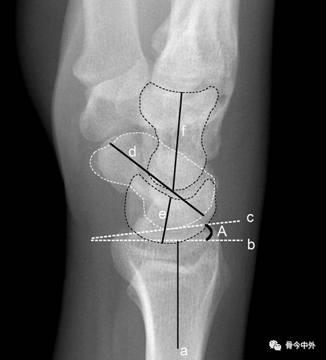
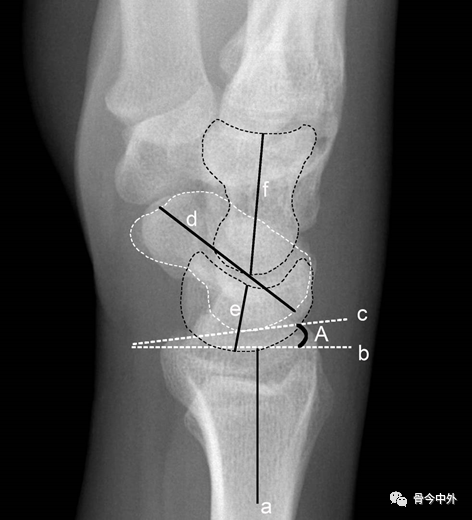
图12 a.桡骨纵轴线;b.桡骨纵轴线垂线;c.桡骨远端关节面切线;d.舟骨轴线;e.月骨轴线;f.头状骨轴线;A桡骨前倾角。
A.正常为0~20˚。若此角度改变,提示桡骨远端骨折。
- ①桡月角(-15°~15°)
- ②桡舟角(30°~60°)
- ③舟月角(30°~60°)
- ④头月角(-15°~15°)
- 在腕骨脱位、半脱位及腕关节失稳时,腕角表现异常。
分析诊断
1.摄片体位

图13
摆位:PA位:腕、肘需与肩同高,此位置尺桡骨才会平行。降低手臂桡骨将与尺骨交叉而相对缩短,此时不可能判断尺骨长度(正或负尺骨变异);侧位:肘需内收,肩、肘、腕也要在一个平面。此位置使侧位刚好与PA位垂直。
2.关节间隙

图14
腕关节间隙应小于等于2mm。仅桡腕关节间隙稍宽。腕掌关节间隙略窄于中腕关节。
头月关节间隙宽度作为基准,其他关节间隙以之为对照。

图15
上图显示月骨和头状骨、钩骨、三角骨异常重叠,而舟骨与其也不平行,桡月关节间隙异常增宽,其它腕骨间隙平行而匀称。此为单纯月骨脱位。
3.腕骨弧线
Gilula 提出三个平滑的弧形勾画出近侧列和远侧列腕骨。弧 I 把舟骨、月骨和三角骨近端关节面连在一起;弧 Ⅱ 勾画出上述骨远端凹面;弧 Ⅲ 由头状骨和钩骨远端凸面所形成。

图16腕骨弧。在正常腕关节背掌位X线片上3个平滑的弧线勾画出近侧列和远侧列腕骨。

图17
腕骨弧线中断;弧线中断提示骨折或韧带断裂导致的半脱位或脱位。上图显示弧线Ⅰ在月骨-三角骨关节处的中断。

图18
弧线Ⅱ 中断于舟月关节和月骨-三角骨关节(上图)。弧线Ⅰ虽有缺口但仍呈光滑弧线,可认为是完整的。

图19
弧线Ⅲ中断,上图显示头状骨-钩骨关节异常阶梯状改变。
4.腕骨形状

图20 不同体位月骨形状
月骨呈梯形,近侧边缘平行于远侧边缘。月骨若倾斜则呈三角形。仅通过此形状的变化还不能判断月骨是否脱位,因为位置改变,月骨形状也会改变。可能是月骨脱位伴倾斜或仅仅是倾斜。

图21 左:月骨脱位;右:月骨周围脱位
月骨和月骨周围脱位:腕关节中立位置的背掌位和侧位X线片足以诊断月骨和月骨周围脱位。侧位像可以清晰显示在桡骨远端上方的月骨、头状骨和第三掌骨长轴呈直线状排列,这条线任何一点的中断都能确定半脱位或脱位的诊断。
当头状骨保持在直线上,一旦月骨成角度离开桡骨远端表面,月骨脱位即可被识别(图22A)。
同样的,在背掌位投照时,由舟骨远端凹面、月骨、三角骨所构成的弧线 II 的中断和相伴随的月骨三角形外观也可以诊断月骨脱位(图22B), 月骨脱位也能有效地从CT上显示,尤其是3D CT的重建图像(图23)。

图22 月骨脱位。(A)在腕关节侧位像上,月骨脱位时脱离由第三掌骨、头状骨和桡骨远端的长轴排列,月骨向掌侧旋转和移位。(B)背掌位投照显示弧线 II 在月骨位置中断。注意月骨的三角形外观及月骨脱位的征象。

图23 骨脱位伴舟骨骨折的3D CT表现。腕关节前位(A)及轴位(B)重建图像示舟骨骨折(箭头)和月骨掌侧移位(弯箭头)
在腕关节侧位片上,一旦头状骨长轴骨偏离月骨和桡骨远端表面所形成的直线而向背侧成角或掌侧成角,即可诊断月骨周围脱位。
月骨周围脱位时虽然月骨半脱位造成一定程度的月骨倾斜角,但月骨仍保留在与桡骨远端表面所形成的关节内(图24A)。
在背掌位片上,腕骨的近侧列和远侧列重叠、弧线 II 和弧线 Ⅲ 在头状骨的位置中断,提示月骨周围脱位(图24B)。

图24 月骨周围脱位。(A)腕关节侧位X线片显示典型的相对于月骨的头状骨背侧移位,虽然月骨轻度掌侧旋转,但仍保留在与桡骨远端所形成的关节内。注意第三掌骨、头状骨与月骨和桡骨远端所形成的直线中断。在背掌位投照X线片上(B),月骨周围脱位表现为由弧 II 和弧 Ⅲ 的中断所造成的腕骨近侧列与远侧列的重叠。
5.腕骨轴线
在腕关节侧位片测量舟骨、月骨和头状骨的轴线有助于判断腕骨的空间关系。

图25 舟骨轴线
中轴线:近极和远极中点连线,常难以分辨;腹侧切线:与中轴线几乎平行。

图26
月骨轴线
通过近侧凸面和远侧凹面中点的连线,与通过月骨掌侧和背侧边缘的连线垂直(左图)。
舟月角(右图)
正常:30– 60°
可疑异常:60– 80°异常:> 80°,提示腕关节不稳

图27
头状骨轴线(左图)
通过第3掌骨近端凸面和头状骨近端中点的连线。
头月角(右图)
正常:< 30°
异常:> 30°,提示腕关节不稳。

图28 舟月角为105°
背侧嵌入部分不稳 or 背伸不稳
嵌入部分即以月骨为标志的近排腕骨,意为近侧区段(腕关节近侧部分:桡骨和尺骨)和远侧区段(远排腕骨和掌骨)之间的部分。
DISIor 背伸不稳是指月骨向背侧成角。可通过测量舟月角(>60-80°)和头月角(≥30°)确定;或桡月角≥15-30°

图29
掌侧嵌入部分不稳 or 掌屈不稳
VISIor 掌屈不稳即月骨向掌侧过度倾斜(桡月角<-15-30°) 。
多数DISI为异常,而VISI多为正常变异,尤其是腕关节非常松弛的时候。
相关病例
CASE 1:

图30
1. PA位示月骨不平行。
2. 腕骨弧线I和II在月-三角骨间隙和舟月间隙中断。
3. 月骨呈三角形PA位诊断:月骨脱位
CASE 2:

图31
1.月骨-三角骨间隙不平行,存在重叠。
2.钩状骨和月骨也存在重叠。
3.桡骨、月骨、舟骨近极和头状骨近极平行关系存在。
4.三角骨、钩骨、头状骨远极、大多角骨和舟骨远极平行关系也存在。
5.头状骨和舟骨骨折
6.诊断:经舟骨、经头状骨月骨周围骨折-脱位。

图32 提示骨折-脱位线

图33 背侧脱位
CASE 3:

图34
1.舟骨和尺骨茎突骨折。
2.掌骨弧线Iand II 在月骨-三角骨间隙中断。
3.月骨和舟骨近极、桡骨平行关系不存在。
4.舟骨缩短提示其向掌侧倾斜。
5.其他掌骨平行关系存在。
6.诊断:可能为月骨周围脱位(仅从PA位难以判断月骨或月骨周围脱位);月骨呈三角形提示月骨倾斜或脱位伴倾斜。

图35
- 侧位片
- 可以确定为月骨周围脱位伴舟骨、尺骨茎突骨折。月骨呈三角形仅为月骨倾斜。
- 可见月骨掌侧极骨折(圆圈),脱位易复发。
CASE 4:

图36
1.舟骨-大多角骨-小多角骨关节(STT关节)、第1腕掌关节(CMC1关节)严重骨关节病伴半脱位。掌骨弧线正常、平行关系存在。舟骨变长提示其向背侧倾斜。
2.侧位片示月骨也向背侧倾斜,近排腕骨作为一个整体移动,所以不存在脱位。
3.最后诊断:无脱位DISI(背屈不稳)伴STT关节骨关节病及半脱位。
CASE 5:

图37
1.月骨-三角骨间隙平行关系缺失致掌骨弧线Iand II中断。
2.月骨和舟骨平行,而与其他腕骨不平行。
3.舟骨缩短提示向掌侧倾斜。
4.月骨平行于舟骨,其三角形状提示为掌侧倾斜所致。
5.近排腕骨不是一个整体,因为弧线I中断。

图38 侧位显示月骨向掌侧倾斜
最后诊断:掌屈不稳伴月骨-三角骨关节脱位。
CASE 6:

图39
1.关节间隙增宽或狭窄但平行关系存在,说明无脱位。
2.舟月关节脱位,舟骨掌侧倾斜。
3.舟骨、月骨移位致桡舟关节、头月关节骨性关节病。
4. 月骨背侧倾斜提示DISI。
5.这就是舟月进行性塌陷( scapholunateadvanced collapse ,SLAC).此例原因为外伤性舟月韧带撕裂。
SLAC是指由于未治疗的慢性舟月脱位或慢性舟骨不连所致的特殊骨性关节炎和半脱位。
此退变发生于异常负重区,如桡舟关节,接着是不稳定的头月关节,头状骨向背侧半脱位。
图40

另一例 SLAC。病因为CPPD(双水焦磷酸钙沉积)
SLAC合并CPPD的特征为:

