2021-07-01 12:02:40617浏览
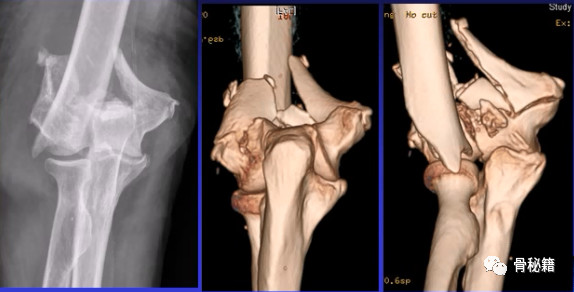
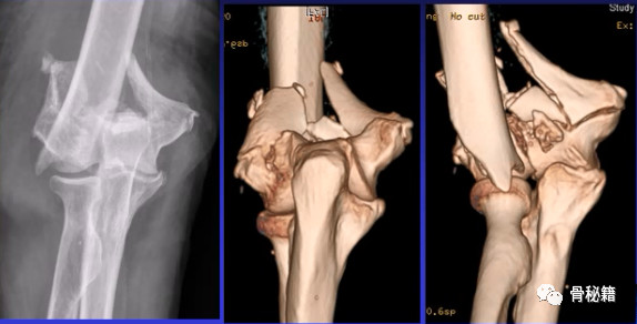
肱骨远端的手术固定技术原则

适当的固定技术原则


1.最大限度地固定远端碎片
2.确保远端节段的所有固定有助于提高髁间水平的稳定性
3不建议使用三分之一管型板,因为它们太弱的并易于断裂,尤其是在粉碎干骺端


4钢板长度也很重要:板应在近端以不同水平,以避免在肱骨干骨中形成应力集中

5解剖锁定钢板板通过卓越的生物力学特性提供更好的临床疗效

6良好的固定需要两个板,平行or垂直?
在肱骨远端骨折中,一块钢板通常不足以保证良好的稳定性,而在其他骨折(例如,胫骨近端和股骨远端)中,LCP的引入消除了对双柱固定的需要。应谨慎使用单侧钢板板,仅在单柱损伤的情况下可以应用。
7钢板如何搭配?
迄今为止,通常使用前两种钢板的固定。AO推荐在治疗中应用垂直钢板。然而,这种方法受到了广泛的批评 - 主要是因为通过后外侧板难以获得足够的螺钉数量和前后方向的长度的螺钉固定。与垂直钢板相比,平行板配置似乎提供了更好的生物力学性能。实在不行的时候再用三钢板技术

