
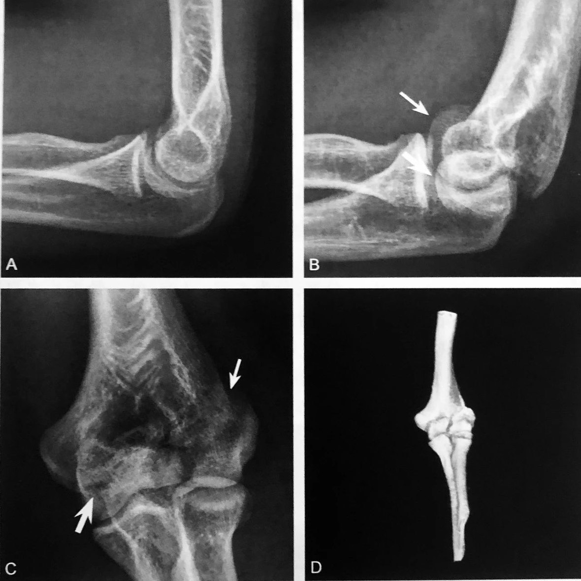
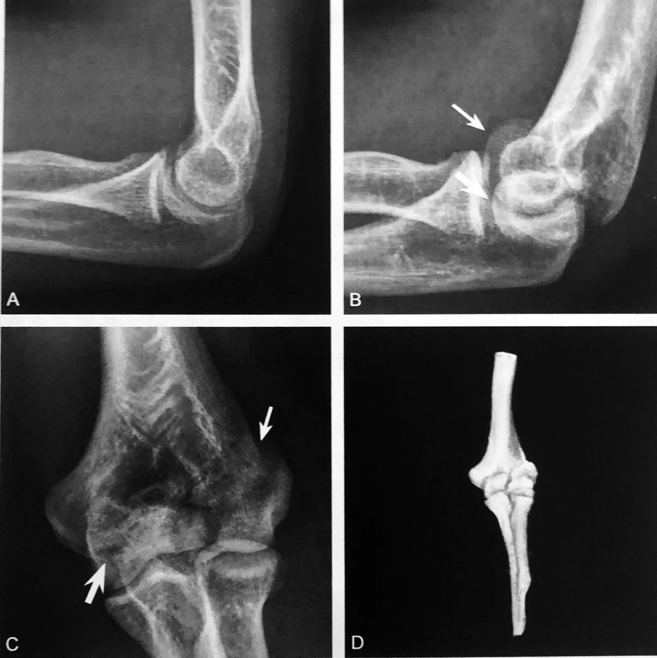
双 弧 征

双弧征:A 图正常肘关节侧位 X 线图;B 图患者肘关节 ⅹ 线侧位片示肱骨远端可见两个弧形:一个弧提示肱骨小头游离(细箭头),另一个弧是肱骨滑车游离(粗箭头),双孤征提示肱骨远端冠状面 Dubberley Ⅲ 型骨折;C.同一患者肘关节 Ⅹ 线正位片可见肱骨小头骨皮质不连续(细箭头),肱骨滑车可见线状透亮影(粗箭头);D.CT 的VR 图像可见肱骨远端肱骨小头-滑车骨折
判读要点:
1、肱骨远端冠状面骨折,即肱骨小头-滑车骨折的直接征象;
2、在肘关节侧位片或通过 CT 多平面重建观察;
3、诊断肱骨远端冠状面骨折阳性预测值较高,敏感度相对稍低;4、肱骨小头-滑车骨折应做到手术解剖复位,否则影响预后。
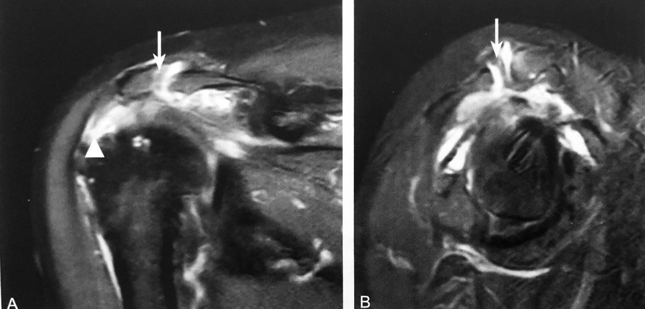
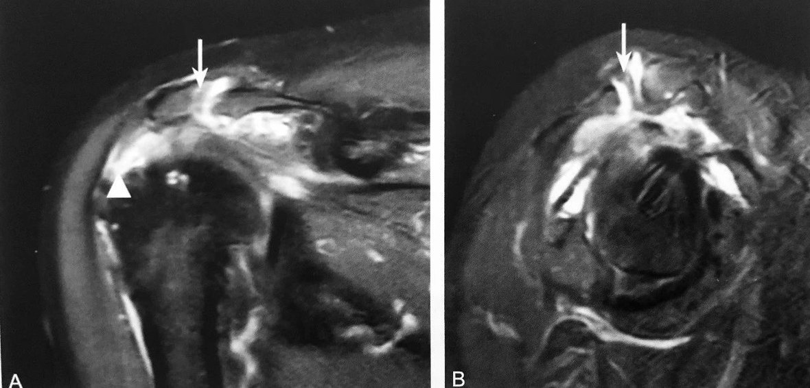
双 肩 锁 关 节 征

双肩锁关节征:A 图冠状位压脂 PD 序列显示,肩峰关节面下可见游离的条状、未融合肩缝小骨(箭头),肩锁关节囊积液,伴肩峰下-三角肌下滑囊积液,同时可见冈上肌肌腱撕裂(三角);B 图矢状位压脂 PD 序列显示:未融合肩峰小骨与肩峰关节面、肩锁关节形成双肩锁关节,肩锁关节囊积液,伴肩峰下-三角肌下滑囊积液(箭头)
判读要点:
1、在肩关节 MRI 冠状位或矢状位观察;
2、须同一层面同时观察到肩锁关节及肩峰小骨;
3、注意双肩峰关节征与第二肩锁关节区别;
4、观察肩峰小骨是否稳定,如不稳定,是否与邻近软组织产生撞击,此时应注意观察是否伴有周围积液、水肿、肩锁关节损伤及肩袖损伤。
双 腋 囊 征

双腋囊征:A 图双腋囊征模式图;B 图 MRI 肩关节造影显示,前下盂唇结构不完整,少量造影剂进入前下盂唇内形成双腋囊征,为盂唇撕裂的特征性表现
判读要点:
1、在肩关节 MRI 冠状位观察;
2、肩胛下盂唇正常三角形结构缺失,液体或造影剂少量进入盂唇内;
3、盂唇撕裂是否合并骨性关节面撕脱;
4、盂唇撕裂是否合并 Hill-Sachs 损伤。
孟 唇 旁 囊 肿

盂唇旁囊肿:A 图横断位压脂 T2 序列显示,后上盂唇撕裂(箭头),伴肩胛上切迹内囊肿(三角);B 图矢状位 T2 序列显示由于肩胛上神经受压所致的冈上肌萎缩(五角星),表现为冈上肌形态缩小,周围被脂肪组织浸润替代
判读要点:
1、囊肿位于盂唇旁软组织内,发现囊肿时,应进一步全面评估盂唇损伤;
2、囊肿表现为单房或多房,增强无强化或边缘轻度强化;
3、囊肿位于肩胛上区及四边孔附近时,需观察神经有无卡压,可行 MRI 或 CT 肩关节造影;
4、同时观察冈上肌、冈下肌、三角肌、小圆肌等有无萎缩。
H i ll —Sachs 损伤

Hill-Sachs 损伤:A 图为模式图,骨折凹陷缺损区(细箭头),喙突(粗箭头);B 图右肩关节 CT 示肱骨头后外上骨折凹陷区(细箭头),喙突(粗箭头);C 图同一患者右肩 MRI 关节造影示肱骨头后外上骨折凹陷(细箭头),并盂唇损伤(粗箭头)
判读要点:
1、肩关节前下脱位的间接征象;
2、Hill-Sachs 损伤平面位于喙突水平;
3、CT 检查可对 Hill-Sachs 损伤程度进行评估;
4、MRI 对轻度急性期 Hill-Sachs 损伤具有较高的诊出率;
5、不同程度 Hill-Sachs 损伤,手术处理方式不一样。
凹 槽 线

凹槽线:A~D 图为左肩关节后脱位的一位患者。A.左肩关节 MRI 横断位 T2WI 示:肱骨头内旋并嵌顿于关节盂后方,肱骨头前内侧凹槽样压缩骨折(白实箭头),并邻近骨髓水肿;B.左肩关节 MRI 横断位 T2WI 示:盂肱关节复位后肱骨头凹槽样形态仍存在(白实箭头);C.左肩关节 MRI 斜冠状位 T1WI 示:复位后肱骨头前内侧条形低信号影(白虚箭头)存在,提示撞击后损伤改变;D.左肩前后位 X 线示:肱骨头内侧皮质线形态(黑实箭头)和内侧皮质线外侧的凹槽线样改变(白虚箭头)
判读要点:
1、肩关节后脱位并肱骨头压缩性骨折的间接征象;
2、在肩关节 X 线前后位片观察;
3、X 线腋位摄片显示更清楚,对明确诊断很有帮助。
双 曲 奇 饼 征

A、B 图为同一患者,抑脂 T2WI 示上盂唇周围两条线样高信号,其中一条高信号代表上盂唇的撕裂,另外一条指的是盂唇上隐窝,形成双曲奇饼征,提示上盂唇由前向后撕裂,即 SLAP 损伤(箭头所示)
判读要点:
1、SLAP 损伤的特征性表现;
2、在肩关节常规 MRI 斜冠状位 T2WI 或 MRI 关节造影图像显示,上盂唇内出现两条高信号;
3、具有较高的特异性,但敏感性较低。
J 征

A、B 图为同一患者, 压脂 T2WI 示右肩关节腋囊少许积液,右盂肱下韧带肱骨附着处部分撕裂并回缩,形成 J 征
判读要点:
1、肱骨附着处撕脱的直接征象;
2、在肩关节 MRI 斜冠状位压脂 T2WI 或 MRI 造影上观察;
3、右肩 HAGL 损伤表现为 J 征,左肩 HAGL 损伤表现为反 J 征。
鹅 颈 畸 形

分别为干眼症患者,外伤患者,类风湿性关节炎患者的鹅颈畸形
判读要点:
1、先天性手指鹅颈畸形罕见;后天多种疾患均可导致鹅颈畸形,以外伤和类风湿性关节炎最常见;
2、在手掌 x 线侧位或斜位片、CT 或 MRI 矢状位显示;
3、表现为近侧指间关节过伸,而远端指间关节屈曲。
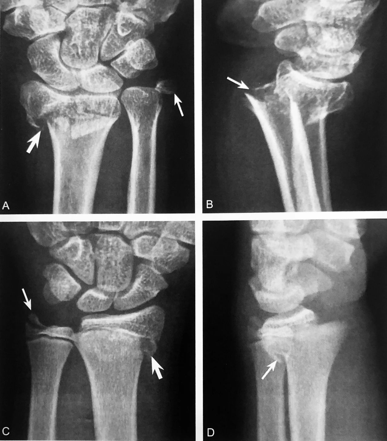
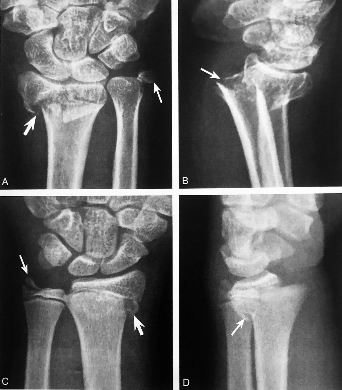
银 叉 状 畸 形

A~B.左腕关节ⅹ线正位及侧位。左桡骨远端骨折(粗箭头),尺骨茎突撕脱性骨折(细箭头),桡骨远端骨折背侧骨质嵌顿向掌侧成角(细箭头);C~D.右腕关节 ⅹ 线正位及侧位。桡骨远侧干骺端骨折伴骨骺向外侧移位(粗箭头),尺骨茎突部分撕脱(细箭头),桡骨远端骨骺向背侧移位,干骺端背缘碎骨片与骨骺相连(细箭头)
判读要点:
1、见于 Colles 骨折,桡骨远端骨折断端向掌侧成角,远端骨折块向背桡侧移位并旋后;
2、桡骨缩短,骨折处背侧骨质嵌入或粉碎骨折
3、腕背部软组织肿胀,活动受限,腕呈叉样畸形;
4、常合并尺骨茎突骨折,桡腕关节背侧半脱位等复杂损伤,导致腕关节不稳定。
环 裂 征

A.CT 横轴位图像,正常椎弓峡部层面骨性椎管呈完整环状结构,前部为椎体后缘,两侧为椎弓根序连于椎板,后部为棘突基底部围成;B.环裂征:双侧椎弓峡部崩裂(箭头),裂隙横跨峡部,断裂面形态不规则
判读要点:
1、椎弓峡部裂特征性直接征象;
2、在椎弓峡部平面 CT 横断位观察,以 RGCT 图像观察最佳;3、诊断时需除外脊椎裂、椎体畸形(蝴蝶椎)和手术椎板切除。
MRI 液 体 征

A~B.L1 椎体良性压缩性骨折,邻近骨髓水肿,T1WI 呈弥漫性低信号,T2WI 呈条带状高信号(箭头),位于 L1 椎体上终板下方;C~D.L1 椎体良性压缩性骨折,邻近骨髓水肿,T1WI 呈弥漫性低信号,T2WI 呈三角形高信号(箭头)
判读要点:
1、在脊柱 MRI 矢状位观察;
2、MRI 液体征常见于压缩椎体上终板下缘或下终板上缘;
3、表现为形状规则或不规则圆点状、线样或三角形,T1WI 呈低信号,T2WI 呈高信号,T2WI STIR 呈明显高信号;4、需与肿瘤侵犯推体所致压缩骨折鉴别。
C 征

A 踝关节 X 线侧位,跟距骨桥形成,可见 C 征;B 踝关节 X 线侧位,距骨头与载距突边缘轮廓组成环状高密度影(箭头)
判读要点:
1、跟距骨桥形成的征象;
2、在踝关节 X 线侧位片观察;
3、距骨头与载距突边缘轮廓组成环状高密度影;
4、敏感性及特异性较高;
5、注意假阳性的出现。
霍 金 斯 征

A.左踝关节 ⅹ 线正位片示距骨圆顶皮质下见一横行线样透亮带(箭头),霍金斯征阳性;B.不同患者,右踝关节 CT 冠状位重建示距骨圆顶皮质下细线样低密度带(箭头),霍金斯征阳性
判读要点:
1、霍金斯征在骨折后(尤其是距骨颈垂直骨折)对距骨 AVN 的防治诊断中具有基础性筛选作用;
2、距骨颈垂直骨折后(6±8)周在踝关节正位片或 CT 冠状位重建上观察;
3、表现为距骨圆顶软骨下横行线样透亮带具有较高的敏感性,但特异性较低;
4、阳性表明骨折后距骨主动性充血后维持血液供应,不大可能发生缺血性坏死。阴性高度提示距骨有缺血性坏死的危险;
5、霍金斯征的有无可以作为是否行 MRI 或 CT 评估距骨缺血性坏死与帮助指导适当治疗的指标。
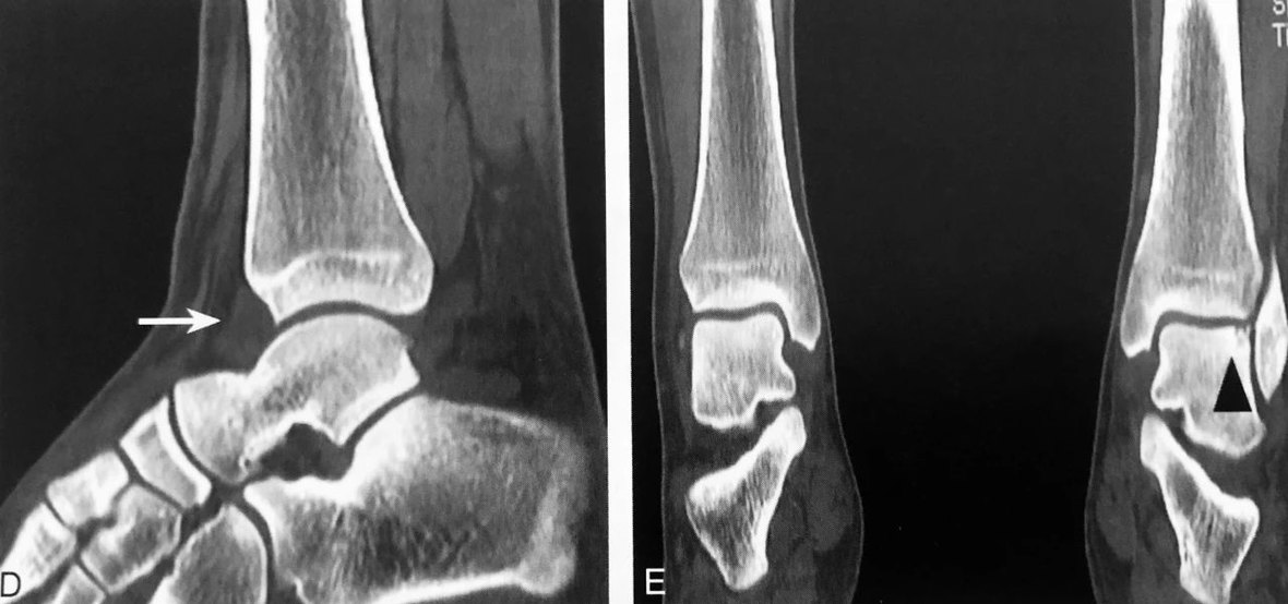
踝 关 节 泪 滴 征



A~E.为同一踝关节外伤患者。A.Ⅹ 线侧位片见“泪滴征”(粗箭头),低密度前脂肪层受压移位变窄(细箭头),提示踝关节积液;B、D分别为踝关节积液MRI、CT表现(长箭头);C、E分别为距骨左份关节面下隐匿性骨折 MRI、CT 表现,MRI 示稍长 T2、长 T1信号,邻近距骨骨皮质连续性可疑中断(三角),CT 进一步明确距骨左份关节面下隐匿性骨折存在(三角)
判读要点:
1、踝关节泪滴征在踝关节 ⅹ 线侧位片上观察;
2、表现为前关节囊内形似“泪滴样”的软组织密度影,范围可从胫距关节纵行延伸至距骨颈骨质前缘;
3、踝关节泪滴征提示各种原因所致的踝关节积液,踝关节外伤后伴随的踝关节积液是提示隐匿性骨折的间接征象;
4、X 线片显示外伤后踝关节积液表现为前、后关节囊肿胀≥15mm,提示隐匿性骨折的敏感性和特异性分别为83%和86%。
圆 点 征

A.腰椎 CT 轴位示椎体内片状低密度区内多发点状高密度影,类似圆点形(箭头);B.T2WI 轴位示椎体内片状稍高信号区内多发点状低信号灶(箭头);C.腰椎 CT 重建矢状位示椎体内骨小梁条状增粗,周围间隔低密度区,呈“栅栏征”改变(箭头);D~E.T1WI 及T2wI 示椎体内片状稍长T2、稍短T1信号,病灶中心及周边见小点状、条状低信号区(箭头)
判读要点:
1、是椎体血管瘤特异性影像征象;
2、在 CT 轴位图像观察,呈圆点样高密度,周围脂肪样低密度;CT 矢状位或冠状位呈灯芯绒征或栅栏征;
3、MRI 有助于观察增粗骨小梁周围脂肪结构。
双 线 征

A. T1WI 冠状位见右侧股骨头线状低信号;B T2WI 冠状位压脂见与线样低信号平行排列的线样高信号,高低相间信号同时存在的双线征
判读要点:
1、双线征是 ARCO 分期 Ⅱ 期股骨头缺血性坏死的直接征象;
2、双线征对诊断期股骨头缺血性坏死具有特异性;
3、双线征在 MRI 图像上显示;
4、MRI 对股骨头缺血性坏死的早期诊断优于 CT 和 Ⅹ 线。
新 月 征

髋关节 X 线平片示右侧股骨头关节面下新月形透亮影,提示新月征
判读要点:
1、新月征是 III 期股骨头坏死的直接征象;
2、新月征对诊断股骨头坏死具有特异性,提示股骨头早期塌陷;3、在 X 线骨盆或髋关节正位片显示。
倒 拿 破 仑 帽 征

A.拿破仑帽及倒拿破仑帽;B.倒拿破仑帽征,重叠在骶骨上的L5椎体形成帽的“圆顶”,横突形成帽渐缩的“边缘”(箭头);C.腰椎侧位片显示 L5 椎体Ⅲ°前滑脱(箭头)
判读要点:
1、L5 椎体严重前滑脱的间接征象;
2、在腰椎正位片或腹部、骨盆正位片上观察;
3、出现倒拿破仑帽征时拍摄腰椎侧位片明确诊断;
4、CT 及 MRI 观察椎体、椎管、神经根和周围软组织改变。
海 鸥 征

A.患者外伤后出现髋臼塌陷,髋臼压缩骨折形成飞行海鸥样改变,即海鸥征(箭头);B.患者髋臼多发骨折合并海鸥征(箭头)
判读要点:
1、髋臼塌陷骨折的表现;
2、髋臼 x 线正位摄片或者 CT 重建可见;
3、最常出现在髋臼前柱骨折或前柱+后半横行骨折;
4、是影响骨折复位质量的独立危险因素。
