首页/创伤/尺骨远端稳定结构与尺骨骨折术中技巧!/
尺骨远端稳定结构与尺骨骨折术中技巧!
2023-01-09 11:54:213846浏览
尺骨远端稳定结构,被称为TFCC Triangular Fibrocartilage Complex Tear (TFCC)

尺骨远端稳定结构,被称为TFCC  Triangular Fibrocartilage Complex Tear (TFCC)

三角纤维软骨复合体 (TFCC) 是月骨、三角骨和尺骨头之间的承重结构。TFCC 的功能是充当手腕尺侧的稳定器。TFCC 存在急性或慢性退行性损伤的风险。在解剖学上,TFCC 包括三角纤维软骨盘、尺侧腕伸肌腱、尺三角韧带和尺月韧带、桡尺韧带、尺腕侧副韧带。

其中又分为初级稳定结构

DDL,深背韧带;DPL,掌深韧带;ECU,尺侧腕伸肌;SDL,背浅韧带;SPL,掌浅韧带;UCL,月头韧带;ULL,尺月韧带;UTL,尺三角韧带。

次要稳定器、尺腕韧带、ECU

it was impossible to have shortening of the radius of more than 2 mm or 20 degrees of dorsiflexion without complete detachment of the TFCC from the fovea or the sigmoid notch. 

曾经有学者研究,如果桡骨短缩2mm或成角20度,那么TFCC就可能有损伤,损伤的类型有多种多样。其中,红色损伤比绿、黄色损伤更容易造成尺骨远端不稳定,所以红色损伤时需要考虑手术治疗,尤其年轻患者。

目前最常见的固定方式为:空心螺钉与钢板固定,克氏针等

需要注意的要点:如果桡骨复位不佳,可能导致下尺桡关节匹配问题及相关韧带松弛最终带来相关症状,注意看桡骨尺侧轴线的位置

根据尺骨的损伤部位,我们通常有三个入路来解决相关的问题

尺骨茎突入路(红色):用于尺骨茎突骨折

• 中心凹入路(蓝色):用于 TFC 脱离和头部骨折

• 尺骨头入路(ECU-EDM)(蓝色):用于颈部和头部骨折

• 背尺入路(ECU-FCU)(绿色):用于近端骨折

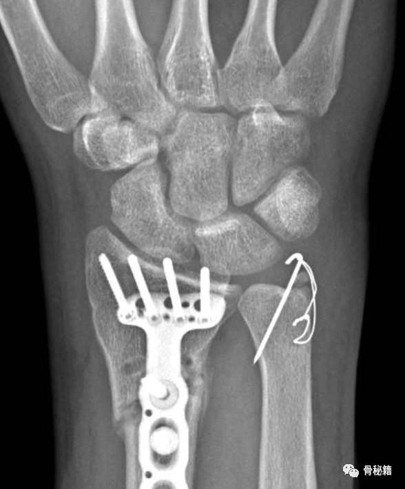
1、尺骨茎突入路

尺骨茎突基部骨折使 DRUJ 的稳定性受到质疑

采用茎突入路进行手术复位与固定,拧入空心螺钉

固定后 术中用探钩检查TFCC稳定性,发现固定后稳定性较好

2、中心凹入路:用于 TFC 脱离和头部骨折

通过一个 1.5 到 2 厘米的切口,从茎突底部的背侧近端到掌侧远端切开,注意不要损伤尺神经,保持尽量旋后的状态,也可通过该入路重建TFCC

3 对于近端和比较复杂的骨折,建议采用钢板固定,这样可以带来相对较好的稳定性

最常用的是尺背侧入路

最后给大家提供一种可延伸的切口,作为复杂尺骨骨折的入路

总结:尺骨远端骨折是否手术重要的是需要考虑其远端的稳定结构

如果怀疑稳定结构受损,建议进行手术治疗,可根据不同的部位进行相应的入路和固定方式的选择,注意不要损伤尺神经。

友情链接: