搜索
学习中心
登录
首页
/
运动医学
/
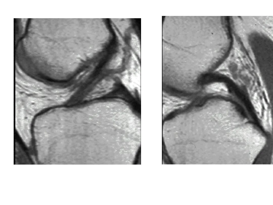
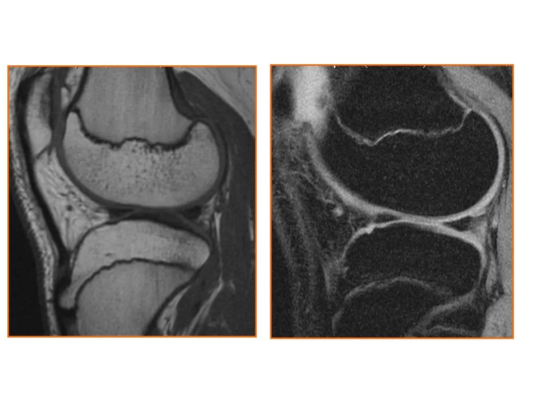
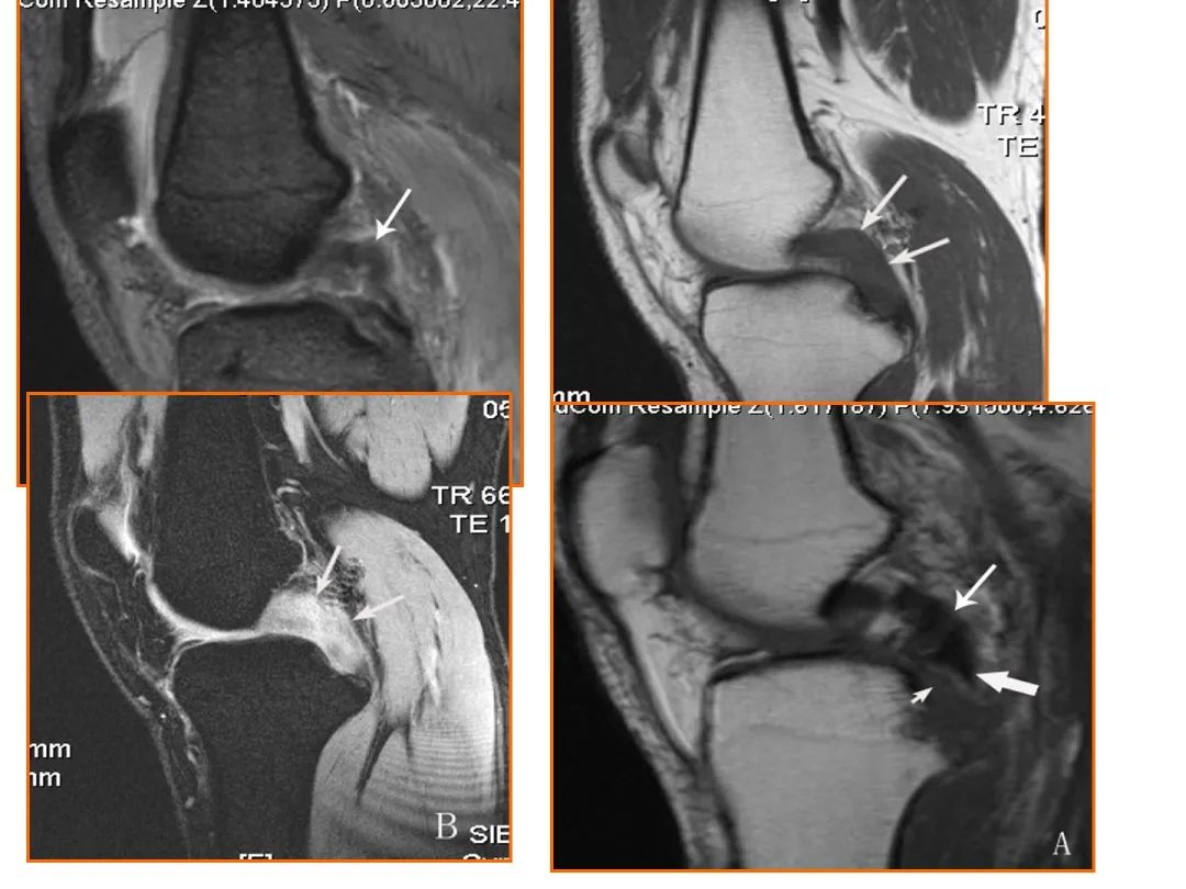
半月板解剖及疾病诊断,骨科基础必备!
/
半月板解剖及疾病诊断,骨科基础必备!
2023-01-30 11:48:52
2189浏览
半月板解剖及疾病诊断,骨科基础必备!
友情链接: