首页/脊柱/腰椎影像解剖及常见病变,真是太实用了!/
腰椎影像解剖及常见病变,真是太实用了!
2023-01-05 20:21:384487浏览
医学影像专业近年来发展飞速,扎实的影像解剖基础对于影像诊断的重要性不言而喻。没有牢固的影像解剖知识,就不能可靠的发现病变并进行准确的定位,今天小编就和大家分享腰椎影像解剖及常见病变!

医学影像专业近年来发展飞速,扎实的影像解剖基础对于影像诊断的重要性不言而喻。没有牢固的影像解剖知识,就不能可靠的发现病变并进行准确的定位,今天小编就和大家分享腰椎影像解剖及常见病变!

椎间盘由髓核、纤维环、上下的透明软骨终板和Sharpey纤维构成

髓核

  • 位于中央部分
  • 黏液胶冻样物质 
  • 含水量高
  • 抵抗轴向压力

正常椎间盘呈均匀一致的软组织密度影,CT值为80-120Hu,密度低于椎体, CT不能区分髓核、纤维环

韧带:

  • 前纵韧带:正常不显影
  • 后纵韧带
  • 黄韧带:节段性位于椎弓板之间,横断面呈“V”字形,正常厚度为3-5mm
  • 棘上韧带
  • 棘间韧带
  • 横突间韧带

下颈椎,胸椎和腰椎韧带

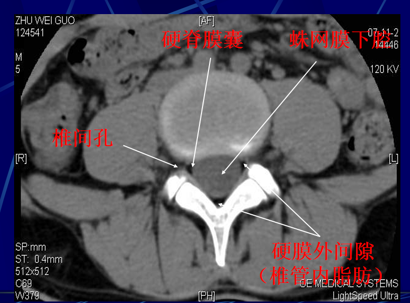
硬脊膜与蛛网膜粘贴在一起,统称为硬脊膜囊硬膜外间隙:骨性椎管与硬脊膜囊之间的间隙内含脂肪密度影蛛网膜下腔:蛛网膜内侧的间隙

  • 马尾神经在蛛网膜下腔呈均匀排列的多个圆点状低密度影,含脊神经根。
  • 神经根鞘为直径约1~3mm的圆形影,位于硬脊膜囊前外方侧隐窝内。

椎间孔前为椎体,后为椎小关节,上下为椎弓根,内与侧隐窝相连,有脊神经根通过。

椎间孔前为椎体,后为椎小关节,上下为椎弓根,内与侧隐窝相连,有脊神经根通过。侧隐窝:向下外续于椎间孔,有脊神经经过

  • 前壁为椎体后外缘
  • 后壁为上关节突前面与黄韧带
  • 外界为椎弓根

正常前后径为3-5mm,<3 mm侧隐窝狭窄>5mm,肯定不狭窄

  • L1-2至L4-5的椎间盘形态大致相似,呈肾形,后缘年轻人稍凹,凹陷部与后纵韧带走行一致,随着年龄的增长,后缘可变得平直;
  • 正常L5-S1椎间盘的后缘较平直,并可轻微膨出;
  • 黄韧带厚约2~4mm,超过5mm为肥厚;
  • 正常小关节面光滑、完整,关节间隙为2~4mm。

腰椎间盘膨出

腰椎间盘膨出(Lumber Disk Bulding LDB)是指椎间盘退行性改变,髓核体积缩小,不能充盈纤维环;失去弹性的纤维环承受的压力增加,高度下降,纤维环周边膨出,椎间盘直经增大,边缘超出椎体的边缘。

在CT或MRI横断面上显示为在椎体边缘之外出现对称的、规则的环状软组织影,超出1.6~2.3mm。 

一般是测量椎间盘超出椎体边缘的数值来分度,如小于3mm为轻度,3~6mm为中度,大于6mm为重度。

椎间盘突出

椎间盘突出又称椎间盘疝,最多发生于腰部,其次是颈部,胸部极少。腰椎间盘突出90%发生在L4~5和L5~S1。依突出组织的类型不同,分为纤维环和髓核突出。

在一定的诱因作用下,如反复的损伤或一定量的冲击力使压缩载荷的力度加大,髓核便通过纤维环薄弱处,尤其是退变的裂隙或断裂处疝出。

如髓核仅冲出破裂的纤维环而外层纤维环仍保持完好,并推挤这部分纤维环突向椎间盘的轮廓之外,称为椎间盘突出。

CT表现为局部突出于椎体后缘的的弧形软组织密度影,边缘光滑,突出缘与纤维环后缘呈钝角相交,大多数呈丘状、新月形或半月形突出椎管。疝块密度较高,偶而可钙化。

当纤维环全层破裂、髓核或含有部分破碎的纤维环及软骨板一起疝入到椎管内,称为椎间盘脱出,往往突出的髓核已穿过韧带进入硬膜外腔。

表现为突出髓核呈孤立状位于硬膜囊外,脱出缘模糊与椎体后缘呈锐角相交,或突出髓核中心位于椎管内。髓核在椎管硬膜外疏松脂肪间隙内可滑移,但滑移的距离一般不超过20 mm。

据椎间盘突出部位分为:中央型、旁中央型、椎间孔型、椎间孔外侧型 ;椎间盘脱出的特殊类型:纵向型

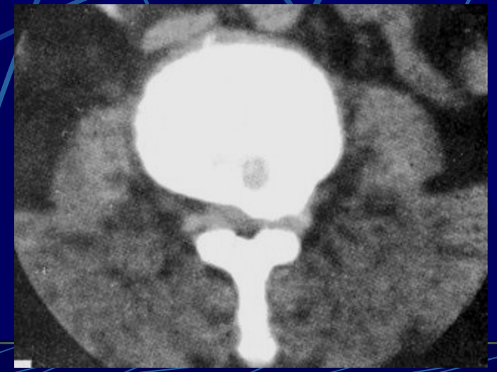
  • 中央型:许莫氏结节
  • 边缘型:椎体前、后缘软骨结节

椎间盘突出示意图

腰椎间盘突出的CT表现

1、直接征象:自椎间盘向后局限性突起的高密度软组织块影,大多数呈丘状、新月形或半圆形突入 椎管内,轮廓多不规则,基底部与椎间盘组织相连。2、间接征象:    (1)硬脊膜囊受压、变形、移位    (2)神经根肿胀、受压移位(3)神经根湮没(4)碎块形成、滑移(5)钙化

3、椎间盘突出伴随的其它异常CT表现(1)椎体后缘的骨质缺损与硬化:可能是椎间盘在疝出过程中对相应椎体后缘产生持续性挤压,受累骨质发生营养障碍而被不断吸收,最终形成缺损,同时产生骨的修复再生而形成硬化。骨质缺损多为切迹样、压迹样或不规则形,骨质硬化多为短剌状或不规则形。

(2)骨性椎管狭窄:腰段椎管中央前后径≤12 mm,应视为比较狭窄,≤10 mm为绝对狭窄。

(3)黄韧带肥厚:正常黄韧带厚度一般<3mm,超过5mm为肥厚,如CT测量超过3mm时,提示肥厚可能 

(4)椎间盘真空征: 在椎间盘退变的基础上, 由于髓核体积的皱缩,纤维环的玻璃样变或髓核因变性脱水而碎裂呈负压状态,使血液中的气体向椎间盘弥散所致,主要成分(90%~92%)为氮气,CT表现为不规则斑片状散在低密度气体影。

(5)小关节退变:表现为小关节骨质增生、硬化、变形和关节间隙变窄。

腰椎间盘突出的特殊类型——椎体内软骨结节

  • 髓核脱水变硬,在垂直外力的作用下,通过变薄的终板向上、下方向疝入椎体内形成的软骨结节,为腰椎间盘脱出的一个类型(纵向脱出)。
  • 椎体内软骨结节:椎体内软骨结节包括schmorl结节、椎体后缘软骨结节及椎体前缘软骨结节(椎缘骨),其中以schmorl结节最常见,椎体后缘软骨结节次之,椎缘骨则很少见。
  • 形成机理:椎间盘脱出过程中持续压迫相邻的椎体缘,久而久之受累骨质发生营养障碍而不断吸收,最后形成骨缺损,同时相邻骨质受刺激而发生增生硬化。这些改变需骨窗观察。

1、schmorl结节:多发生于腰椎及下部胸椎,上部胸椎少见,颈椎未见schmorl结节的报道。schmorl结节约86%位于终板中后1/3交界处。其好发部位与脊柱的承重、应力区及椎板的薄弱区(脊索退化部及血管闭塞部)有关;呈单发或多发,表现为类圆形或不规则形的低密度灶,周围是宽窄不一的硬化带。

2、椎体后缘软骨结节

  • 腰椎后缘软骨结节是椎间盘组织经终板疝入椎体后上部或后下部松质骨内,使腰椎后缘小骨块突入椎管,致椎管狭窄及压迫脊神经根的一种疾病。
  • 病理证实除骨块外均系透明软骨和退变的椎间盘组织。
  • CT诊断依据::位于椎体上、下的后缘,病灶呈类圆形或多环形的骨缺损,密度与椎间盘相似,周边有反应性骨质硬化,结节的骨性后壁呈弧形凸入椎管,后壁与椎体相连或不连。骨块后缘与突出的腰椎间盘后缘在CT扫描下显示一致,说明骨块是伴随椎间盘同时向椎管内突出的。

椎体后缘软骨结节的发生机理:椎体后缘软骨结节多发生于青少年,  一般认为是青少年时期在解剖缺陷的基础上,在各种应力(主要是纵向挤压)的作用下,特别是伴有屈曲旋转时,髓核的膨胀压力使间盘组织穿过软骨板突入到椎体与骨突环之间的薄弱区,并逐渐扩大形成软骨结节。相邻骨突环受压后移,并继续骨化,形成软骨结节的骨性后壁。部分软骨结节的骨性后壁断裂不连续,少数软骨结节由此突入椎管。

椎体后缘软骨结节多发生于腰骶椎(其中以L5最多,其次S1,再次是由L5向上的各个腰椎,由下向上发病率依次减),极少数发生于不参与胸廓构成的T11、12。颈椎未见发病报告。

根据部位可分为以下几型:(1)上缘正中型:最多见,约占47%,易压迫硬膜囊,较大时可压迫硬膜囊和神经根。

(2)上缘偏侧型:约占25%,易压迫硬膜囊和同侧神经根。

(3)下缘正中型:约占25%,压迫硬膜囊。

(4)下缘偏侧型:很少见,约占3%,压迫硬膜囊及同侧神经根。

3、椎体前缘软骨结节

  • 文献又称为椎缘骨、边缘骨、永存骨骺和椎角离断体等。
  • 其实质是间盘结构(主要是髓核)疝入到椎体前部的骨结构与骨突环之间,使骨突环受压前移,并继续骨化形成骨性前壁。
  • 椎体前缘软骨结节很少见,临床意义不大,可引起腰痛。平片、CT、MRI均易显示。
  • 椎体前缘软骨结节以腰椎多见.约94%发生于腰4前上、下角,多为单椎体单发。
  • 侧位片上,椎体前缘上下角见大小不一的三角形骨块,周边硬化如皮质,内为松质.后缘为一斜面,与椎体缺损区相对应。骨块与椎体之间夹有一条厚薄一致的透亮带。
  • CT表现为椎体前部半圆形或梭形骨质缺损,位于椎体前1/3.边缘硬化,缺损区CT值约70HU~90HU.与同层面椎间盘等密度。游离骨块位于缺损区前方,呈长条状或节段状,周围无软组织肿块。

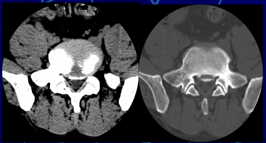
腰4椎体前缘软骨结节:

腰椎滑脱症

常见分类:一侧或两侧椎弓根峡部崩裂、不连续,患椎向前滑移,称为腰椎滑脱,又称真性滑脱;无峡部崩裂,而是因间盘退变或其他原因致椎间位置滑移,称为假性滑脱,又称退行性性滑脱。

友情链接: