首页/足踝/拇外翻的诊治技巧,超详细解析!/
拇外翻的诊治技巧,超详细解析!
2023-01-30 11:52:393661浏览
拇外翻的诊治技巧,超详细解析!

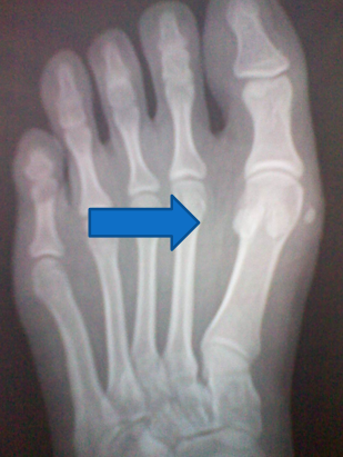
拇外翻也叫大脚骨病,是指拇趾向外偏斜超过正常生理角度的一种足部畸形,是目前最常见的足病之一。一般认为拇趾的外翻角>15º可诊断为拇外翻。

A为正常,B图中拇外翻角约15°,C、D、E的拇外翻角以15°递增。

但一部分人拇趾外翻虽然超过此角度而没有症状,而另一部分人拇趾外翻角度虽然不到15°,却有拇囊部位的疼痛。

拇趾外翻后,第一跖骨头内侧骨赘形成,与鞋面摩擦,形成滑囊炎,成为拇囊炎在第一跖骨头背侧突出并伴有滑囊炎者,又被称为背侧拇囊炎

由于拇外翻后常常伴有足的其他部位病变,如锤状趾、跖骨痛、小趾滑囊炎、扁平足等,因此,又有人称拇外翻为“拇外翻复合体”或“拇外翻综合征”

文献报道拇外翻发病率从2%—50%,差别很大,女性发病多于男性,男女比例约1︰9~1︰15。

致 病 因 素

1:鞋袜因素拇外翻患者大多出现在人类使用鞋的时代里,穿鞋过紧,前足受压是拇外翻的一个病因。在第二次世界大战后高跟鞋引进日本,但随之而来的是拇外翻患者快速增多。中国的研究数据表明穿高跟鞋者拇外翻患病率为不穿高跟鞋的15倍。但穿鞋并不是引起拇外翻的唯一因素。

2:遗传因素有专家研究报道:69.48%患者有家族史,其中55%的患者在20岁之前就出现了拇外翻,至少50%以上的患者在20岁之前就已经发生拇外翻。

3:足部结构异常

  • 第1跖骨内翻
  • 第1跖骨过长
  • 前足或拇趾的旋前
  • 跖趾关节形态异常
  • 扁平足

其他因素

  • (1)类风湿性关节炎,痛风性关节炎
  • (2)小儿麻痹后遗症
  • (3)创伤

病理

  • 第1跖骨内收。
  • 第1、2跖骨间夹角(IMA)增大。
  • 拇外翻角(HAA)增大。
  • 软组织平衡改变。

第1跖趾关节周围软组织解剖示意图

拇外翻的解剖特点

第1跖趾关节由两个关节构成:跖骨头关节面延伸于跖骨头的跖侧,并被一嵴分为两个斜形关节面分别与胫、腓侧籽骨成关节;第1跖骨头远端呈椭圆形,与近节趾骨基底的凹形关节面形成关节。

第一跖趾关节两侧有扇形的侧副韧带、止于籽骨的悬韧带,跖侧有厚韧的足底韧带(又称为跖板)

拇趾籽骨是组成第1跖趾关节的重要结构,起着保护屈拇长肌腱和跖骨头的作用,同时类似一个滑车增加了屈拇长、短肌腱的力量。

拇趾跖趾关节周围有6条肌腱通过或附着足背侧

  • 拇长伸肌腱通过关节背侧止于远节趾骨基底背侧。
  • 拇短伸肌腱止于近节趾骨基底背侧。
  • 拇展肌腱止于近节趾骨基底内侧。

足底侧

  • 拇长屈肌腱通过内、腓侧籽骨间沟,向远侧止于远节趾骨基底.
  • 拇短屈肌腱在跖趾关节跖侧分为内、外侧腱两部分,分别经籽骨止于近节趾骨基底内、外侧跖面

第1跖趾关节可主动背伸50°~ 60°,被动背仲最大可达90°;主动跖屈30°~ 40°,被动跖屈45°~50°

拇外翻的病史与查体

虽然拇趾的外翻畸形一目了然,很快就能作出诊断,但相关的病理改变,需要仔细的检查方能更加清楚地了解。

病史1.疼痛  拇外翻患者常常是以拇趾的疼痛和拇趾外翻畸形就诊。约有70%拇外翻患者合并有疼痛,需要了解疼痛的部位。是在拇囊,还是位于跖趾关节或籽骨部位?疼痛有无向拇趾放射,疼痛的严重程度,疼痛是否影响到运动、工作还是日常生活,疼痛缓解的方式,行走时痛还静息痛,疼痛和穿鞋的关系.疼痛开始的时间,持续的时间和进展的情况。外侧足趾疼痛的情况2.拇趾外翻畸形和拇囊形成的时间  疾病加重的过程。对其它足趾影响情况3.既往穿鞋的情况  有无穿过窄小、高跟的鞋。现在穿鞋的变化。

4.以前治疗的情况  使用过何种药物,用过何种矫形支具。既往手术的时间、手术方式和在何处做的手术等。

5.既往拇趾是否受过创伤、有无类风湿性关节炎、糖尿病和痛风性关节炎等全身性疾病。

 6.家庭其它成员有无拇外翻。

查体一般检查:一般检查要观察足部皮肤的状态,足部的血运情况,感觉,肌肉的状态,步态。

局部检查:局部检查要在足非负重和负重状态下分别完成。

非负重位的检查

  • 第1跖趾关节内侧或背内侧肿物突出,表面皮肤可有胼胝
  • 局部皮肤红肿可形成拇囊炎
  • 拇囊部位的压痛
  • 拇僵硬
  • 很多患者第1跖趾关节外侧较紧张,不易纠正
  • 判断跖趾关节面是否适合
  • 内侧跖楔关节稳定性
  • 较严重的拇外翻,还常伴有拇趾的向外旋转,趾甲指向背内侧,此时称为外旋或旋前。
  • 足趾胼胝出现的部位常反映出局部受到异常压力的结果。
  • 较严重的畸形可能推挤第2趾引起移位

负重位的检查

  • 如果足趾畸形在负重后加重,可能说明关节存在松弛或足趾不稳定。有些拇外翻患者足负重后出现内侧纵弓的塌陷,前足呈旋前状态。足垫的支持可纠正前足的旋前,能很好地缓解症状。
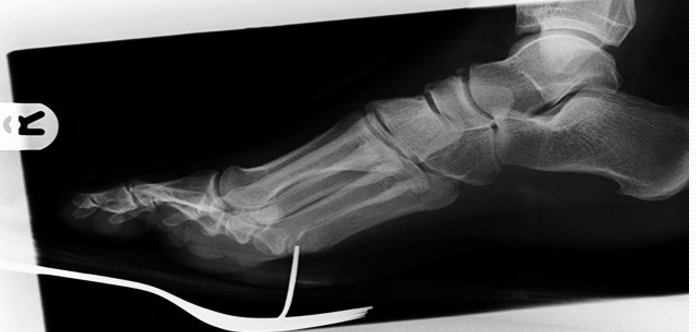
  • 拇趾抓持力的检查:可让患者负重位站立,将一纸片置于拇趾跖面,正常站立时,如不能轻易拉出纸片,说明抓持力很好;如可拉出纸片,让患者将拇趾跖屈用力,整个拇趾都可抓住纸片,不能轻易拉出纸片时,说明抓持力一般;如果让患者将拇趾跖屈用力,但只有拇趾未节可抓住纸片,用力拉出纸片时,说明抓持力差;如果让患者将拇趾跖屈用力也不能控制住纸片,说明没有拇趾抓持力。

X线表现与测量

足的x线测量对于进一步了解拇外翻的病理及设计手术方案是非常重要。负重足的基本功能,很多足的畸形在负重状态下可以表现得更清楚。一些测量指标在负重和非负重状态下可以明显不同。足部各种x线测量一般都是在足负重位摄片下完成。手术前常规需要拍摄患足负重位、前后位和侧位,根据需要拍摄足的非负重位内旋斜位和籽骨轴位。

1:前后位观察和测量拇外翻角(HAA)  :拇趾跖骨中轴线与近节趾骨中轴线之夹角。正常为15°~20°

第1、2跖骨间夹角(IMA):  第1、2跖骨中轴线之夹角。正常为9 °拇外翻时此角通常大于正常。

近端关节面固有角(PASA或DMAA)  第1跖骨远端关节面内、外两点引一连线,跖骨中轴线与上述连线有一交点,经此交点做关节面连线的垂线,该垂线与跖骨中轴线的夹角。正常人一般<7.5°。

远端关节面固有角(DASA)  通过近端趾骨中线与趾骨近端关节面连线交点引关节面连线的垂线,该垂线与近端趾骨中线之夹角。正常人一般<7.5°

拇趾间外翻角(HAIA)  拇趾远、近节趾骨中轴线交角。正常<10°。

跖骨内翻角(MAA)  跖楔关节和舟楔关节内侧缘连线中点与第5跖骨、骰骨关节和跟骰关节外缘连线中点相连,通过该线与第2跖骨中线交点做一垂线,此垂线与第2跖骨中线夹角。正常人一般<15°。

第4、5跖骨夹角  第4、5跖骨中轴线的夹角。此角一般<5°

跖骨伸出长度(MPD)  以第1、2跖骨轴线交点为圆心分别向第1、2跖骨远端关节面画弧,两弧之间距为第1、2跖骨相对长度

胫侧籽骨位置(TSP)  观察胫侧籽骨相对于第1跖骨中轴线的关系,将籽骨从跖骨头颈部的胫侧缘向腓侧缘划分为7个部位。

跖、趾关节面相对关系:分别连接第1跖趾关节跖骨远端关节面内、外侧缘的连线和近节趾骨近端关节面内、外侧缘的连线,根据两条关节面连线的相对关系,可分为三种关系

第1跖骨远端关节面形态  从前后位X线上可以观察到第1跖骨头有着不同的形态。一般可分为三种:①圆形,比较不稳定。②方形,较稳定。③中央脊形,较稳定

内侧跖楔关节面倾斜角(MTCA)  从内侧楔骨内侧缘划一连线,内侧楔骨远端关节面作一连线,后者与前者垂线的交角。一般为8°~10°。

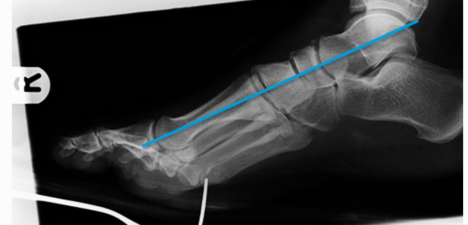
2:侧位片观察和测量第1跖骨倾斜角  第1跖骨中轴线和地面水平线的夹角。正常约为15°。此角对于术前选择手术方式意义不大,可以作为术后判断第1跖骨位置的一个参考。

第1跖骨相对于距骨关系  比较距骨颈中轴线和第1跖骨中轴线的关系。正常两线应当重叠。跖骨线位于距骨线背侧时,表示跖骨头背伸。跖骨线位于距骨线跖侧时,表示跖骨头跖屈。

第1、2跖骨关系  分别画出第1、2跖骨干背侧缘,比较两者之间的关系。正常时,两重叠或平行。在第1跖骨头背伸或跖屈时,可见两者成角。

拇外翻的分度与分类足踝外科学中Mann将拇外翻分为轻、中、重三度1.轻度  第1跖骨头内侧突出并有疼痛。HAA<30°,一部分畸形可由于趾骨间关节外翻引起,跖趾关节一般是适合的,IMA通常<13°,胫侧籽骨一般位于正常位置或有轻度移位,位于位置4。2.中度  拇趾外偏挤压第2趾,拇趾一般有旋前畸形,HAA30°~40°,IMA通常13°~ 16°,胫侧籽骨有明显脱位,位于位置6~7。3.重度  拇指外偏挤压第2趾形成骑跨趾,拇趾有中重度的旋前畸形,HAA>40°,IMA通常>16°,第2趾跖骨头下形成转移性跖骨痛。胫侧籽骨脱位于跖骨头腓侧缘外。

足踝外科学中Palladino按照拇外翻的发展过程将其进程分为4期I期  HAA正常,IMA正常,第1跖趾关节关系正常。Ⅱ期  HAA不正常,IMA正常,第1跖趾关节偏斜。Ⅲ期  HAA不正常,IMA不正常,第1跖趾关节偏斜。Ⅳ期  HAA不正常,IMA不正常,第1跖趾关节半脱位。(HAA:拇外翻角 ,IMA:第1、2跖骨间夹角)

实用骨科学中按照临床表现、X线片改变与治疗选择不同,将拇外翻分为三期早期(半脱位前期)  拇趾轻度外翻畸形,拇囊炎轻微,疼痛不重,X线片显示拇跖趾关节向外半脱位,不合并锤状趾,此期可手法搬正。一般可非手术治疗。

中期(半脱位期)  拇趾明显外翻畸形拇囊炎疼痛较重,X线片可见拇趾近节基底,自跖骨头向外侧半脱位,因拇趾向外挤压第2趾,该趾可发生锤状趾畸形,以致跖骨头下陷,并发跖骨头部胼胝,此期手法虽可搬正,但不能巩固。对于30~50岁妇女,跖趾关节外翻角在15°-- 25°之间,跖骨间角<12°,趾间关节角<15 °,跖趾关节无退行性变,非手术治疗无效者,适于McBride等软组织手术。

晚期(骨关节炎期)  除拇囊炎疼痛外,跖趾关节肿胀疼痛,X线片可见跖趾关节有骨关节炎表现,此期手术治疗适于骨与软组织联合手术。

拇外翻的治疗保守治疗

  • 减轻局部压力,穿宽松的鞋。
  • 消肿止痛。
  • 使用矫形支具。
  • 功能锻炼。
  • 能减轻症状,但不能纠正已发生的畸形!

足拇外翻的各种支具治疗

手术治疗:目的

  • 纠正拇趾外翻(HAA)。
  • 切除第1跖骨头内侧骨赘和拇囊。
  • 纠正增大的IMA。
  • 稳定足的内侧序列。
  • 重建已有骨关节破坏的第1跖趾关节。
  • 调整跖骨头负重,处理外侧足趾病变。

手术治疗:方式

  • 软组织手术。
  • 跖骨远端截骨术。
  • 跖骨干/基底截骨术。
  • 趾骨截骨术。
  • 内侧序列稳定术。
  • 跖趾关节功能性重建术。
  • 外侧足趾手术。

常用手术软组织松解术(McBride)1.内侧切口:切除拇囊,切除骨突。2.外侧切口:切断拇收肌腱止点,悬韧带和跖间横韧带,纵行切开关节囊。

McBride术式示意图

第1跖骨远端Chevron截骨术1.于第1跖骨头内侧作水平位“V”形截骨,开口向近端,截骨后将远端跖骨头向外侧推移3-5mm,切除多余骨质,固定截骨面。2.利用截骨时轴线的变化可以调整跖骨头位置和第1跖骨长度。

Weil截骨术:转移性跖骨痛第一趾骨近节Akin截骨术:趾骨内侧楔形截骨,两侧打孔,闭合截骨面,固定。适应症:DMAA增大且跖趾关节适合者。可单独使用,纠正单纯趾骨外翻。多于其他手术后拇趾仍有外翻时合用。不适用于跖趾关节不适合或半脱位的病人,可加重畸形。

第一跖趾关节融合术:跖趾关节骨性关节炎,对负重行走功能有一定要求者;Keller手术或人工跖趾关节置换术后失败的补救手术。

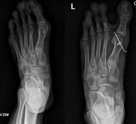
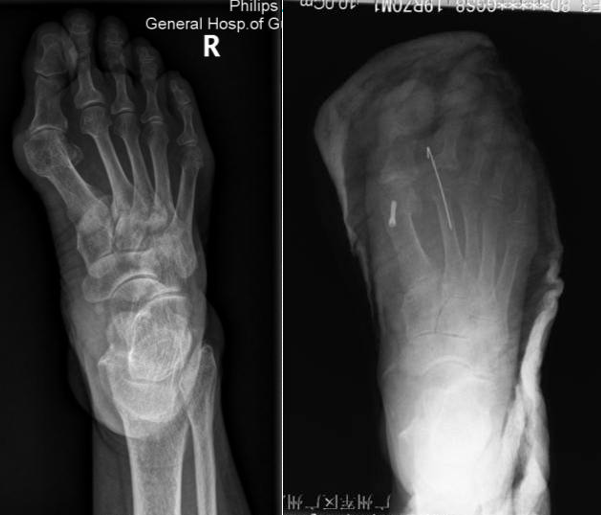
典型病例例1:姚X,女,78Y。

Chevron+第二跖骨Weil

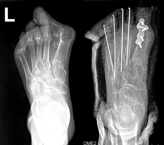
例2:芦XX,男,21Y。

例3:朱XX,男,23Y。

例4:罗XX,女,60Y。

左足:第1-5跖趾关节脱位,足拇外翻。

胼胝体:第一跖骨内侧,第2/3跖骨头跖侧,第5跖骨头跖/外侧。

左足:第2-5趾爪形趾。

右足:第4趾爪形趾,趾间关节胼胝,疼痛。

右足:第5跖骨头跖/外侧胼胝。

CT重建:第1跖骨头破坏。

术式:左足:第1跖趾关节融合+第2-5跖趾关节成形术;右足:第4趾间关节融合+第5跖趾关节成形术

友情链接: